Эстетическая стоматология — это та практическая область, которая занимается улучшением внешнего вида зубов. Она сочетает в себе терапевтические и ортопедические методики. Для восстановления эстетики улыбки врачи нашего центра используют материалы, которые максимально точно имитируют натуральные ткани зуба по цвету и рельефу. Главное условие успешной эстетической коррекции — персонализированный подход. У нас нет одинаковых улыбок. Мы тщательно подбираем методику и материал для реставрации и протезирования. Врачи всегда учитывают анатомические особенности лица, форму губ, цвет кожи и пожелания пациента.
Наша стоматология оснащена оборудованием, которое позволяет выполнять лечебные и диагностические процедуры точно и быстро. У нас есть своя зуботехническая лаборатория, в которой работает команда техников высшей категории.
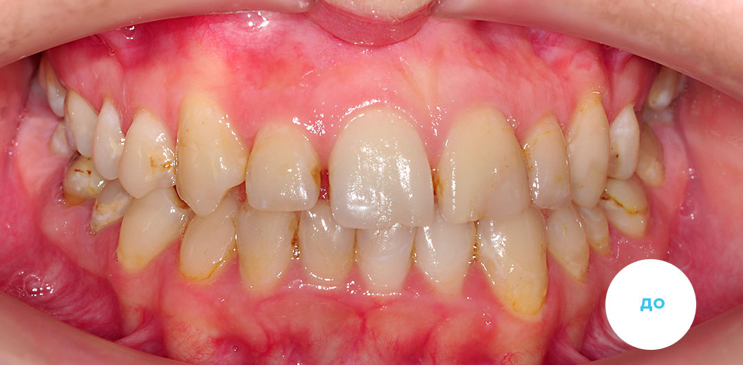
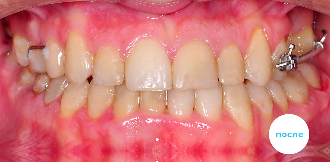
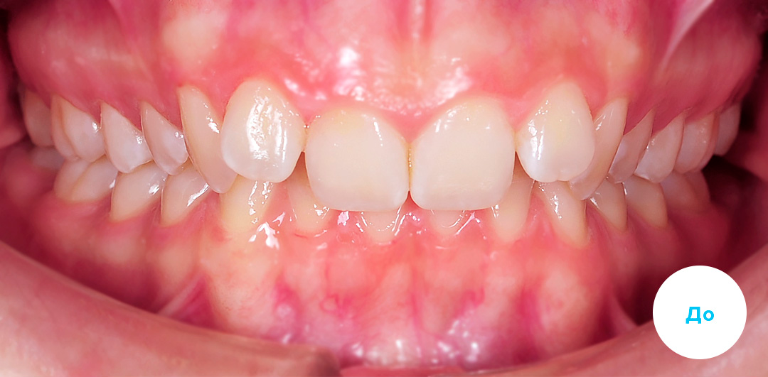
Чем помогут пациенту из Санкт-Петербурга ортодонты клиники "Полный Порядок"? Выбор методики зависит от возраста, особенностей клинической ситуации финансовых возможностей и пожеланий пациента.
Ортодонтическое лечение взрослых проводится с использованием следующих методик:
Профессиональное отбеливание зубов. Мы используем две осветляющие системы от мировых производителей — ZOOM 4 White Speed и Opalescence с запатентованной формулой PF (пероксида карбамида + фторида) 10% и 15%.
Виниры. Это тонкие накладки на зубы, которые качественно скрывают дефекты эмали. Мы работаем только с керамическими и циркониевыми винирами, которые обладают не только высокими эстетическими качествами, но и невероятной прочностью.
Художественная реставрация зубов. Устранить небольшие сколы, трещины, а также скорректировать форму и цвет зуба можно композитными материалами. Однако, это не просто пломбирование. Врачи нашей клиники стоматологии создают прямые реставрации, которые невозможно отличить от натуральных зубов. Они восстанавливают микрорельеф, бугорки, углубления, цвет и светопроницаемость зубной эмали.
У каждого метода эстетической стоматологии есть нюансы выполнения. Врачи-стоматологи «Полный порядок» в СПб подробно рассказывают об этапах лечения, длительности изготовления виниров, коронок и прогнозируемых результатах коррекции. Наши пациенты полностью информированы и потому комфортно чувствуют себя на приемах. Нам доверяют и на наше мнение ориентируются. Перед любой процедурой стоматологи проводят предварительную консультацию и диагностику. Обследование включает:
Сроки лечения после установки брекетов зависят от сложности патологии и возраста пациента. Детям до 15 лет, чаще всего, достаточно примерно года, а в некоторых случаях лечение и вовсе занимает несколько месяцев.
Репутация. Основатели нашей клиники — известные в России и зарубежом ортодонты братья Тихоновы. Они собрали команду, в которой врачи работают по международным протоколам и стандартам терапии. Наши специалисты опираются только на научно обоснованные и безопасные методики.
Команда профессионалов. У нас работают эксперты в области эстетической стоматологии. Наши врачи создают естественные и гармоничные улыбки, которые радуют пациентов много лет. Кроме того, они обучают начинающих и практикующих стоматологов более чем в 25 странах.
Современное оборудование. Наша клиника оснащена аппаратами экспертного уровня. Мы применяем цифровые методики планирования и показываем пациентам модели их будущих улыбок.
Разумные цены. Стоимость наших услуг оправдывает их качество.
Наши специалисты не только успешно лечат пациентов, но и уже много лет преподают в нашей Школе Ортодонтии, а также регулярно проводят семинары для коллег. Благодаря опыту и экспертности наших стоматологов-ортодонтов мы беремся даже за самые сложные случаи!
«Я безумно довольна проделанной работой! Хотелось бы отметить профессионализм и позитивный настрой, а также внимательность. Огромное спасибо персоналу!»
«Хочу сказать спасибо за весь процесс лечения, за оперативные ответы на все вопросы, а главное- за мою, теперь идеальную улыбку»
«Хочется сказать очень много. Ощущение будто мне вручают Оскар и надо сказать благодарственную речь! Я хочу поблагодарить моих врачей за то, что я сейчас вижу в зеркале. Я никогда бы...
Эффект профессионального отбеливания может сохраняться от 6 до 12 месяцев. Сразу после процедуры важно соблюдать «белую диету», о которой рассказывают врачи нашей стоматологии.
И те, и другие протезы хороши. Керамика идеально подходит для эстетической реставрации передних зубов, так как она обладает натуральным блеском и прозрачностью. Коронки из диоксида циркония лучше ставить на задние зубы, потому что они более устойчивы к жевательным нагрузкам.
Керамические накладки служат 10-15 лет и больше при правильном уходе.