Удаление зубов мудрости
Простое удаление зубов
Удаление ретенированных зубов
Удаление кист и гранулём
Пластика уздечки
Герметизация фиссур
Лечение кариеса без боли
Адаптация к кабинету
Ортодонтический аппарат Марко-Росса
Ортодонтический аппарат MARPE
Лицевая маска
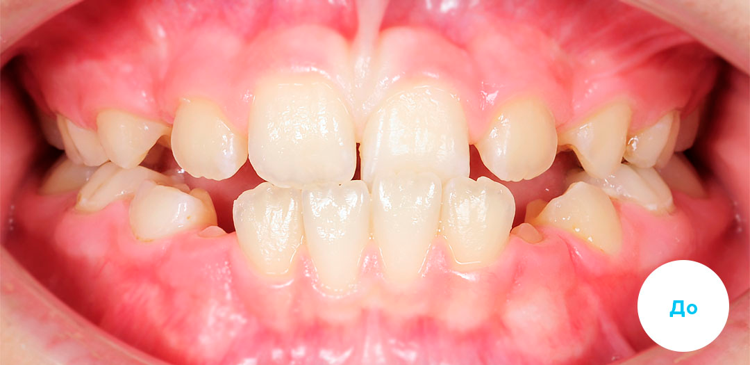
Пример раннего ортодонтического лечения ребенка. Оно проводилось на частичной брекет-системе 2×4 Damon Clear, только на верхней челюсти, поскольку был дефицит места для клыков и обратное перекрытие
Узнать больше
Подробнее о лечении:
Damon Clear - это самолигирующиеся брекеты из гиппоалергенной прозрачной керамики, использующиеся для коррекции прикуса и выравнивания зубов. Такая брекет-система практически сливается с тоном эмали и почти незаметна на зубах. То, что система самолигирующая подразумевает, что она не имеет обычных лигатур, подверженных окрашиванию. Дуга фиксируется в пазе брекета специальным замком, что делает ее одной из самых незаметных среди моделей Damon. Вблизи вы их заметите, только внимательно присмотревшись к собеседнику, и то скорее из-за ортодонтических дуг. Издалека никто даже не сможет предположить, что у вас есть брекеты. Брекеты Damon Clear можно назвать идеальными, как с точки зрения эстетики, так и их воздействия на зубной ряд.
«Полный Порядок»: стоматология для детей и взрослых, одним из основных направлений которой - экспертная ортодонтия. Клиника оснащена всем необходимым оборудованием для проведения диагностики сразу после консультации у профильного врача. Таким образом на первом приеме пациент получает объективный и честный анализ ситуации и план лечения.
