Удаление зубов мудрости
Простое удаление зубов
Удаление ретенированных зубов
Удаление кист и гранулём
Пластика уздечки
Герметизация фиссур
Лечение кариеса без боли
Адаптация к кабинету
Ортодонтический аппарат Марко-Росса
Ортодонтический аппарат MARPE
Лицевая маска
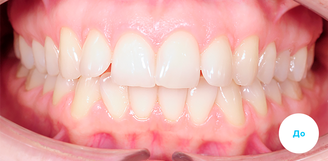
В приведенном клиническом случае ортодонты использовали керамические самолигирующие брекеты Damon Clear.
Узнать больше
Подробнее о лечении:
«Полный Порядок»: стоматология для взрослых и детей, одним из ведущих направлений которой является экспертная ортодонтия. Клиника оснащена всем необходимым оборудованием для проведения стоматологической диагностики прямо после консультации у профильного врача. Таким образом при первом визите пациент получает объективный и честный анализ ситуации и план лечения.
Damon Clear - это самолигирующиеся брекеты из гиппоалергенной прозрачной керамики, использующиеся для коррекции прикуса и выравнивания зубов. Такая брекет-система практически сливается с тоном эмали и почти незаметна на зубах. То, что система самолигирующая означает, что она не имеет обычных лигатур, подверженных окрашиванию. Дуга фиксируется в пазе брекета специальным замком, что делает ее одной из самых незаметных среди моделей Damon. Вблизи вы их заметите, только внимательно присмотревшись к собеседнику, и то скорее из-за ортодонтических дуг. Издалека никто даже не сможет предположить, что у вас есть брекеты. Брекеты Damon Clear можно считать идеальными с точки зрения эстетики улыбки в процессе лечения и их эффективности.
