Удаление зубов мудрости
Простое удаление зубов
Удаление ретенированных зубов
Удаление кист и гранулём
Пластика уздечки
Герметизация фиссур
Лечение кариеса без боли
Адаптация к кабинету
Ортодонтический аппарат Марко-Росса
Ортодонтический аппарат MARPE
Лицевая маска
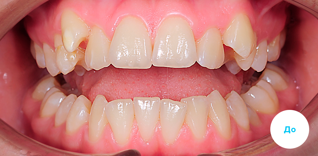
Сложные клинические случае тоже возможно лечить на элайнерах!
Узнать больше
Было проведено лечение дефицита места и устранён избыточный наклон зубов.
Система элайнеров Invisilign и частичная брекет-система в боковых отделах.
Стоимость лечения на 2020 год 251 000 рублей.
Пациенту 18 лет
Срок лечения: 3 года
