Мы на связи в Telegram

Брекеты

Слаженная работа специалистов
Многолетний опыт
Прозрачные цены
Сильная команда
Детальная диагностика

Результаты лечения

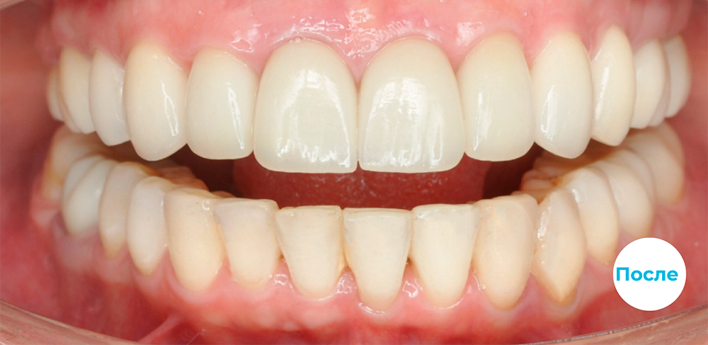
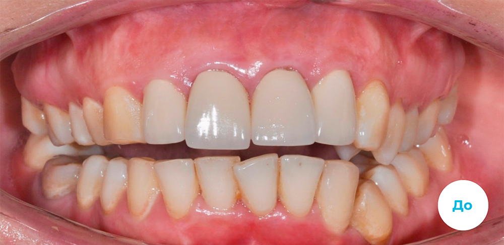
До После до
после
Damon Q на обеих челюстях 
Срок лечения 33 месяца
Возраст пациента 17 лет
Подробнее
До После до
после
Брекет-система DQ2 на верхнюю и нижнюю челюсть 
Срок лечения 28 месяцев
Возраст пациента 46 лет
Подробнее
До После до
после
КОМБИНИРОВАННОЕ ЛЕЧЕНИЕ ДИСТАЛЬНОГО ПРИКУСА С ОРТОГНАТИЧЕСКОЙ ОПЕРАЦИЕЙ
Описание В приведенном клиническом случае ортодонты использовали металлические самолигирующие брекеты Damon Q/Q.
Срок лечения 3,5 года
Возраст пациента 38 лет
Подробнее
До После до
после
КОМБИНИРОВАННОЕ ЛЕЧЕНИЕ МЕЗИАЛЬНОГО ПРИКУСА
Описание В приведенном клиническом случае ортодонты использовали металлические самолигирующие брекеты Damon Q/Q
Срок лечения 2,5 года
Возраст пациента 22 года
Подробнее
До После до
после
КОНТРОЛЬНЫЙ ОСМОТР СПУСТЯ 4 ГОДА ПОСЛЕ ЗАВЕРШЕНИЯ ЛЕЧЕНИЯ
Описание В приведенном клиническом случае ортодонты использовали металлические самолигирующиеся брекеты DAMON Q.
Подробнее
До После до
после
Коррекция дистального прикуса
Описание В приведенном клиническом случае ортодонты использовали цифровую брекет-систему INSIGNIA на базе самолигирующих брекетов Damon Q/Q
Срок лечения 26 мес
Возраст пациента 25 лет
Подробнее
До После до
после
Коррекция мезиального прикуса
Описание В приведенном клиническом случае ортодонты использовали металлические самолигирующие брекеты Damon Q/Q
Срок лечения 1 год
Возраст пациента 27 лет
Подробнее
Вопрос врачу
Сложно ли ухаживать за зубами с брекетами?
Гигиена полости рта требует немного больше внимания, чем обычно. Необходимо чистить зубы после каждого приема пищи специальной щеткой, ершиком и ирригатором. Стоматолог-гигиенист предоставит рекомендации, как подобрать гигиенические средства и научиться правильно ухаживать за зубами, чтобы избежать проблем во время лечения.
И Дмитрий Канпинович Ведущий ортодонт, научный консультант сети клиник

Наши специалисты всегда на связи

Оставьте Ваши контактные данные, и мы с Вами свяжемся!
Задать вопрос

Отзывы пациентов

Аноним Логотип

Отличный врач!

Ксения Логотип

Сегодня замечательный день! Мы наконец сняли брекеты и я увидела себя преображённой! С красивой ослепительной улыбкой! Хочу сказать огромное спасибо врачам-ортодонтам, которые проделали колоссальную ювелирную работу по преображению моих зубов! Результатом бесконечно довольна и теперь буду бережно и с трепетом относится к своим зубкам! Спасибо!

Анна Логотип

Выражаю огромную благодарность за трепетное отношение, качественное и абсолютно безболезненное лечение зубов! Я очень довольна результатом! Отлично подобран цвет пломб, очень естественные формы зубов. Очень рада, что наконец нашла клинику, в которой работают настоящие профессионалы! С идеальными пломбами и пролеченным кариесом нахожусь в предвкушении установки брекет-системы, чтобы зубы и прикус были в Полном Порядке!

