Удаление зубов мудрости
Простое удаление зубов
Удаление ретенированных зубов
Удаление кист и гранулём
Пластика уздечки
Герметизация фиссур
Лечение кариеса без боли
Адаптация к кабинету
Ортодонтический аппарат Марко-Росса
Ортодонтический аппарат MARPE
Лицевая маска
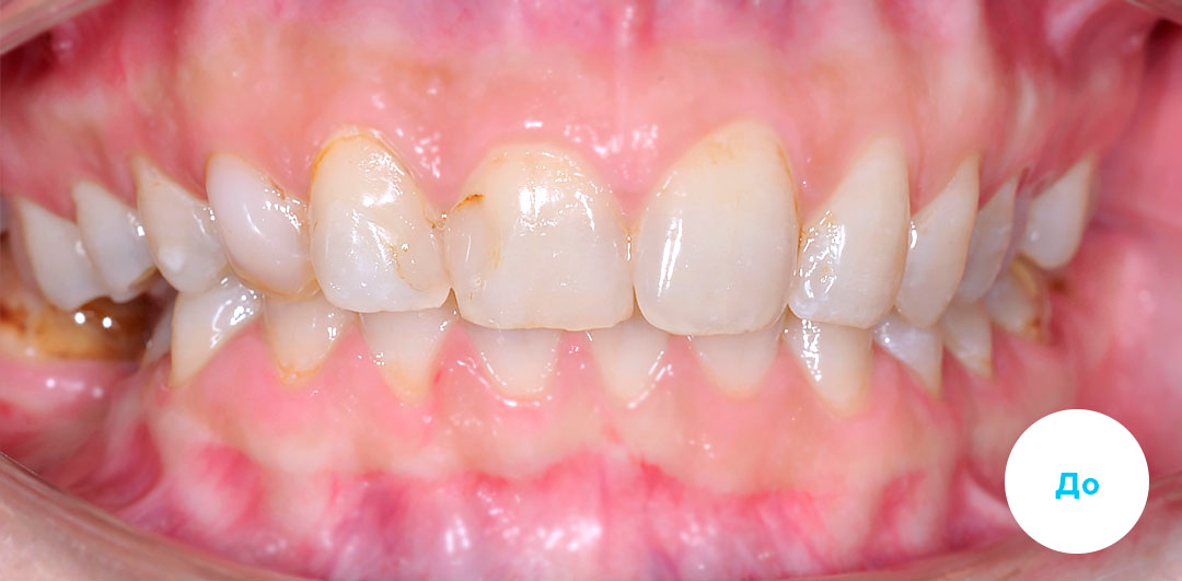
В приведенном клиническом случае ортодонты использовали комбинированную самолигирующую брекет-систему Damon Clear/Q
Узнать больше
Подробнее о лечении:
Комбинированная брекет-система - это одновременная фиксация различных видов брекетов на верхней и нижней челюсти пациента. Керамические брекеты, повторяющие оттенок эмали зубов пациента и почти незаметные, устанавливаются на верхний зубной ряд полностью или только в зону улыбки. На нижней челюсти и жевательных зубах устанавливают металлические - более экономичные и надежные. Их все равно никто не заметит, благодаря расположению. Таким образом для пациента обеспечивается оптимальное соотношение эстетики, комфорта и скорости исправления прикуса и выравнивания зубов. Еще одно преимущество комбинированной брекет-системы: ее цена. Это лучший компромисс между доступными металлическими брекетами, и незаметными керамическими.
Damon Clear — это самолигирующие прозрачные керамические гипоаллергенные брекеты для исправления прикуса и выравнивания зубов. Эта брекет-система почти сливается с тоном эмали и практически незаметна на зубах. То, что система самолигирующая означает, что она не имеет обычных лигатур, подверженных окрашиванию. Дуга удерживается в пазе брекета специальным замком-крышкой, что делает ее одной из самых незаметных в линейке Damon. Вблизи вы их заметите, только внимательно присмотревшись к собеседнику, и то скорее из-за ортодонтических дуг. Издалека никто даже не сможет предположить, что у вас есть брекеты. Брекеты Damon Clear можно назвать идеальными, как с точки зрения эстетики, так и их воздействия на зубной ряд.
«Полный Порядок» - это стоматология для детей и взрослых, одним из основных направлений которой - экспертная ортодонтия. Клиника оснащена всем необходимым оборудованием для проведения полной диагностики сразу после консультации у профильного врача. Таким образом при первом визите пациент получает честный и объективный анализ проблемы и план лечения.
