Удаление зубов мудрости
Простое удаление зубов
Удаление ретенированных зубов
Удаление кист и гранулём
Пластика уздечки
Герметизация фиссур
Лечение кариеса без боли
Адаптация к кабинету
Ортодонтический аппарат Марко-Росса
Ортодонтический аппарат MARPE
Лицевая маска
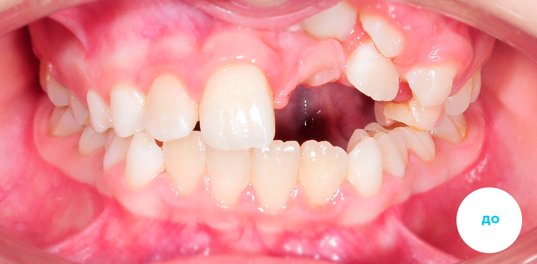
В приведенном клиническом случае ортодонты использовали частичную металлическиую самолигирующую брекет-систему Damon Q
Узнать больше
Подробнее о лечении:
Damon Q - это самолигирующие металлические брекеты, изготовленные из медицинской стали. Каждый брекет представляет собой полноценный ортодонтический механизм с заложенными в него определенными параметрами и надежным механизмом закрытия и фиксации. Самые маленькие по размеру и самые изящные среди металлических систем, использующихся для коррекции прикуса и выравнивания зубов. В сравнении с лигатурной системой, сокращают срок лечения на 4-5 месяцев гарантируя столь же безупречный результат. Прочные: даже если скоба вдруг отклеится, то с 98% вероятностью ее можно будет вернуть на место без замены.
«Полный Порядок»: стоматология для взрослых и детей, одним из ведущих направлений которой является экспертная ортодонтия. Клиника оснащена всем необходимым оборудованием для проведения полной стоматологической диагностики прямо после консультации у профильного врача. Таким образом при первом визите пациент получает объективный и честный анализ проблемы и план лечения.
