Удаление зубов мудрости
Простое удаление зубов
Удаление ретенированных зубов
Удаление кист и гранулём
Пластика уздечки
Герметизация фиссур
Лечение кариеса без боли
Адаптация к кабинету
Ортодонтический аппарат Марко-Росса
Ортодонтический аппарат MARPE
Лицевая маска
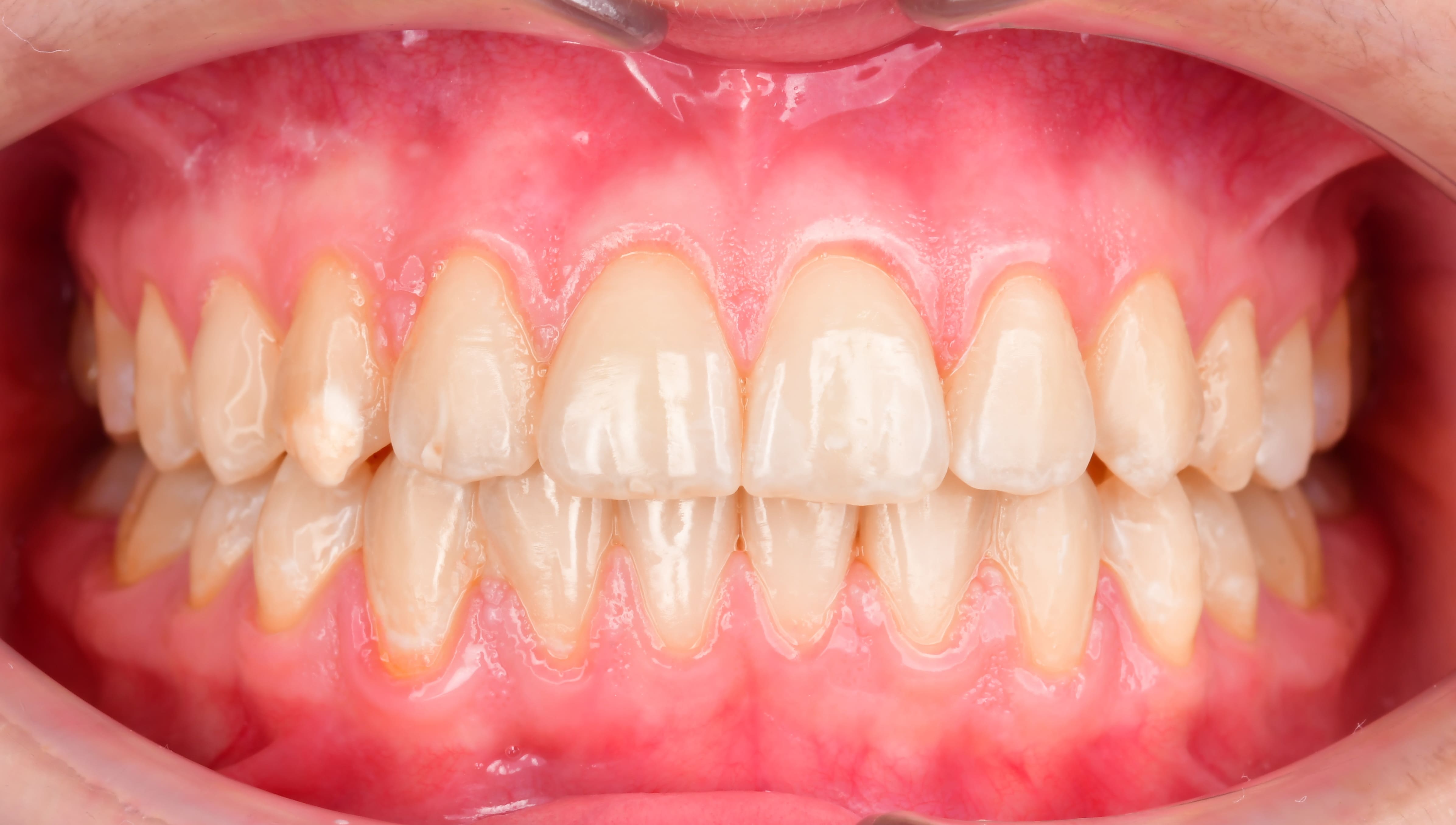
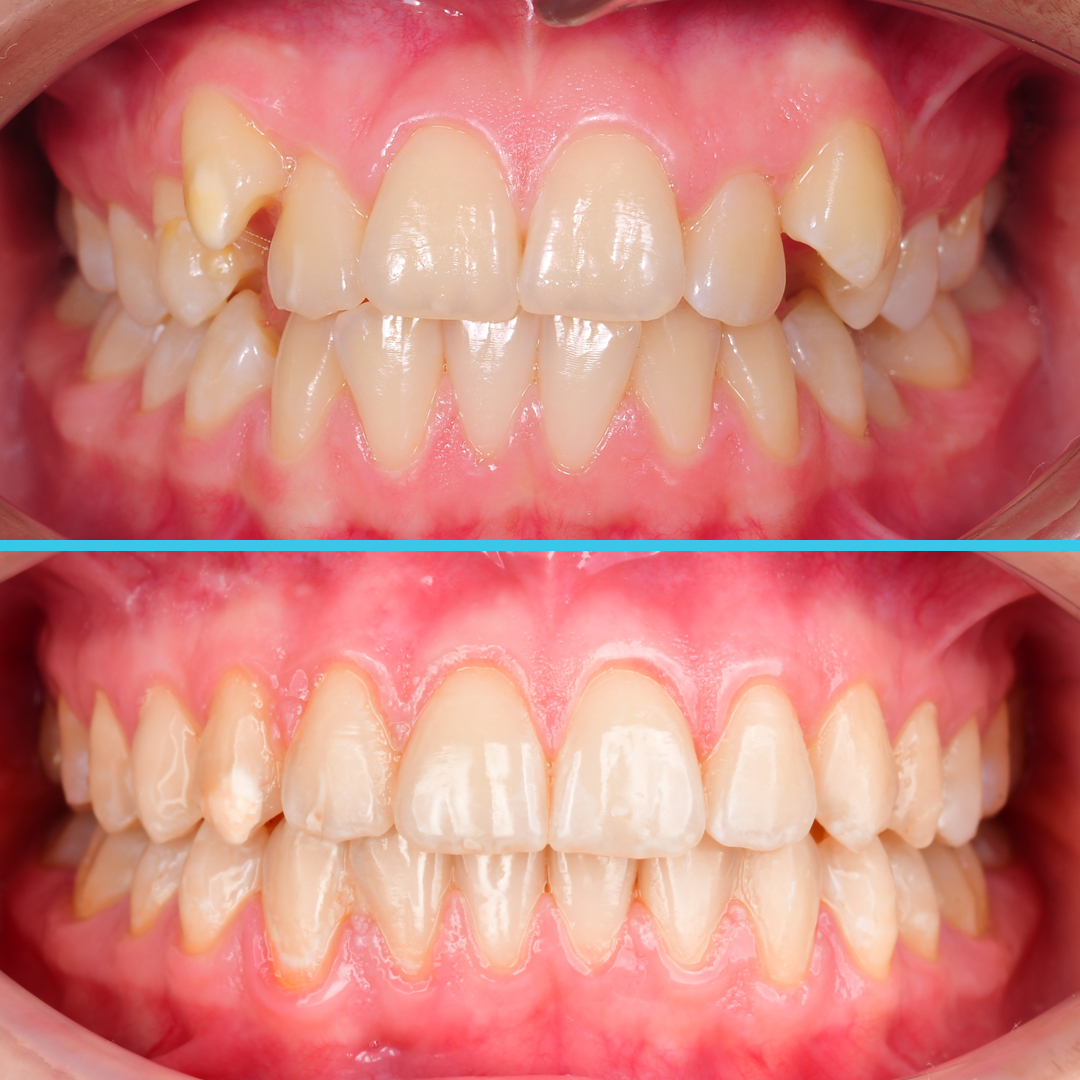
Запрос пациента: исправить неровность зубов, улучшить эстетику улыбки, выровнять зубы выступающие в сторону губы.
По диагностике:
