Мы на связи в Telegram

Информация о квалификации

Образование

Первый Санкт-Петербургский государственный медицинский университет имени академика И. П. Павлова
Диплом ВСА 0735923 от 20.06.2009
Санкт-Петербургская медицинская академия последипломного образования (ГОУ ДПО «СПбМАПО»)
Клиническая интернатура Стоматологии общей практики

Повышение квалификации

Клиническая ординатура по ортодонтии на кафедре ортодонтии СПбМАПО в 2010 - 2012 г.

Сертификат 1177241512933 от 15.11.17 «Ортодонтия». ООО Многопрофильный Учебный Центр Дополнительного профессионального образования «Образовательный стандарт».

Дополнительное обучение

  • Консультант по применению индивидуальных брекет-систем Insignia и STb-Orapix, специалист в области компьютерного моделирования прикуса в данных системах. Проводит семинары для врачей-ортодонтов в России по применению этих технологий в клинической практике.
  • Dr. VittorioCacciafesta ""Актуальные вопросы использования принципов биомеханики при ортодонтическом лечении"" (2010 г.).
  • Dr. DirkWiechmann ""Сертификационный курс по системе Incognito"" (2010 г.).
  • Dr. HiroBruning ""Преимущество использования самолигирующихся интерактивных брекет-систем при лечении дистальной окклюзии II класса, вопросы применения мини-имплантатов"" (2011 г.).
  • Участие в XIII и XIV съеде ортодонтов России (2010 г., 2012 г.).
  • Dr.DomingoMartin, Dr.RenatoCocconi ""Междисциплинарный подход в системе FACE: эстетика в функции. Золотая эра ортодонтии. Междисциплинарный подход к эстетике и функции"".
  • Участие в 10-м Конгрессе ESLO (European Society of Lingual Orthodontics) в 2012 г.
  • Александр Будовский курс «Фотография в стоматологии» (2013)
  • Курс повышения квалификации «Основы биомедицинской статистики и планирования доклинических и клинических исследований», ПСПбГМУ им. акад. И.П. Павлова (2013г.)
  • Участие в конференции “InsigniaUsersMeeting”, Лондон (2013г),
  • Dr. Simonas Grybauskas, Dr. Dalia Latkauskiene “Principles of preoperative orthodontics and planning of orthognatic surgery” («Принципы ортодонтической подготовки к комбинированному лечению и планирования ортогнатической хирургии») (2013г.)
  • Dr. Hans Seeholzer «Мыслить иначе – двигаться к успеху»
  • Участие в конференции “InsigniaUsersMeeting”, Нью-Йорк (2014г.)
  • Гарсия Эспехо, Андрей Тихонов «DamonForum» (2014г.)
  • Dr. Dimitris Mavreas «Damon System: секреты успешной практики» (2014г.)

