Удаление зубов мудрости
Простое удаление зубов
Удаление ретенированных зубов
Удаление кист и гранулём
Пластика уздечки
Герметизация фиссур
Лечение кариеса без боли
Адаптация к кабинету
Ортодонтический аппарат Марко-Росса
Ортодонтический аппарат MARPE
Лицевая маска
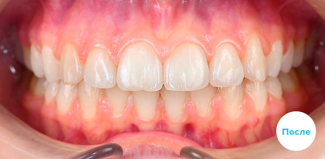
В приведенном клиническом случае ортодонты использовали металлическую самолигирующую брекет-систему DAMON Q.
Узнать больше
Подробнее о лечении:
Было проведено лечение 2 класса с использованием эластиков. Перед ортодонтией пациент проходил лечение на суставной шине. Также использовали металлические самолигирующие брекеты Damon Q.
Пациенту 23 года на момент снятия
Срок лечения: 2 года 10 мес
«Полный Порядок» - это стоматология для взрослых и детей, одним из основных направлений которой является экспертная ортодонтия. Клиника оснащена всем необходимым оборудованием для проведения стоматологической диагностики сразу после консультации у профильного врача. Таким образом при первом визите пациент получает объективный и честный анализ проблемы и индивидуальный план лечения.
Damon Q - самолигирующие металлические брекеты миниатюрного размера, выполненные из медицинской стали. Каждый брекет работает как полноценный ортодонтический механизм, в котором заложены определенные параметры и надежное устройство закрытия и фиксации. Самые маленькие и эстетичные среди металлических систем для исправления прикуса и выравнивания зубов. По сравнению с лигатурными брекет-системами сокращают срок лечения на 4-5 месяцев обеспечивая безупречный результат. Не ломаются: даже если скоба вдруг отклеится, ее чаще всего можно будет вернуть на место без замены.
