Мы на связи в Telegram

Фторирование зубов

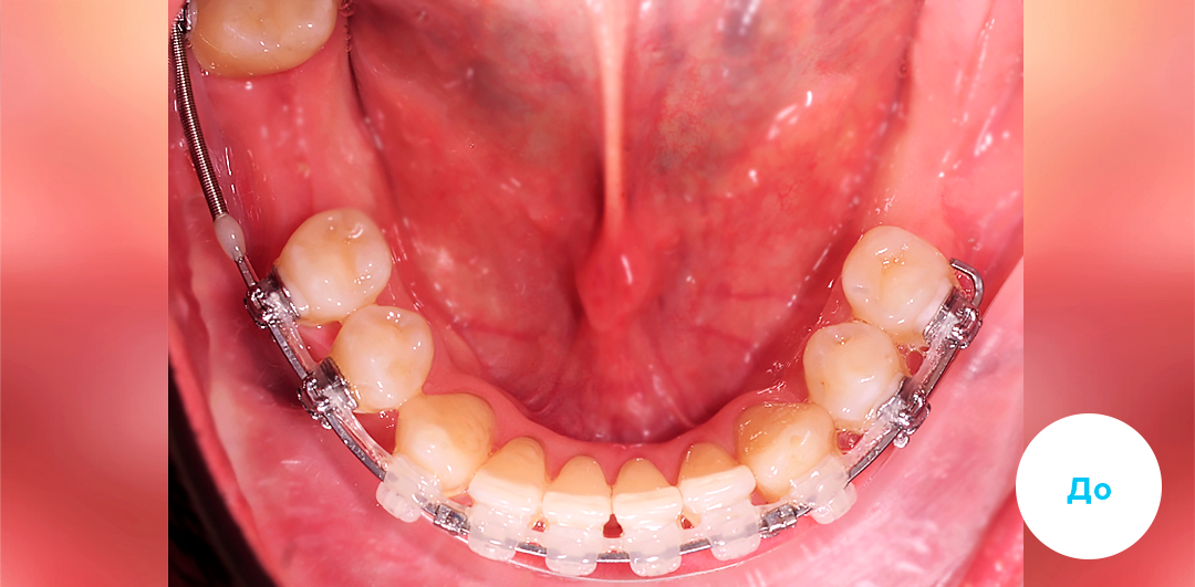
Результаты лечения

До После до
после
Damon Q на обеих челюстях 
Срок лечения 33 месяца
Возраст пациента 17 лет
Подробнее
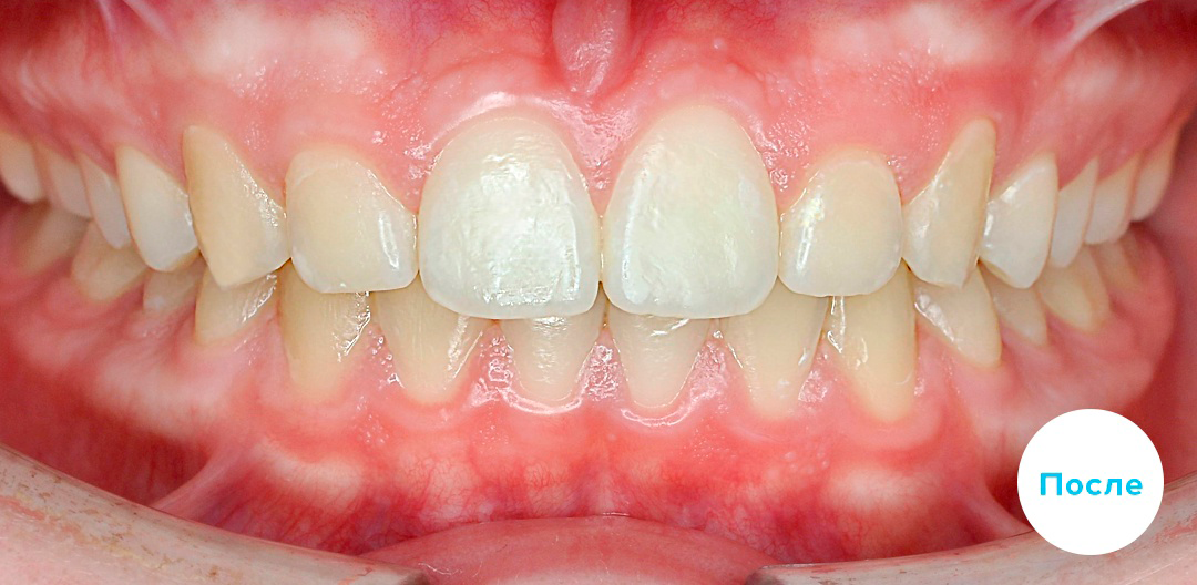
До После до
после
Брекет-система Damon Clear + имплантация 6, 7, 8 зубов
Описание В приведенном клиническом случае ортодонты провели лечение на керамических брекетах Damon Clear.
Срок лечения 2,5 года
Подробнее
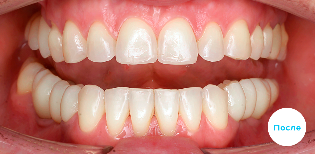
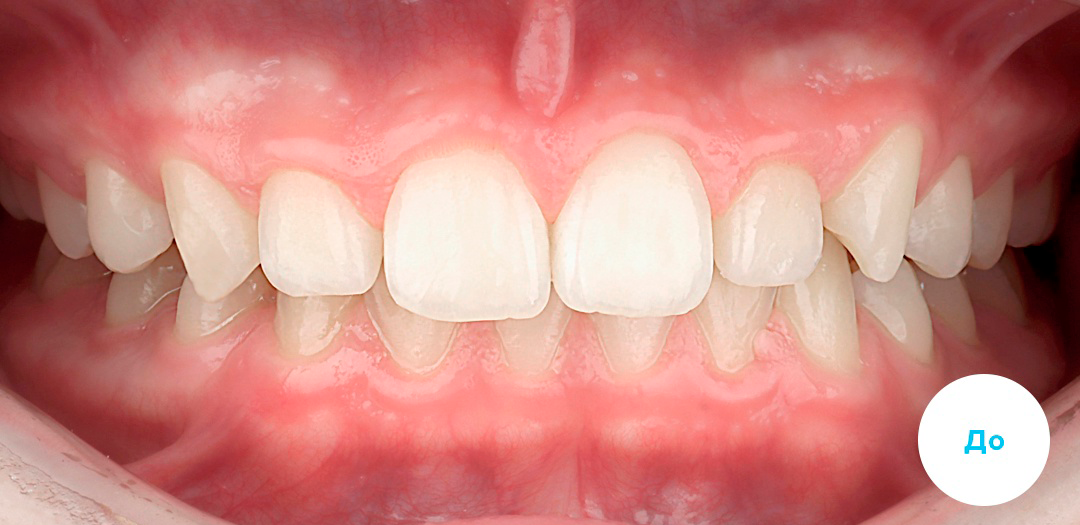
До После до
после
Брекет-система DQ2 на верхнюю и нижнюю челюсть 
Срок лечения 28 месяцев
Возраст пациента 46 лет
Подробнее
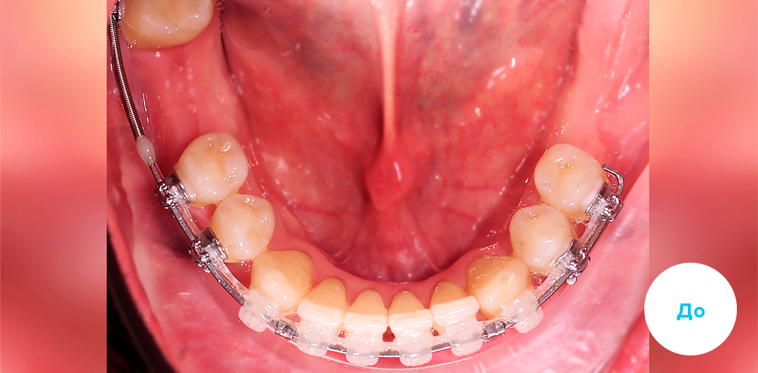
До После до
после
Глубокий прикус
Описание Глубокий прикус, плохие контакты стали причиной проблем со здоровьем зубов и мягких тканей в течение жизни. Стоимость лечения — 244 000 руб. с учетом скидки по программе лояльности (на 2022 год).
Срок лечения 21 месяц
Возраст пациента 15 лет не момент диагностики
Подробнее
До После до
после
Имплантация 2 зубов подряд
Описание В приведенном клиническом случае ортодонты использовали индивидуальную цифровую брекет-систему INSIGNIA на базе керамических брекетов Damon Clear
Возраст пациента 39 лет
Подробнее
Вопрос врачу
Можно ли поставить брекеты, если есть пломбы или коронки?
Да, брекеты можно поставить, даже если у вас есть пломбы или коронки. Однако перед началом ортодонтического лечения стоматолог должен проверить состояние всех реставраций. Если пломбы в хорошем состоянии, они не помешают брекет-системе. Но старые или повреждённые пломбы лучше заменить, так как давление от брекетов может их разрушить. Что касается коронок, их тоже можно корректировать или временно снимать, если это необходимо для перемещения зубов.
Тихонов Сергей Викторович Главный врач, ортодонт

Наши специалисты всегда на связи

Оставьте Ваши контактные данные, и мы с Вами свяжемся!
Задать вопрос

Отзывы

Анна Логотип

Выражаю огромную благодарность всем сотрудникам клиники за грамотный подход в лечении, за профессионализм и чуткость. Отдельное спасибо Иванову А.А. за терпение и ответственный подход к моему лечению. Успехов и процветания врачам и клинике. Спасибо за ваш труд!!!)

Ольга Логотип

Спасибо большое Дмитрию Канпиновичу и всем, кто помогал в прохождении лечения! Я долгое время боялась ставить брекеты, но доверилась вашей клинике, и понимаю, что сделала правильный выбор. Теперь у меня удельно ровные белые зубы. Я могу больше не стесняться улыбаться. И это благодаря Вам! Спасибо огромное!

Виктория Логотип

Мой путь «брекетоносца» был относительно коротким, чуть больше года, но за это время было всё: и кашки с пюрешками после смены дуг, и огромное внимание гигиене, но результат того стоил.Спасибо врачам, что делали этот путь чуть легче своим вниманием. Всё было максимально комфортно и аккуратно.Наверное, лучший отзыв — это рекомендация. Мой муж теперь тоже с Вами!

Все отзывы

Оборудование

Обследование Диагностика

Внутриротовой 3D сканер 3 Shape

  • Быстро и точно создавать цифровые модели зубного ряда и челюсти для диагностики и планирования лечения.
  • Использоваться для протезирования — изготавливать коронки, вкладки, виниры и другие конструкции с высокой точностью цвета и формы.
  • Применяться при ортодонтическом лечении для создания моделей прикуса и планирования брекетов или элайнеров.
Обследование Диагностика

Внутриротовой 3D сканер Medit

  • Высокая точность и скорость сканирования — до 3,2 мкм снимать 3D-модель челюсти можно всего за 30-60 секунд без применения порошков.
  • Компактность и эргономика — легкий и небольшой наконечник сканера обеспечивает комфортную работу и доступ даже к труднодоступным участкам.
  • Цветное сканирование с естественной цветопередачей позволяет получить высококачественное изображение зубов и мягких тканей.
Лечение зубов

Cтоматологический диодный лазер Picasso

  • Чистота и бескровность операционного поля
  • Хороший визуальный контроль и точность
  • Минимальная травматичность и более быстрое заживление
  • Широкий спектр применений: от гингивэктомий, лазерной ретракции десны и коррекции улыбки до дезинфекции тканей, обработки карманов, отбеливания и подготовки к реставрации
Лечение зубов