Работы специалиста

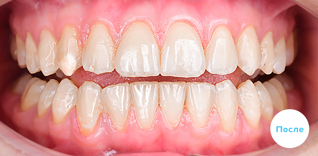
До После до
после
Проведено  лечение скученности зубов
Срок лечения 2,5 года
Связанные услуги
Подробнее
До После до
после
Сложный клинический случай лечение на элайнерах!
Срок лечения 3 года
Связанные услуги
Подробнее
До После до
после
Лечение сложного клинического случая с удалением 3х премоляров и закрытием пространства от удаленного зуба 3.6 своими зубами без имплантации
Срок лечения 4 года
Связанные услуги
Подробнее
До После до
после
Лечение глубокого дистального прикуса брекетами Damon Q
Срок лечения 2 года
Подробнее
До После до
после
Результат лечения перекрестного прикуса
Срок лечения 2,5 года
Подробнее
До После до
после
ЛЕЧЕНИЕ МЕЗИАЛЬНОГО ПРИКУСА У ПАЦИЕНТКИ 40+
Срок лечения 2 года 1 мес
Подробнее
До После до
после
ЛЕЧЕНИЕ НА КАПАХ (ЭЛАЙНЕРАХ)
Срок лечения 1 год и 2 мес
Подробнее
До После до
после
До После до
после
Лечение дистального прикуса брекетами INSIGNIA
Срок лечения 1,5 года
Подробнее
До После до
после
ОРТОДОНТИЧЕСКОЕ ЛЕЧЕНИЕ ДИСТОПИИ ЗУБОВ У ПОДРОСТКА
Срок лечения 1,5 года
Связанные услуги
Подробнее
До После до
после
ЛЕЧЕНИЕ НА ЛИНГВАЛЬНЫХ ВНУТРЕННИХ БРЕКЕТАХ
Срок лечения 1 год
Подробнее
До После до
после
До После до
после
Коррекция скученности зубов брекетами без удаления
Срок лечения 1 год 4 мес
Подробнее
До После до
после
Результат лечения скученности без удаления зубов
Срок лечения 1 год
Подробнее
До После до
после
ЛЕЧЕНИЕ СИЛЬНОЙ СКУЧЕННОСТИ, ШИЛОВИДНЫЙ ЛАТЕРАЛЬНЫЙ РЕЗЕЦ
Срок лечения 11 мес
Подробнее
До После до
после
Исправление мезиального прикуса зубов
Срок лечения 1 год, 4 мес
Подробнее
До После до
после
ПОДГОТОВКА К ПРОТЕЗИРОВАНИЮ — ВЫРАВНИВАНИЕ ОККЛЮЗИИ БЕЗ ИСПРАВЛЕНИЯ ПРИКУСА
Срок лечения 1 год
Связанные услуги
Подробнее
До После до
после
ПОВТОРНОЕ ОРТОДОНТИЧЕСКОЕ ЛЕЧЕНИЕ
Срок лечения 1,5 года
Связанные услуги
Подробнее
До После до
после
ЛЕЧЕНИЕ ДЕФИЦИТА МЕСТА НА ЧАСТИЧНОЙ БРЕКЕТ-СИСТЕМЕ У ДЕТЕЙ
Срок лечения 1 год
Подробнее
До После до
после
ЛЕЧЕНИЕ СКУЧЕННОСТИ С ПОСЛЕДУЮЩИМ ПРОТЕЗИРОВАНИЕМ
Срок лечения 1 год
Подробнее
До После до
после
Результат лечения мезиального прикуса
Срок лечения 1,5 года
Подробнее
До После до
после
Коррекция мезиального прикуса
Срок лечения 1 год
Подробнее
До После до
после
ЛЕЧЕНИЕ ДЕСНЕВОЙ УЛЫБКИ И СКУЧЕННОСТИ
Срок лечения 2,5 года
Подробнее
До После до
после
ЛЕЧЕНИЕ ДИСТАЛЬНОГО ПРИКУСА и РЕТЕНЦИИ
Срок лечения 17 мес
Подробнее
До После до
после
Ортодонтическое лечение  скученности без удаления зубов
Срок лечения 24 мес
Подробнее
До После до
после
Коррекция перекрестного прикуса зубов
Срок лечения 25 мес
Подробнее
До После до
после
ЛЕЧЕНИЕ ПЕРЕКРЕСТНОГО ПРИКУСА И СКУЧЕННОСТИ С УДАЛЕНИЕМ
Срок лечения 28 мес
Подробнее
До После до
после
Лечение скученности без удаления зубов зубов
Срок лечения 21 мес
Подробнее
До После до
после
Результат комбинированного лечения мезиального прикуса
Срок лечения 2,5 года
Подробнее
До После до
после
Коррекция скученности дистального прикуса
Срок лечения 2,5 года
Подробнее
До После до
после
Лечение скученности без удаления зуба
Срок лечения 20 мес
Подробнее
До После до
после
Результат исправления скученности без удаления
Срок лечения 2 года
Подробнее
До После до
после
ЛЕЧЕНИЕ ДИСТАЛЬНОГО ПРИКУСА, ЗАКРЫТИЕ ПРОМЕЖУТКА ОТ ОТСУТСТВУЮЩЕГО НИЖНЕГО ЗУБА
Срок лечения 2 года
Подробнее
До После до
после
ЛЕЧЕНИЕ СКУЧЕННОСТИ БЕЗ УДАЛЕНИЯ С ПОДГОТОВКОЙ К ПРОТЕЗИРОВАНИЮ
Срок лечения 26 мес
Подробнее
До После до
после
Коррекция дистального прикуса
Срок лечения 26 мес
Подробнее
