Мы на связи в Telegram

Эстетические брекеты

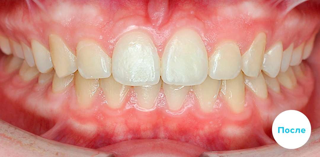
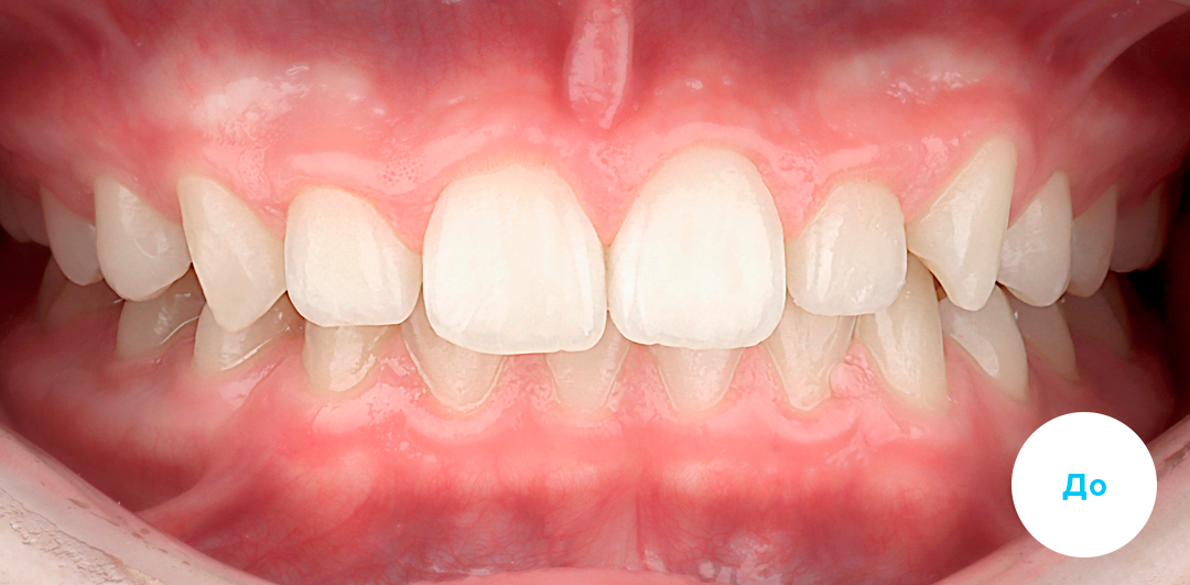
Результаты лечения