Система компьютерной анестезии STA SYSTEM

  • Почти безболезненное введение анестетика благодаря микропроцессорному контролю скорости и давления
  • Точное целевое обезболивание одного зуба без онемения мягких тканей лица, языка и губ, что повышает комфорт пациента после процедуры
  • Минимальное использование анестетика, что снижает вредное воздействие на организм и уменьшает риск осложнений
Обследование Диагностика

Компьютерный томограф Gendex СВ-500

  • Высокая скорость и точность сканирования
  • Универсальность — аппаратом можно делать и панорамные 2D-снимки, и 3D томографию без смены датчика
  • Высокое качество изображений с минимальными искажениями благодаря аморфно-кремниевому сенсору последнего поколения
  • Эргономичный и компактный дизайн с расположением пациента в сидячем положении для максимального комфорта и минимизации движений
Обследование Лечение зубов

Стоматологический микроскоп Flexion Basic (CJ-OPTIK)

  • Высокое качество оптики с апохроматической системой и многослойным антибликовым покрытием
  • Широкий диапазон увеличения (от 5x до 20x) и большое поле обзора позволяют точно рассмотреть мельчайшие детали во время стоматологических процедур
  • Эргономика и комфорт работы: система MonoGlobe и поворотные окуляры позволяют легко регулировать положение микроскопа одной рукой
Обследование Диагностика

Дентальный микроскоп Leica M320

  • Лечение зубов под x25 кратным увеличением;
  • Максимальное сохранение здоровых тканей зуба;
  • Эффективное лечение каналов, чтобы сохранить зуб живым;
  • Снижение риска вторичного кариеса за счёт стопроцентного прилегания коронок, виниров и пломб.
Обследование Диагностика

Стоматологический радиовизиограф Dexcowin

  • Компактность и лёгкость — вес всего около 1,5 кг, что обеспечивает удобство и мобильность в работе
  • Высокое качество изображений благодаря современным технологиям обработки и разрешению, что позволяет точно диагностировать состояние зубов
  • Низкая лучевая нагрузка
  • Простота использования
Обследование Диагностика

Портативный визиограф Eighteeth

  • Эргономичный и ультратонкий дизайн
  • Высокое качество изображений благодаря технологии APS CMOS и разрешению до 20 линий на мм
  • Надежное и прочное кабельное соединение, проверенное на более чем 70 тысяч сгибаний
  • Влагозащита по стандарту IP68
Лечение зубов

Беспроводная 3D система обтурации Dia dent

  • Компактность и эргономика — беспроводная и легкая конструкция обеспечивает удобство работы и хранения
  • Контролируемая обтурация с быстрым и непрерывным потоком подачи гуттаперчи
  • Быстрый нагрев до температуры до 200°C всего за 15 секунд
  • В комплекте идут гибкие канюли для удобной работы в узких и труднодоступных каналах
Обследование Диагностика

Центрифуга Hettich EBA 200

  • Оборудована бесщеточным частотным приводом, не требующим технического обслуживания, что увеличивает надёжность и срок службы.
  • Имеет систему автоматического отключения при разбалансировке ротора, что обеспечивает безопасность работы.
  • Оснащена функцией автоматического открывания и блокировки крышки, предотвращающей случайное открытие во время работы.
X

Сертификаты специалиста

+7 812 214 99 00 Пн-Вс: 09:00–21:00
Выберите клинику
г. Санкт-Петербург ул. Турку, д. 11, корпус 2
ул. Петрозаводская, д. 13
г. Гатчина ул. Коли Подрядчикова д. 22
Свяжитесь с клиникой
г. Санкт-Петербург, ул. Турку, д. 11, к. 2
Написать в WhatsApp
Сканируйте код для перехода в WhatsApp с телефона
Написать в Telegram
Сканируйте код для перехода в Telegram с телефона
Сменить клинику
Свяжитесь с клиникой
г. Гатчина, ул. Коли Подрядчикова д. 22
Написать в WhatsApp
Сканируйте код для перехода в WhatsApp с телефона
Написать в Telegram
Сканируйте код для перехода в Telegram с телефона
Сменить клинику