Удаление зубов мудрости
Простое удаление зубов
Удаление ретенированных зубов
Удаление кист и гранулём
Пластика уздечки
Герметизация фиссур
Лечение кариеса без боли
Адаптация к кабинету
Ортодонтический аппарат Марко-Росса
Ортодонтический аппарат MARPE
Лицевая маска
Подробнее о лечении:
«Полный Порядок» - это стоматология для детей и взрослых, одним из ведущих направлений которой является экспертная ортодонтия. Клиника оснащена всем необходимым оборудованием для проведения полной стоматологической диагностики прямо после консультации у профильного врача. Таким образом на первом приеме пациент получает честный и объективный анализ проблемы и план лечения.
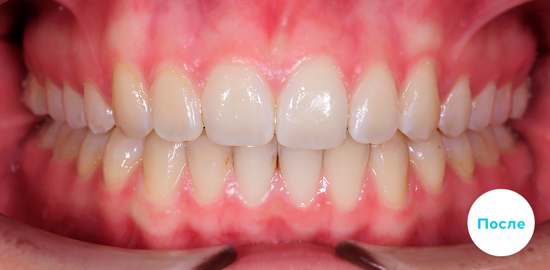
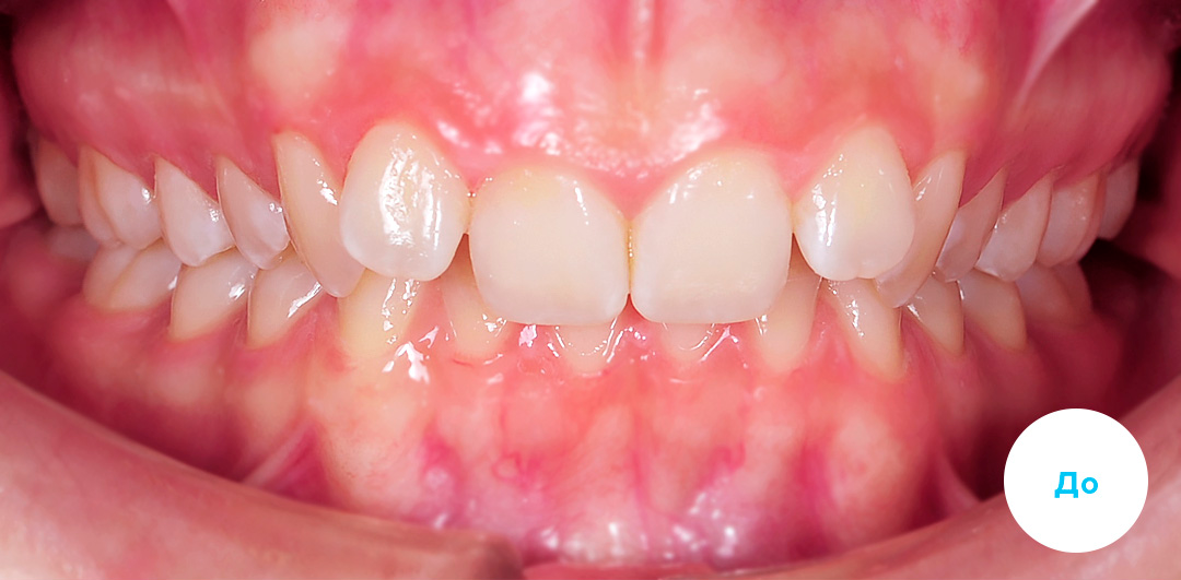
Damon Q - это самолигирующие металлические брекеты, изготовленные из медицинской стали. Каждый брекет представляет собой полноценный ортодонтический механизм с заложенными в него определенными параметрами и надежным механизмом закрытия и фиксации. Самые маленькие и эстетичные среди металлических систем для исправления прикуса и выравнивания зубов. По сравнению с лигатурными брекет-системами сокращают срок лечения на 4-5 месяцев обеспечивая безупречный результат. Прочные: даже если скоба вдруг отклеится, то с 98% вероятностью ее можно будет вернуть на место без замены.