До После до
после
Коррекция мезиального прикуса
Описание В приведенном клиническом случае ортодонты использовали металлические самолигирующие брекеты Damon Q/Q
Срок лечения 1 год
Возраст пациента 27 лет
Подробнее
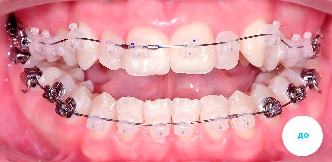
До После до
после
Лечение дистального прикуса брекетами Damon Q/Q
Описание В приведенном клиническом случае ортодонты использовали металлические самолигирующие брекеты Damon Q/Q.
Возраст пациента 37 лет
Подробнее
До После до
после
Лечение дистального прикуса и подготовка к протезированию
Описание В приведенном клиническом случае ортодонты использовали цифровую брекет-систему INSIGNIA на базе самолигирующих брекетов Damon Clear/Q
Срок лечения 26 мес
Возраст пациента 28 лет
Подробнее
До После до
после
ЛЕЧЕНИЕ ДИСТАЛЬНОГО ПРИКУСА И СКУЧЕННОСТИ
Описание В приведенном клиническом случае ортодонты использовали цифровую брекет-систему INSIGNIA на базе самолигирующих брекетов Damon Clear/Q
Срок лечения 3,5 года
Возраст пациента 32 года
Подробнее
До После до
после
Лечение дистальной окклюзии
Срок лечения 3 года
Возраст пациента 36 лет
Тип брекетов
Damon Q/Q
Подробнее
До После до
после
ЛЕЧЕНИЕ ДИСТОПИИ ПОСЛЕ ТРАВМЫ У РЕБЕНКА
Описание В приведенном клиническом случае ортодонты использовали частичную металлическиую самолигирующую брекет-систему Damon Q
Срок лечения 26 мес
Возраст пациента 11 лет
Подробнее
До После до
после
ЛЕЧЕНИЕ МЕЗИАЛЬНОГО ПРИКУСА С УДАЛЕНИЕМ
Описание В приведенном клиническом случае ортодонты использовали металлические самолигирующие брекеты Damon Q/Q
Срок лечения 3 года
Возраст пациента 25 лет
Подробнее
До После до
после
Лечение на Damon Q2 
Срок лечения 21 месяц
Возраст пациента 15 лет
Подробнее
До После до
после
ЛЕЧЕНИЕ НА АППАРАТЕ MOTION С ДАЛЬНЕЙШИМ ЛЕЧЕНИЕМ НА БРЕКЕТ-СИСТЕМЕ DAMON Q
Описание В приведенном клиническом случае ортодонты использовали металлические самолигирующиеся брекет-системы DAMON Q.
Срок лечения 2 года 2 мес
Подробнее
До После до
после
ЛЕЧЕНИЕ ОТКРЫТОГО ПРИКУСА С ВНЕДРЕНИЕМ
Описание В приведенном клиническом случае ортодонты использовали цифровую брекет-систему INSIGNIA на базе самолигирующих брекетов Damon Q/Q
Срок лечения 28 мес
Возраст пациента 27 лет
Подробнее
До После до
после
ЛЕЧЕНИЕ ПЕРЕКРЁСТНОГО ПРИКУСА БЕЗ ОПЕРАЦИИ
Описание В приведенном клиническом случае ортодонты использовали цифровую брекет-систему INSIGNIA на базе самолигирующих брекетов Damon Q/Q.
Срок лечения 21 мес
Возраст пациента 33 года
Подробнее
Вопрос врачу
Сколько длится лечение на невидимых брекетах?
Срок лечения на эстетических, или малозаметных, брекетах в целом сопоставим с классическим ортодонтическим лечением. В среднем исправление прикуса занимает от 12 до 24 месяцев, однако точные сроки зависят от клинической ситуации. На продолжительность лечения влияют тип прикуса, степень скученности зубов, объем необходимых перемещений и соблюдение рекомендаций врача. Сами по себе малозаметные брекеты не ускоряют и не замедляют лечение — они отличаются в первую очередь внешним видом и особенностями материала.
Тихонов Сергей Викторович Главный врач, ортодонт

Наши специалисты всегда на связи

Оставьте Ваши контактные данные, и мы с Вами свяжемся!
Задать вопрос

Отзывы

Ольга Логотип

Спасибо большое Дмитрию Канпиновичу и всем, кто помогал в прохождении лечения! Я долгое время боялась ставить брекеты, но доверилась вашей клинике, и понимаю, что сделала правильный выбор. Теперь у меня удельно ровные белые зубы. Я могу больше не стесняться улыбаться. И это благодаря Вам! Спасибо огромное!

Егор Логотип

Благодарим Вас за вашу работу, понимание и внимание! Всем Вам крепкого здоровья, успехов и удачи в работе. Спасибо!!!

Полина Логотип

Спасибо врачам клиники за прекрасную работу! Все сделано на высшем уровне. Каждый прием проходил в приятной и комфортной обстановке! Очень рада, что выбрала Полный Порядок

Все отзывы

Оборудование

Обследование Диагностика

Внутриротовой 3D сканер 3 Shape

  • Быстро и точно создавать цифровые модели зубного ряда и челюсти для диагностики и планирования лечения.
  • Использоваться для протезирования — изготавливать коронки, вкладки, виниры и другие конструкции с высокой точностью цвета и формы.
  • Применяться при ортодонтическом лечении для создания моделей прикуса и планирования брекетов или элайнеров.
Обследование Диагностика

Внутриротовой 3D сканер Medit

  • Высокая точность и скорость сканирования — до 3,2 мкм снимать 3D-модель челюсти можно всего за 30-60 секунд без применения порошков.
  • Компактность и эргономика — легкий и небольшой наконечник сканера обеспечивает комфортную работу и доступ даже к труднодоступным участкам.
  • Цветное сканирование с естественной цветопередачей позволяет получить высококачественное изображение зубов и мягких тканей.
Лечение зубов