До После до
после
Лечение скученности зубов без удаления
Срок лечения 1,5 года
Подробнее
До После до
после
Лечение скученности с удалением
Срок лечения 2 года
Подробнее
До После до
после
Лечение скученности у подростка без удаления
Срок лечения 2,5 года
Подробнее
До После до
после
Лечение скученности зубов брекетами
Срок лечения 22 мес
Подробнее
До После до
после
КОМБИНИРОВАННОЕ ЛЕЧЕНИЕ МЕЗИАЛЬНОГО ПРИКУСА
Срок лечения 2,5 года
Подробнее
До После до
после
ПОДГОТОВКА К ПРОТЕЗИРОВАНИЮ (ИЗМЕНЕНИЕ НАКЛОНА 37 ЗУБА)
Срок лечения 10 мес
Подробнее
До После до
после
Ортодонтическое лечение  скученности без удаления зуба
Срок лечения 25 мес
Связанные услуги
Подробнее
До После до
после
Коррекция скученности без удаления зубов
Срок лечения 19 мес
Подробнее
До После до
после
Исправление скученности зубов брекетами без удаления
Срок лечения 19 мес
Подробнее
До После до
после
Лечение скученности дистального прикуса без удаления зубов
Срок лечения 26 мес
Подробнее
До После до
после
Результат исправления скученности без удаления зубов
Срок лечения 1 год
Подробнее
До После до
после
Коррекция скученности зубов брекетами
Срок лечения 1,5 года
Подробнее
До После до
после
ЛЕЧЕНИЕ РЕТЕНЦИИ КЛЫКА И ИСПРАВЛЕНИЕ НАКЛОНА
Срок лечения 3 года
Связанные услуги
Подробнее
До После до
после
ЛЕЧЕНИЕ СКУЧЕННОСТИ И ДИСТАЛЬНОГО ПРИКУСА АППАРАТОМ ГЕРБСТА
Срок лечения 33 мес
Подробнее
До После до
после
Ортодонтическое лечение дистального прикуса
Срок лечения 2,5 года
Подробнее
До После до
после
Результат лечения скученности без удаления
Срок лечения 23 мес
Подробнее
До После до
после
Результат лечения дистального прикуса аппаратом Гербста
Срок лечения 2,5 года
Подробнее
До После до
после
ЛЕЧЕНИЕ ГЛУБОКОГО ТРАВМИРУЮЩЕГО ПРИКУСА
Срок лечения 3 года
Подробнее
До После до
после
ЛЕЧЕНИЕ ГЛУБОКОГО ПРИКУСА, НАКЛОНА ОККЛЮЗИОННОЙ ПЛОСКОСТИ
Срок лечения 2 года
Подробнее
До После до
после
Коррекция скученности зубов с удалением
Срок лечения 1,5 года
Подробнее
До После до
после
Лечение мезиального прикуса зубов
Срок лечения с хирургией: 3 года
Подробнее
До После до
после
Лечение открытого прикуса микроимплантами
Срок лечения 2 года 9 месяцев
Подробнее
До После до
после
ЛЕЧЕНИЕ ПЕРЕКРЁСТНОГО ПРИКУСА С ПОМОЩЬЮ НЁБНОГО РАСШИРИТЕЛЯ МАРКА РОСА
Срок лечения 9 месяцев
Подробнее
До После до
после
Исправление скученности с удалением
Срок лечения 2.5 года
Подробнее
До После до
после
ЛЕЧЕНИЕ МЕЗИАЛЬНОГО ПРИКУСА БЕЗ ОПЕРАЦИИ (РАЗОБЩЕНИЕ, РАННИЕ ЭЛАСТИКИ 3 КЛАССА)
Срок лечения 26 месяцев
Подробнее
До После до
после
Лечение скученности и перекрестного прикуса зубов
Срок лечения 21 месяц
Подробнее
До После до
после
ЛЕЧЕНИЕ СКУЧЕННОСТИ И МЕЗИАЛЬНОГО ПРИКУСА С УДАЛЕНИЕМ И ДИСТАЛИЗАЦИЕЙ НА НЧ
Срок лечения 3 года
Подробнее
До После до
после
КОМБИНИРОВАННОЕ ЛЕЧЕНИЕ ДИСТАЛЬНОГО ПРИКУСА И СКУЧЕННОСТИ С ОРТОГНАТИЧЕСКОЙ ОПЕРАЦИЕЙ
Срок лечения 3 года
Подробнее
До После до
после
ЛЕЧЕНИЕ ДЕФИЦИТА МЕСТА (СКУЧЕННОСТЬ, ИЗБЫТОЧНЫЙ НАКЛОН ЗУБОВ) БЕЗ УДАЛЕНИЯ
Срок лечения 2 года 5 мес
Подробнее
До После до
после
ЛЕЧЕНИЕ ДИСТАЛЬНОЙ ОККЛЮЗИИ И ДЕСНЕВОЙ УЛЫБКИ ПРИ ПОМОЩИ 2 МИКРО-ИМПЛАНТАТОВ
Срок лечения 3 года
Подробнее
До После до
после
ЛЕЧЕНИЕ НА АППАРАТЕ MOTION С ДАЛЬНЕЙШИМ ЛЕЧЕНИЕМ НА БРЕКЕТ-СИСТЕМЕ DAMON Q
Срок лечения 2 года 2 мес
Подробнее
До После до
после
ЛЕЧЕНИЕ 2 КЛАССА С ИСПОЛЬЗОВАНИЕМ ЭЛАСТИКОВ БЛАГОДАРЯ ОТЛИЧНОЙ КООПЕРАЦИИ ПАЦИЕНТА
Срок лечения 2 года
Подробнее
До После до
после
ЛЕЧЕНИЕ 2 КЛАССА С ИСПОЛЬЗОВАНИЕМ АППАРАТА ФОРСУС
Срок лечения 2 года 2 мес
Связанные услуги
Подробнее