Все отзывы

Оборудование

Обследование Диагностика

Внутриротовой 3D сканер 3 Shape

  • Быстро и точно создавать цифровые модели зубного ряда и челюсти для диагностики и планирования лечения.
  • Использоваться для протезирования — изготавливать коронки, вкладки, виниры и другие конструкции с высокой точностью цвета и формы.
  • Применяться при ортодонтическом лечении для создания моделей прикуса и планирования брекетов или элайнеров.
Обследование Диагностика

Внутриротовой 3D сканер Medit

  • Высокая точность и скорость сканирования — до 3,2 мкм снимать 3D-модель челюсти можно всего за 30-60 секунд без применения порошков.
  • Компактность и эргономика — легкий и небольшой наконечник сканера обеспечивает комфортную работу и доступ даже к труднодоступным участкам.
  • Цветное сканирование с естественной цветопередачей позволяет получить высококачественное изображение зубов и мягких тканей.
Лечение зубов

Cтоматологический диодный лазер Picasso

  • Чистота и бескровность операционного поля
  • Хороший визуальный контроль и точность
  • Минимальная травматичность и более быстрое заживление
  • Широкий спектр применений: от гингивэктомий, лазерной ретракции десны и коррекции улыбки до дезинфекции тканей, обработки карманов, отбеливания и подготовки к реставрации
Лечение зубов

Система компьютерной анестезии STA SYSTEM

  • Почти безболезненное введение анестетика благодаря микропроцессорному контролю скорости и давления
  • Точное целевое обезболивание одного зуба без онемения мягких тканей лица, языка и губ, что повышает комфорт пациента после процедуры
  • Минимальное использование анестетика, что снижает вредное воздействие на организм и уменьшает риск осложнений
Обследование Диагностика

Компьютерный томограф Gendex СВ-500

  • Высокая скорость и точность сканирования
  • Универсальность — аппаратом можно делать и панорамные 2D-снимки, и 3D томографию без смены датчика
  • Высокое качество изображений с минимальными искажениями благодаря аморфно-кремниевому сенсору последнего поколения
  • Эргономичный и компактный дизайн с расположением пациента в сидячем положении для максимального комфорта и минимизации движений
Обследование Лечение зубов

Стоматологический микроскоп Flexion Basic (CJ-OPTIK)

  • Высокое качество оптики с апохроматической системой и многослойным антибликовым покрытием
  • Широкий диапазон увеличения (от 5x до 20x) и большое поле обзора позволяют точно рассмотреть мельчайшие детали во время стоматологических процедур
  • Эргономика и комфорт работы: система MonoGlobe и поворотные окуляры позволяют легко регулировать положение микроскопа одной рукой
Обследование Диагностика

Дентальный микроскоп Leica M320

  • Лечение зубов под x25 кратным увеличением;
  • Максимальное сохранение здоровых тканей зуба;
  • Эффективное лечение каналов, чтобы сохранить зуб живым;
  • Снижение риска вторичного кариеса за счёт стопроцентного прилегания коронок, виниров и пломб.
Обследование Диагностика

Стоматологический радиовизиограф Dexcowin

  • Компактность и лёгкость — вес всего около 1,5 кг, что обеспечивает удобство и мобильность в работе
  • Высокое качество изображений благодаря современным технологиям обработки и разрешению, что позволяет точно диагностировать состояние зубов
  • Низкая лучевая нагрузка
  • Простота использования
Обследование Диагностика

Портативный визиограф Eighteeth

  • Эргономичный и ультратонкий дизайн
  • Высокое качество изображений благодаря технологии APS CMOS и разрешению до 20 линий на мм
  • Надежное и прочное кабельное соединение, проверенное на более чем 70 тысяч сгибаний
  • Влагозащита по стандарту IP68
Лечение зубов

Беспроводная 3D система обтурации Dia dent

  • Компактность и эргономика — беспроводная и легкая конструкция обеспечивает удобство работы и хранения
  • Контролируемая обтурация с быстрым и непрерывным потоком подачи гуттаперчи
  • Быстрый нагрев до температуры до 200°C всего за 15 секунд
  • В комплекте идут гибкие канюли для удобной работы в узких и труднодоступных каналах
Обследование Диагностика

Центрифуга Hettich EBA 200

  • Оборудована бесщеточным частотным приводом, не требующим технического обслуживания, что увеличивает надёжность и срок службы.
  • Имеет систему автоматического отключения при разбалансировке ротора, что обеспечивает безопасность работы.
  • Оснащена функцией автоматического открывания и блокировки крышки, предотвращающей случайное открытие во время работы.
X

Частые вопросы

Лицензии и Сертификаты

+7 812 214 99 00 Пн-Вс: 09:00–21:00
Выберите клинику
г. Санкт-Петербург ул. Турку, д. 11, корпус 2
ул. Петрозаводская, д. 13
г. Гатчина ул. Коли Подрядчикова д. 22
Свяжитесь с клиникой
г. Санкт-Петербург, ул. Турку, д. 11, к. 2
Написать в WhatsApp
Сканируйте код для перехода в WhatsApp с телефона
Написать в Telegram
Сканируйте код для перехода в Telegram с телефона
Сменить клинику
Свяжитесь с клиникой
г. Гатчина, ул. Коли Подрядчикова д. 22
Написать в WhatsApp
Сканируйте код для перехода в WhatsApp с телефона
Написать в Telegram
Сканируйте код для перехода в Telegram с телефона
Сменить клинику