Удаление зубов мудрости
Простое удаление зубов
Удаление ретенированных зубов
Удаление кист и гранулём
Пластика уздечки
Герметизация фиссур
Лечение кариеса без боли
Адаптация к кабинету
Ортодонтический аппарат Марко-Росса
Ортодонтический аппарат MARPE
Лицевая маска
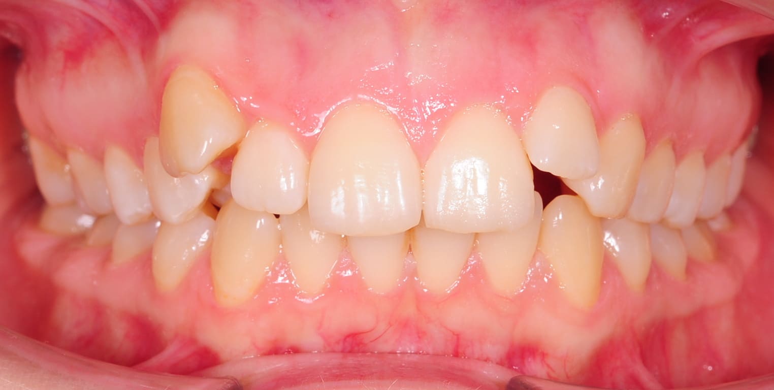
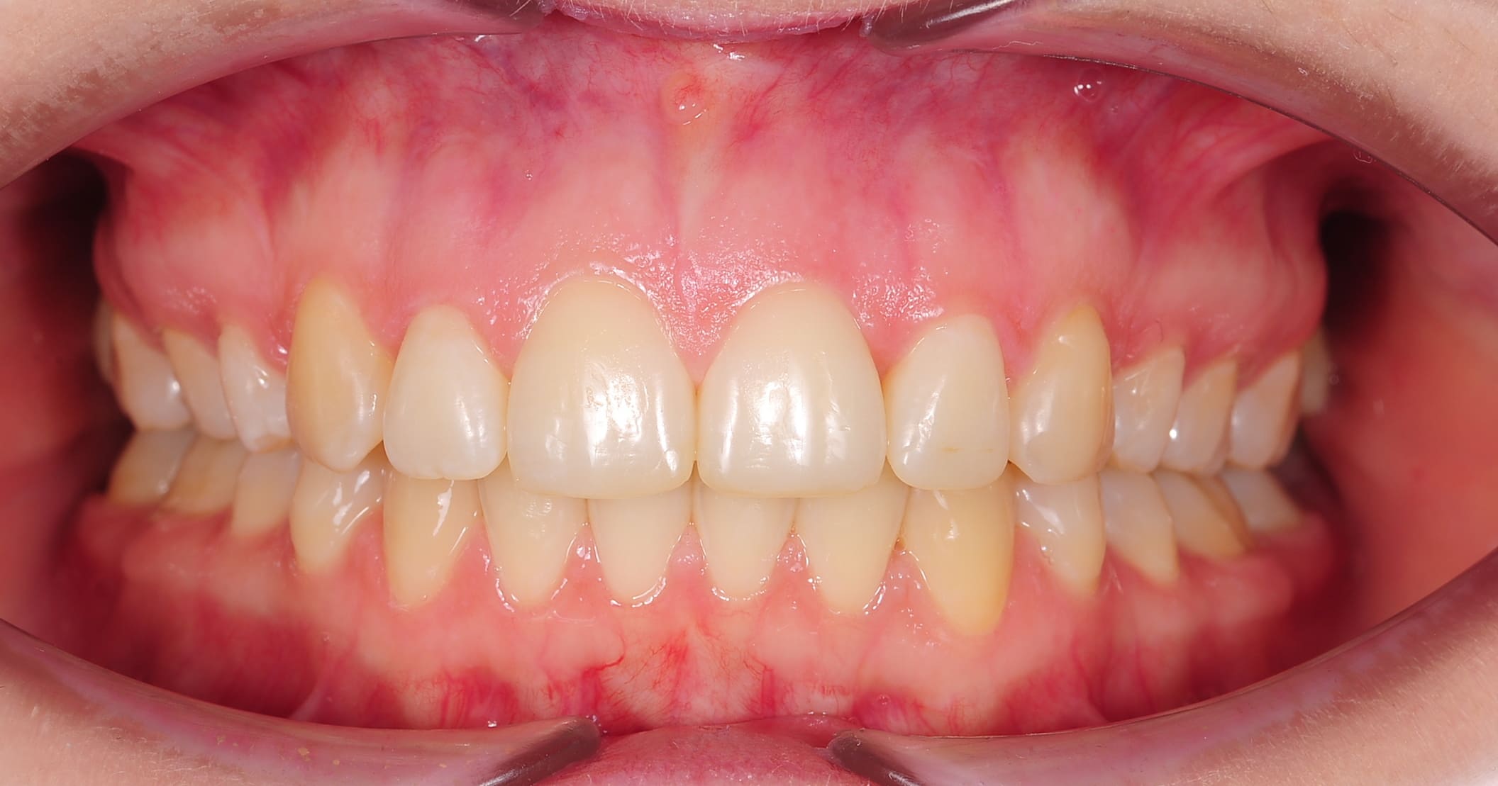
Запрос пациента: исправить неровность зубов, улучшить эстетику улыбки, выровнять зубы выступающие в сторону губы
По диагностике:
Дистальный зубоальвеолярный прикус
Что было сделано:
Было проведено лечение на брекет системе Damon Q с удалением 2ух зубов на верхней челюсти, без минивинтов, использовались межчелюстные эластики
Пациенту 34 года
Срок лечения: 2 года
