Удаление зубов мудрости
Простое удаление зубов
Удаление ретенированных зубов
Удаление кист и гранулём
Пластика уздечки
Герметизация фиссур
Лечение кариеса без боли
Адаптация к кабинету
Ортодонтический аппарат Марко-Росса
Ортодонтический аппарат MARPE
Лицевая маска
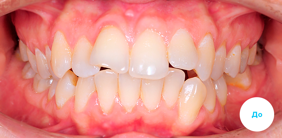
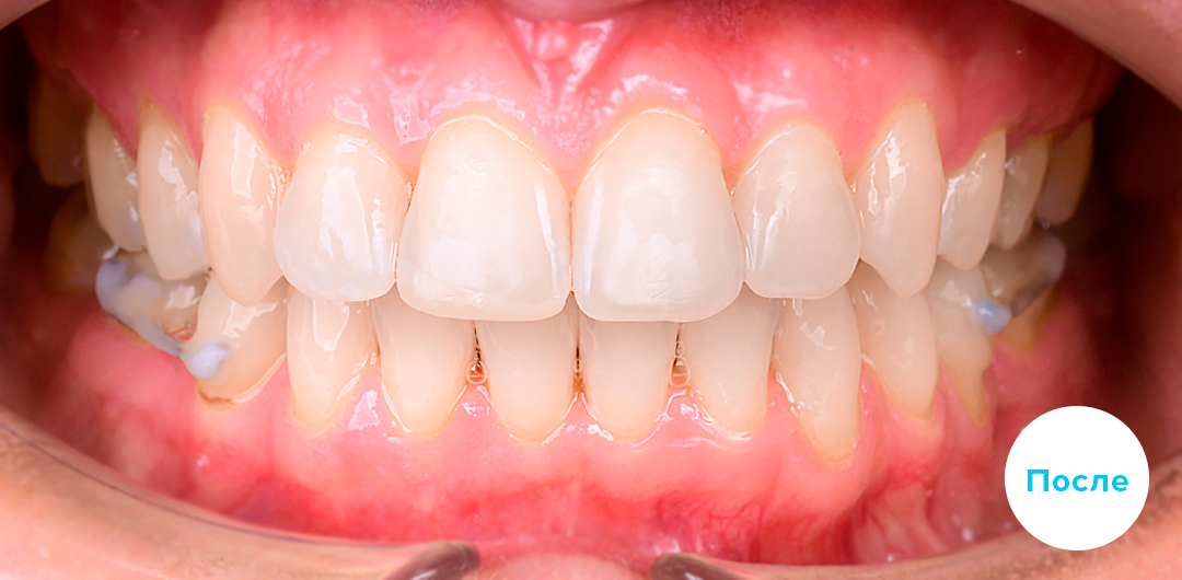
У пациентки Евгении Александровны было завершено лечение сложного клинического случая с удалением 3х премоляров и закрытием пространства от удаленного зуба 3.6 своими зубами без имплантации.
Узнать больше
За время лечения была скомпенсирована дистальная окклюзия и устранен избыточный наклон верхних и нижних передних зубов.
Брекет-система Damon Clear /Q
Стоимость лечения на 2019 год 274 000 рублей.
Пациенту 34 года
Срок лечения: 4 года