Отзывы пациентов

Дмитрий Канпинович настоящий специалист в своем деле! Работает с большим вниманием к деталям, стремится к идеальному результату и при этом стоимость услуг у него ниже, чем у многих других. Я довольна результатом – мои зубы стали ровными и красивыми. Огромное спасибо ему за это!

23.10.2025

Обратилась к врачу Дмитрию Канпиновичу по рекомендациям другого ортодонта, планировала заняться ортодонтическим лечением. Все понравилось, консультация была полноценной, видно, что врач знает своё дело, и то, о чем говорит, теперь буду следовать его советам.

02.09.2025

Прохожу лечение у Валентины Игоревны Семеновой в команде Дмитрия Канпиновича И. Предсказуемый результат благодаря разработанному плану лечения с начала (с первичной консультации), понятные действия (зачем цепочка, для чего минивинт и тд), видимый прогресс от приема к приему. Надежно, результативно; я давно спокойна за результат лечения и рекомендую клинику при случае для тех, кто в поиске…

20.05.2025

Хочу выразить благодарность Дмитрию Канпиновичу и всей команде клиники «Полный порядок». Уже три недели прошло с того момента, как мне сняли брекеты, и я уже практически не помню, что носила их два года. В чём секрет? В мастерстве моего ортодонта)💪 я на 100% знала, чего ждать от новой дуги, как будут двигаться мои зубы, и…

13.11.2024

«Вот и случился день «Х», мне сняли брекеты! Выражаю огромную благодарность и говорю человеческое спасибо моему доктору Екатерине!! Спасибо за профессионализм и чуткое отношение! и терпение:) Желаю успеха и всего самого наилучшего! P.S. И Дмитрию Канпиновичу отдельное спасибо!!! начинала лечение именно у него, а после под его чутким контролем:) Всем удачи! спасибо!»

