Удаление зубов мудрости
Простое удаление зубов
Удаление ретенированных зубов
Удаление кист и гранулём
Пластика уздечки
Герметизация фиссур
Лечение кариеса без боли
Адаптация к кабинету
Ортодонтический аппарат Марко-Росса
Ортодонтический аппарат MARPE
Лицевая маска
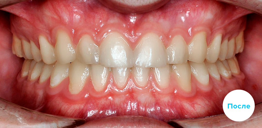
Стоимость лечения на 2020 год — 229 300 рублей
Аппаратура — Damon Q на обеих челюстях
Пациенту 17 лет
Срок лечения: 33 месяца
