Удаление зубов мудрости
Простое удаление зубов
Удаление ретенированных зубов
Удаление кист и гранулём
Пластика уздечки
Герметизация фиссур
Лечение кариеса без боли
Адаптация к кабинету
Ортодонтический аппарат Марко-Росса
Ортодонтический аппарат MARPE
Лицевая маска
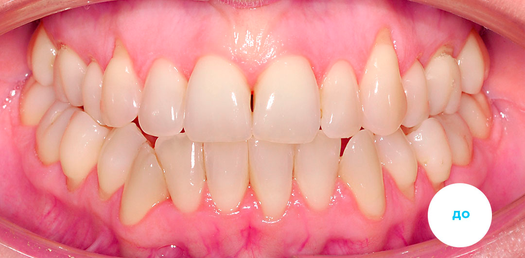
В приведенном клиническом случае ортодонты использовали цифровую брекет-систему INSIGNIA на базе самолигирующих брекетов Damon Q/Q.
Узнать больше
Подробнее о лечении:
Индивидуальная брекет-система INSIGNIA (Инсигния) — это уникальная цифровая система от Ormco. Она моделируется при помощи CAD/CAM технологий на базе самолигирующих брекетов Damon. Эта опция возможна для двух разновидностей таких брекетов: керамических Damon Clear и металлических Damon Q. Они изготавливаются индивидуально под каждого пациента, при этом каждый брекет может быть уникальным или выбран из имеющейся серийной линейки. Компьютерная модель процесса ортодонтического лечения позволяет достичь прогнозированного и безупречного результата коррекции прикуса и выравнивания зубов. Внешний вид системы INSIGNIA не отличается от обычных брекетов Damon – керамических или металлических, как и стоимость лечения на такой системе в клинике «Полный порядок».
Damon Q - это самолигирующие металлические брекеты, изготовленные из медицинской стали. Каждый брекет представляет собой полноценный ортодонтический механизм с заложенными в него определенными параметрами и надежным механизмом закрытия и фиксации. Самые маленькие и эстетичные среди металлических систем для исправления прикуса и выравнивания зубов. В сравнении с лигатурной системой, сокращают срок лечения на 4-5 месяцев гарантируя столь же безупречный результат. Прочные: даже если скоба вдруг отклеится, то с 98% вероятностью ее можно будет вернуть на место без замены.
«Полный Порядок» - стоматология для взрослых и детей, одним из основных направлений которой является экспертная ортодонтия. Клиника оснащена всем необходимым оборудованием для проведения полной диагностики сразу после консультации у профильного врача. Таким образом на первом приеме пациент получает объективный и честный анализ проблемы и индивидуальный план лечения.