13.11.2024

«Хотелось бы поблагодарить Антипову Екатерину Сергеевну и Дмитрия Канпиновича за трепетное отношение к своим пациентам и качественное ортодонтическое лечение. Весь процесс лечения был комфортным, доктор всегда описывала все процессы и аккуратно проводила все манипуляции. Я очень рада, что решилась на этот шаг и выбрала именно Вашу клинику. Спасибо всему Вашему персоналу за то, что Вы…

13.11.2024

«Огромное СПАСИБО Дмитрию Канпиновичу и Екатерине Сергеевне за мою новую улыбку! До сих пор не могу прийти в себя после того, как впервые в жизни видела у себя ровные зубы Теперь я не перестаю улыбаться Очень рада, что в свое время попала на консультацию к Дмитрию Канпиновичу. Лечение проходило комфортно, а результат оказался волшебным. Еще…

13.11.2024

« Хочу поблагодарить врача с большой буквы И Дмитрия Канпиновича за мою улыбку, которая в полном порядке!!! За терпение, за чуткое отношение, за профессионализм. А так же всему коллективу: Вы просто супер! Спасибо всем огромное!!! Я обязательно к Вам еще приду. Успехов всей клинике=)»

13.11.2024

Я выражаю огромную благодарность всей команде врачей, которые работали над красотой моей улыбки. Спасибо огромное Дмитрию Канпиновичу, Екатерине Сергеевне, а также всем ассистентам! Я очень довольна результатом лечения в клинике «Полный Порядок»! Моя мечта сбылась и это целиком ваша заслуга. Спасибо за то, что вы делаете для своих пациентов!!!

13.11.2024

Хочу сказать огромное спасибо Дмитрию Канпиновичу и Юлие Владимировне за мою прекрасную улыбку. Общаться с вами было комфортно и приятно. Вы профессионалы с большой буквы!

13.11.2024

Проходила ортодонтическое лечение у Юлии Владимировны и Дмитрия Канпиновича (с челюстно – лицевой хирургией). Я выбирала врач по отзывам и остановила свой выбор на Дмитрии Канпиновиче. Оказалось, что в данной клинике командная работа и моим вторым (основным) врачом стала Юлия Владимировна. Это был мой первый опыт, когда в лечении принимала целая команда.В целом, всё отлично.…

13.11.2024

Вспоминая первую неделю после начала лечения, могу сказать, что этот промежуток времени самый трудный, это нужно переждать, и тогда всё остальное лечение будет в радость. Очень приятно было наблюдать изменение своей улыбки. Спасибо огромное Дмитрию Канпиновичу и Юлии Владимировне за то, что я больше не стесняюсь своей улыбки. Вы настоящие профессионалы!

13.11.2024

Спасибо большое Дмитрию Канпиновичу и всем, кто помогал в прохождении лечения! Я долгое время боялась ставить брекеты, но доверилась вашей клинике, и понимаю, что сделала правильный выбор. Теперь у меня удельно ровные белые зубы. Я могу больше не стесняться улыбаться. И это благодаря Вам! Спасибо огромное!

13.11.2024

Большое спасибо клинике «Полный Порядок» за новую улыбку и новое отношение к эстетике ротовой полости. Спасибо команде ортодонтов И Дмитрия Канпиновича, каждый приём был «ожиданием чуда» и я всегда знала, что мои зубы в руках профессионалов. Отличие клиники «Полный Порядок» от любой другой бережное отношение к клиенту и командный подход. Посещая нового врача всегда можно…

13.11.2024

Хотелось бы выразить благодарность за оперативное и качественное ортодонтическое лечение Дмитрию Канпиновичу и его команде. Лечение удалось завершить раньше срока, полученный эффект радует тем, насколько профессионально выполнен. Также хотелось бы отметить работу терапевтов, ортопеда, гигиенистов — весь персонал в клинике профессионально подготовлен, чем радует клиентов. Обязательно вернусь снова и буду рекомендовать клинику! Спасибо!

