Мы на связи в Telegram

ЛЕЧЕНИЕ БИПРОТРУЗИИ И СМЕЩЕНИЯ СРЕДНЕЙ ЛИНИИ

В приведенном клиническом случае ортодонты использовали металлические самолигирующие брекеты Damon Q/Q

Узнать больше
ЛЕЧЕНИЕ БИПРОТРУЗИИ И СМЕЩЕНИЯ СРЕДНЕЙ ЛИНИИ
Преимущество брекетов damon q
Срок лечения: 40 мес
Возраст пациента: 36 лет

Подробнее о лечении:

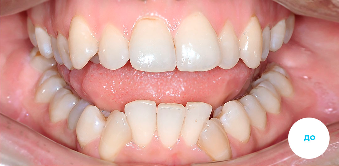
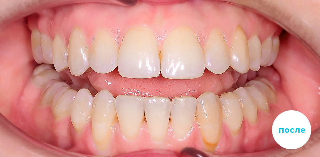
Лечение бипротрузии и смещения средней линии улыбки с удалением. Бипротрузия - это неправильный прикус с отклонением зубов вперед на обеих челюстях. Она осложнялось смещением центра верхней челюсти. Лечили с удалением и внедрением нижних резцов, которых у пациентки на нижней челюсти целых 3. В приведенном клиническом случае ортодонты использовали металлические самолигирующие брекеты Damon Q/Q В результате получили не совсем стандартную, но очень эстетичную улыбку.
Пациенту 36 лет
Срок лечения: 40 мес
Запишитесь на прием ортодонта
Слепки, фотопротокол, план лечения и консультация
всего за 7 500 руб
Оставьте Ваш номер телефона и мы свяжемся с Вами

Фото "до" и "после" лечения

ЛЕЧЕНИЕ ПЕРЕКРЕСТНОГО ПРИКУСА, УСТРАНЕНИЕ СКУЧЕННОСТИ ЗУБОВ. ЛЕЧЕНИЕ ПЕРЕКРЕСТНОГО ПРИКУСА, УСТРАНЕНИЕ СКУЧЕННОСТИ ЗУБОВ.
Смотреть другие результаты лечения

Команда лечащих врачей:

Тихонов Андрей Викторович
Тихонов Андрей Викторович
Основатель сети клиник "Полный порядок", научный консультант, ведущий ортодонт, кандидат медицинских наук
Опыт работы: 25 лет

О брекетах

Damon Q - это самолигирующие металлические брекеты, изготовленные из медицинской стали. Каждый брекет работает как полноценный ортодонтический механизм, в котором заложены определенные параметры и надежное устройство закрытия и фиксации. Самые маленькие по размеру и самые изящные среди металлических систем, использующихся для коррекции прикуса и выравнивания зубов. В сравнении с лигатурной системой, сокращают срок лечения на 4-5 месяцев гарантируя столь же безупречный результат. Не ломаются: даже если скоба вдруг отклеится, ее чаще всего можно будет вернуть на место без замены.

«Полный Порядок» - стоматология для взрослых и детей, одним из основных направлений которой является экспертная ортодонтия. Клиника оснащена всем необходимым оборудованием для проведения стоматологической диагностики прямо после консультации у профильного врача. Таким образом на первом приеме пациент получает объективный и честный анализ проблемы и индивидуальный план лечения.

Полный прайс-лист всех услуг в нашем разделе цены Или позвоните нам по телефону +7 (812) 416-95-04 и наши специалисты проконсультируют о стоимости всех услуг клиники!
+7 812 214 99 00 Пн-Вс: 09:00–21:00
Выберите клинику
г. Санкт-Петербург ул. Турку, д. 11, корпус 2
ул. Петрозаводская, д. 13
г. Гатчина ул. Коли Подрядчикова д. 22
Свяжитесь с клиникой
г. Санкт-Петербург, ул. Турку, д. 11, к. 2
Написать в WhatsApp
Сканируйте код для перехода в WhatsApp с телефона
Написать в Telegram
Сканируйте код для перехода в Telegram с телефона
Сменить клинику
Свяжитесь с клиникой
г. Гатчина, ул. Коли Подрядчикова д. 22
Написать в WhatsApp
Сканируйте код для перехода в WhatsApp с телефона
Написать в Telegram
Сканируйте код для перехода в Telegram с телефона
Сменить клинику