Удаление зубов мудрости
Простое удаление зубов
Удаление ретенированных зубов
Удаление кист и гранулём
Пластика уздечки
Герметизация фиссур
Лечение кариеса без боли
Адаптация к кабинету
Ортодонтический аппарат Марко-Росса
Ортодонтический аппарат MARPE
Лицевая маска
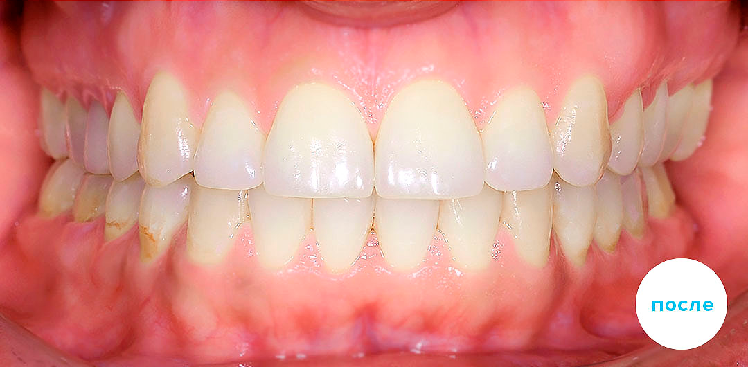
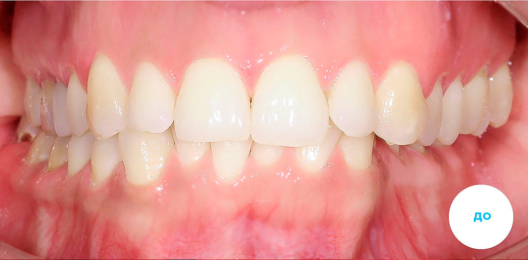
В приведенном клиническом случае ортодонты использовали цифровую брекет-систему INSIGNIA на базе самолигирующих брекетов Damon Q/Q.
Узнать больше
Подробнее о лечении:
Индивидуальная брекет-система INSIGNIA (Инсигния) — это уникальная цифровая ортодонтическая система от Ormco, которая моделируется при помощи CAD/CAM технологий на базе самолигирующих брекетов Damon. Опция доступна для 2-х видов таких брекетов - керамических Damon Clear и металлических Damon Q. Изготавливаются индивидуально для каждого пациента по его “мерке” при этом, каждый брекет может быть как уникален, так и выбран из имеющейся серийной линейки. Компьютерное моделирование процесса ортодонтического лечения позволяет добиться прогнозированного и безукоризненно точного исправления прикуса и выравнивания зубов. По внешнему виду система INSIGNIA не отличается от обычных брекетов Damon, керамических или металлических, как и стоимость лечения на такой системе в ”Полном порядке”.
Damon Q - это самолигирующие металлические брекеты, изготовленные из медицинской стали. Каждый брекет представляет собой полноценный ортодонтический механизм с заложенными в него определенными параметрами и надежным механизмом закрытия и фиксации. Самые маленькие по размеру и самые изящные среди металлических систем, использующихся для коррекции прикуса и выравнивания зубов. По сравнению с лигатурными брекет-системами сокращают срок лечения на 4-5 месяцев обеспечивая безупречный результат. Не ломаются: даже если скоба вдруг отклеится, ее чаще всего можно будет вернуть на место без замены.
«Полный Порядок»: стоматология для взрослых и детей, одним из основных направлений которой является экспертная ортодонтия. Клиника оснащена всем необходимым оборудованием для проведения полной диагностики сразу после консультации у профильного врача. Таким образом на первом приеме пациент получает объективный и честный анализ ситуации и индивидуальный план лечения.