Cтоматологический диодный лазер Picasso

  • Чистота и бескровность операционного поля
  • Хороший визуальный контроль и точность
  • Минимальная травматичность и более быстрое заживление
  • Широкий спектр применений: от гингивэктомий, лазерной ретракции десны и коррекции улыбки до дезинфекции тканей, обработки карманов, отбеливания и подготовки к реставрации
Лечение зубов

Система компьютерной анестезии STA SYSTEM

  • Почти безболезненное введение анестетика благодаря микропроцессорному контролю скорости и давления
  • Точное целевое обезболивание одного зуба без онемения мягких тканей лица, языка и губ, что повышает комфорт пациента после процедуры
  • Минимальное использование анестетика, что снижает вредное воздействие на организм и уменьшает риск осложнений
Обследование Диагностика

Компьютерный томограф Gendex СВ-500

  • Высокая скорость и точность сканирования
  • Универсальность — аппаратом можно делать и панорамные 2D-снимки, и 3D томографию без смены датчика
  • Высокое качество изображений с минимальными искажениями благодаря аморфно-кремниевому сенсору последнего поколения
  • Эргономичный и компактный дизайн с расположением пациента в сидячем положении для максимального комфорта и минимизации движений
Обследование Лечение зубов

Стоматологический микроскоп Flexion Basic (CJ-OPTIK)

  • Высокое качество оптики с апохроматической системой и многослойным антибликовым покрытием
  • Широкий диапазон увеличения (от 5x до 20x) и большое поле обзора позволяют точно рассмотреть мельчайшие детали во время стоматологических процедур
  • Эргономика и комфорт работы: система MonoGlobe и поворотные окуляры позволяют легко регулировать положение микроскопа одной рукой
Обследование Диагностика

Дентальный микроскоп Leica M320

  • Лечение зубов под x25 кратным увеличением;
  • Максимальное сохранение здоровых тканей зуба;
  • Эффективное лечение каналов, чтобы сохранить зуб живым;
  • Снижение риска вторичного кариеса за счёт стопроцентного прилегания коронок, виниров и пломб.
Обследование Диагностика

Стоматологический радиовизиограф Dexcowin

  • Компактность и лёгкость — вес всего около 1,5 кг, что обеспечивает удобство и мобильность в работе
  • Высокое качество изображений благодаря современным технологиям обработки и разрешению, что позволяет точно диагностировать состояние зубов
  • Низкая лучевая нагрузка
  • Простота использования
Обследование Диагностика

Портативный визиограф Eighteeth

  • Эргономичный и ультратонкий дизайн
  • Высокое качество изображений благодаря технологии APS CMOS и разрешению до 20 линий на мм
  • Надежное и прочное кабельное соединение, проверенное на более чем 70 тысяч сгибаний
  • Влагозащита по стандарту IP68
Лечение зубов

Беспроводная 3D система обтурации Dia dent

  • Компактность и эргономика — беспроводная и легкая конструкция обеспечивает удобство работы и хранения
  • Контролируемая обтурация с быстрым и непрерывным потоком подачи гуттаперчи
  • Быстрый нагрев до температуры до 200°C всего за 15 секунд
  • В комплекте идут гибкие канюли для удобной работы в узких и труднодоступных каналах
Обследование Диагностика

Центрифуга Hettich EBA 200

  • Оборудована бесщеточным частотным приводом, не требующим технического обслуживания, что увеличивает надёжность и срок службы.
  • Имеет систему автоматического отключения при разбалансировке ротора, что обеспечивает безопасность работы.
  • Оснащена функцией автоматического открывания и блокировки крышки, предотвращающей случайное открытие во время работы.
X

Частые вопросы

Сертификаты специалиста

+7 812 214 99 00 Пн-Вс: 09:00–21:00
Выберите клинику
г. Санкт-Петербург ул. Турку, д. 11, корпус 2
ул. Петрозаводская, д. 13
г. Гатчина ул. Коли Подрядчикова д. 22
Свяжитесь с клиникой
г. Санкт-Петербург, ул. Турку, д. 11, к. 2
Написать в WhatsApp
Сканируйте код для перехода в WhatsApp с телефона
Написать в Telegram
Сканируйте код для перехода в Telegram с телефона
Сменить клинику
Свяжитесь с клиникой
г. Гатчина, ул. Коли Подрядчикова д. 22
Написать в WhatsApp
Сканируйте код для перехода в WhatsApp с телефона
Написать в Telegram
Сканируйте код для перехода в Telegram с телефона
Сменить клинику