Удаление зубов мудрости
Простое удаление зубов
Удаление ретенированных зубов
Удаление кист и гранулём
Пластика уздечки
Герметизация фиссур
Лечение кариеса без боли
Адаптация к кабинету
Ортодонтический аппарат Марко-Росса
Ортодонтический аппарат MARPE
Лицевая маска
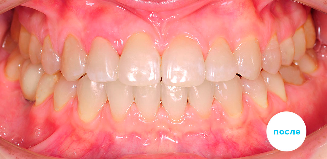
В приведенном клиническом случае ортодонты использовали металлические самолигирующие брекеты Damon Q/Q
Узнать больше
Подробнее о лечении:
Лечение перекрестного прикуса
Пациенту 37 лет
Срок лечения: 2,5 года
Damon Q - самолигирующие металлические брекеты миниатюрного размера, выполненные из медицинской стали. Каждый брекет представляет собой полноценный ортодонтический механизм с заложенными в него определенными параметрами и надежным механизмом закрытия и фиксации. Самые маленькие по размеру и самые изящные среди металлических систем, использующихся для коррекции прикуса и выравнивания зубов. В сравнении с лигатурной системой, сокращают срок лечения на 4-5 месяцев гарантируя столь же безупречный результат. Не ломаются: даже если скоба вдруг отклеится, ее чаще всего можно будет вернуть на место без замены.
«Полный Порядок» - стоматология для взрослых и детей, одним из основных направлений которой является экспертная ортодонтия. Клиника оснащена всем необходимым оборудованием для проведения стоматологической диагностики прямо после консультации у профильного врача. Таким образом на первом приеме пациент получает объективный и честный анализ ситуации и план лечения.