13.11.2024

Выражаю безмерную благодарность врачам-ортодонтам Юлии Владимировне и Дмитрию Канпиновичу за отлично проделанную работу. 2 года командной работы и мои зубки, наконец-то, идеально ровные. Я даже и представить не могла, что такое возможно. Профессионалы с большой буквы, благодарю за всё! Вы – самые лучшие! Процветания, роста и больше клиентов вашей замечательной клинике!)

13.11.2024

В клинику «Полный порядок» пришла 3 года назад на консультацию по ортодонтическому лечению. И выбрала из всех «Полный порядок». Я очень довольна тем, что осталась в этой клинике. Командный подход, все специалисты профи своего дела, внимательность и доброжелательность персонала всегда на высоте. Отдельная благодарность Дмитрию Канпиновичу и Евгении Александровне. Вместе мы прошли длительный путь и…

13.11.2024

Замечательная командная работа. Внимательность к пациенту и его пожеланиям. Благодарю за красивую улыбку! И всегда позитивный, качественный и высоко профессиональный подход. За весь период лечения (почти 2 года) всегда на высоте! Большое всем спасибо! Отдельно: Дмитрию Канпиновичу за терпение, понимание и уникальный, бережный подход ко мне и моей улыбке! Юлии Владимировне за тщательность, аккуратность и…

13.11.2024

Безумно рада, что когда-то вашу клинику мне посоветовал стоматолог, когда узнал, какая у меня не стандартная проблема. Вашу клинику посоветовали как очень надежную и профессиональную, которая справится с любым случаем даже таким сложным как у меня, меня не хотели брать в другой клинике, т.к я уже носила ранее брекеты. Очень благодарна И Дмитрию Канпиновичу и…

13.11.2024

Огромное спасибо Дмитрию Канпиновичу и его команде за то, что привели мою улыбку в порядок! Теперь я распрощалась с многолетними комплексами из-за кривых зубов и могу спокойно улыбаться:) Вы делаете все возможное, чтобы время, проведенное в кресле, было максимально комфортным. Отдельное спасибо за то, что вы всегда были на связи все это время и отвечали…

13.11.2024

Спасибо за отличную работу, терпение, время и результат. С детства был неправильный прикус, в 40 лет обратилась в «Полный порядок» и я довольна результатом. Стоматологическая клиника, где на первом месте качество и репутация. Внимательность и доброжелательность, мастера своего дела, мягкость, трудолюбие, эмпатия и это не полный перечень качеств сотрудников. Желаю процветания, буду рекомендовать. Муж уже…

13.11.2024

Огромная благодарность за высокопрофессиональный подход Дмитрию Канпиновичу!!! Очень внимательный и талантливый специалист, который учел абсолютно все мои пожелания. Большое Вам человеческое СПАСИБО! 🙂

13.11.2024
Все отзывы

Лицензии и сертификаты

+7 812 214 99 00 Пн-Вс: 09:00–21:00
Выберите клинику
г. Санкт-Петербург ул. Турку, д. 11, корпус 2
ул. Петрозаводская, д. 13
г. Гатчина ул. Коли Подрядчикова д. 22
Свяжитесь с клиникой
г. Санкт-Петербург, ул. Турку, д. 11, к. 2
Написать в WhatsApp
Сканируйте код для перехода в WhatsApp с телефона
Написать в Telegram
Сканируйте код для перехода в Telegram с телефона
Сменить клинику
Свяжитесь с клиникой
г. Гатчина, ул. Коли Подрядчикова д. 22
Написать в WhatsApp
Сканируйте код для перехода в WhatsApp с телефона
Написать в Telegram
Сканируйте код для перехода в Telegram с телефона
Сменить клинику