Удаление зубов мудрости
Простое удаление зубов
Удаление ретенированных зубов
Удаление кист и гранулём
Пластика уздечки
Герметизация фиссур
Лечение кариеса без боли
Адаптация к кабинету
Ортодонтический аппарат Марко-Росса
Ортодонтический аппарат MARPE
Лицевая маска
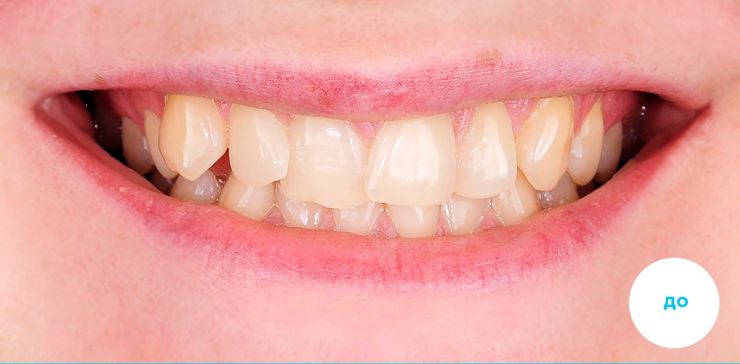
В приведенном клиническом случае ортодонты использовали комбинированную самолигирующую брекет-систему Damon Clear/Q.
Узнать больше
Подробнее о лечении:
Комбинированная брекет-система - это одновременная фиксация различных видов брекетов на верхней и нижней челюсти пациента. Керамические брекеты, повторяющие оттенок эмали зубов пациента и почти незаметные, устанавливаются на верхний зубной ряд полностью или только в зону улыбки. На нижней челюсти и жевательных зубах устанавливают металлические - более экономичные и надежные. Их все равно никто не заметит, благодаря расположению. Такой подход обеспечивает превосходные показатели скорости, эстетики, удобства пациента в процессе коррекции прикуса и выравнивания зубов. Комбинированная брекет-система имеет еще одно преимущество – доступная цена. Комбинированная брекет-система имеет еще одно преимущество – доступная цена.
«Полный Порядок» - это стоматология для детей и взрослых, одним из ведущих направлений которой является экспертная ортодонтия. Клиника оснащена всем необходимым оборудованием для проведения стоматологической диагностики прямо после консультации у профильного врача. Таким образом при первом визите пациент получает честный и объективный анализ проблемы и план лечения.
