Удаление зубов мудрости
Простое удаление зубов
Удаление ретенированных зубов
Удаление кист и гранулём
Пластика уздечки
Герметизация фиссур
Лечение кариеса без боли
Адаптация к кабинету
Ортодонтический аппарат Марко-Росса
Ортодонтический аппарат MARPE
Лицевая маска
Подробнее о лечении:
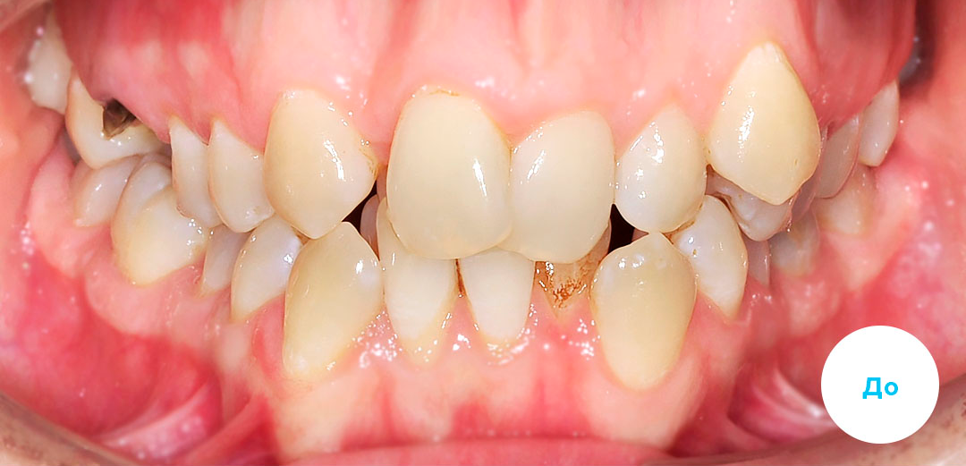
Damon Q - это самолигирующие металлические брекеты, изготовленные из медицинской стали. Каждый брекет работает как полноценный ортодонтический механизм, в котором заложены определенные параметры и надежное устройство закрытия и фиксации. Самые маленькие по размеру и самые изящные среди металлических систем, использующихся для коррекции прикуса и выравнивания зубов. По сравнению с лигатурными брекет-системами сокращают срок лечения на 4-5 месяцев обеспечивая безупречный результат. Прочные: даже если скоба вдруг отклеится, то с 98% вероятностью ее можно будет вернуть на место без замены.
«Полный Порядок» - это стоматология для взрослых и детей, одним из основных направлений которой - экспертная ортодонтия. Клиника оснащена всем необходимым оборудованием для проведения диагностики сразу после консультации у профильного врача. Таким образом при первом визите пациент получает честный и объективный анализ ситуации и индивидуальный план лечения.
