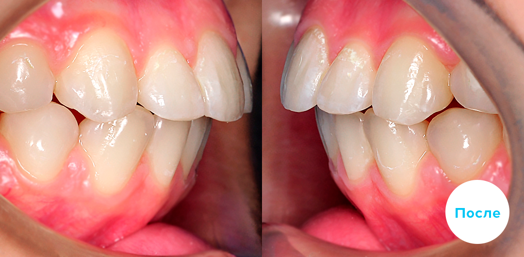
Дистальный прикус (его также называют прогнатией или дистальной окклюзией) – аномалия, при котором нижний зубной ряд сильно сдвинут назад по сравнению с верхним. При этом между верхними и нижними зубами появляется зазор (саггитальная щель), а зубы отклоняются от вертикальной оси вперед. В этом случае рекомендуется исправление прикуса брекет-системой.
Пациенты с дистальным прикусом сталкиваются с такими негативными проявлениями, как:
Вот почему патологию необходимо исправлять. И чем раньше, тем лучше – к сожалению, исправление дистального прикуса у взрослых менее эффективно, чем у детей. Однако обратиться к стоматологу-ортодонту за диагностикой никогда не поздно: хороший врач подберет эффективный комплекс для ортодонтического лечения
Во младенческом возрасте дистальный прикус – норма. У всех младенцев нижняя челюсть чуть сдвинута назад по сравнению с верхней. Со временем челюсти занимают нормальное положение. Младенческая окклюзия может сохраняться в следующих случаях:
Часто дистальная окклюзия сочетается с другими патологиями прикуса, например, с глубоким прикусом.
При такой аномалии перед врачом-ортодонтом встает две задачи: исправление прикуса нижней челюсти и последующая коррекция верхнего зубного ряда под положение нижних зубов. Обычно это решается установкой брекет-систем и на верхнюю, и на нижнюю челюсть.
Ортодонты рекомендуют такой подход даже в случае, если зубы нижней челюсти выглядят ровными. Ведь проблема дистального прикуса возникает из-за недоразвития нижней челюсти, а потому именно ее нужно решить в первую очередь. После исправления нижнего прикуса остается добиться полного смыкания верхних и нижних зубов.
После 20 лет исправление патологий прикуса – более сложная задача. Дистальный прикус у взрослых исправляется такими способами:
Конкретный план лечения разрабатывается ортодонтом, исходя из возраста больного и степени аномалии. Он согласовывается с пациентом. Новейшие достижения и высокая квалификация ортодонтов клиники "Полный Порядок" позволяют ликвидировать дистальную паталогию прикуса и восстановить улыбку в любом возрасте!
Врачи клиник «Полный порядок» эффективно исправляют любые патологии прикуса, благодаря техническому оснащению клиник и опыту работы с самыми разными клиническими ситуациями. Наши ортодонты не боятся сложных патологий!
Николай Михайлович исполнил мою мечту, получить красивые зубы. Врач от бога с золотыми руками. Большое спасибо, переживала как получится, оправдались все ожидания.
Хочу выразить огромную благодарность моему терапевту Ильясовой Ф.А.Спасибо за чуткое и бережное отношение, за высокий уровень профессионаизма!!! Это очень важно, когда человек чувствует себя спокойно и расслабленно в кресле пациента, потому что доверяет и знает что находится в надежных руках. Желаю Вам успехов, терпения и множество благодарных и счастливых пациентов!!!
Хочу поблагодарить за улыбку. Много лет назад откололись от передних зубов кусочки. С тех пор не могла от души улыбаться. Долго я искала врача, которому смогу доверить зубы. Армине Карленовна установила виниры.Теперь я снова могу улыбаться)Получились как настоящие, не отличишь.А сколько ей терпения понадобилось со мной, отвечая на тысячу моих вопросов.Справилась она на все 100% и больше.С ней мы и коренные восстановили.«Полный Порядок» - это клиника, которой я могу доверить свои зубы и не бояться за результат. Всё всегда отлично!
Раннее ортодонтическое лечение съемными аппаратами длится около года с небольшим. Срок ортодонтического лечения с брекетами в среднем – около 1,5-2 лет. Однако это примерные цифры. Они меняются в зависимости от возраста пациента, используемой ортодонтической конструкции и клинической ситуации.
Например, если нарушение смыкания незначительное, лечение займет всего несколько месяцев. А вот при тяжелых патологиях прикуса порой требуется продолжительное многоступенчатое лечение.
В сложных случаях ортодонт может порекомендовать ранние аппаратные методики расширения челюсти, которые помогут создать место для прорезывания постоянных зубов ит существенно уменьшат вероятность удаления постоянных зубов по ортодонтическим показаниям в будущем.
Следить за тем, правильный ли прикус формируется у ребенка – так же важно, как следить за его общим здоровьем. Беспокоиться не стоит, если у ребенка ровный зубной ряд без наклона и широких щелей между ними. Зубы должны быть расположены примерно по одной линии, без существенного отклонения от нее. При смыкании нижний ряд должен оказаться чуть позади верхнего. Верхние зубы при этом должны прикрывать нижние примерно наполовину.
Прикус считается неправильным, если:
Зубы наклонены вперед, назад или вбок;
Между ними есть большие щели, или напротив – наблюдается скученность;
Верхний ряд где-то не смыкается с нижним;
Нижний зубной ряд при смыкании оказывается впереди верхнего хотя бы частично;
Верхние зубы полностью закрывают нижние при смыкании.
Если присутствует хотя бы один признак из перечисленных – прикус у ребенка неправильный. Обратитесь к стоматологу-ортодонту. Врач оценит клиническую ситуацию и разработает стратегию эффективной коррекции прикуса.
Средний срок ортодонтического лечения для взрослых – около 2 лет. Именно столько времени нужно на то, чтобы переместить зубной ряд в нормальное, физиологичное положение. Срок может меняться в зависимости от сложности клинической ситуации и выбранного метода коррекции.
Например, при использовании брекет-систем исправление прикуса в среднем проходит быстрее, чем при использовании кап-элайнеров. Однако, нужно понимать, что для исправления серьезных нарушений требуется длительное время. В некоторых случаях для коррекции прикуса при сложных патологий ортодонтам потребуется помощь челюстно-лицевого хирурга.
Также надо понимать, что окончание активной фазы ортодонтического лечения – это не конец. Потребуется время, соизмеримое со временем лечения, чтобы зубочелюстная система адаптировалась к новому положению.Этот период называется ретенционным и он не менее важен. Чтобы сохранить полученный результат, нужно следовать рекомендациям врача и обязательно носить ретейнеры.