Мы на связи в Telegram

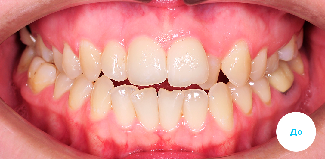
Проведена компенсация открытого прикуса

Узнать больше
Проведена компенсация открытого прикуса
Преимущество брекетов damon q
Срок лечения: 2 года 9 мес
Возраст пациента: 39 лет

Проведена компенсация открытого прикуса
Брекет-система Damon Q/Q
Стоимость лечения на 2021 год 313 000 рублей
Пациенту 39 лет
Срок лечения: 2 года 9 мес
Запишитесь на прием ортодонта
Слепки, фотопротокол, план лечения и консультация
всего за 7 500 руб
Оставьте Ваш номер телефона и мы свяжемся с Вами

Фото "до" и "после" лечения

ЛЕЧЕНИЕ ПЕРЕКРЕСТНОГО ПРИКУСА, УСТРАНЕНИЕ СКУЧЕННОСТИ ЗУБОВ. ЛЕЧЕНИЕ ПЕРЕКРЕСТНОГО ПРИКУСА, УСТРАНЕНИЕ СКУЧЕННОСТИ ЗУБОВ.
Смотреть другие результаты лечения

Команда лечащих врачей:

Ильясова Фарида Агабалаевна
Ильясова Фарида Агабалаевна
Стоматолог-терапевт, детский стоматолог
Опыт работы: 13 лет

Полный прайс-лист всех услуг в нашем разделе цены Или позвоните нам по телефону +7 (812) 416-95-04 и наши специалисты проконсультируют о стоимости всех услуг клиники!
+7 812 214 99 00 Пн-Вс: 09:00–21:00
Выберите клинику
г. Санкт-Петербург ул. Турку, д. 11, корпус 2
ул. Петрозаводская, д. 13
г. Гатчина ул. Коли Подрядчикова д. 22
Свяжитесь с клиникой
г. Санкт-Петербург, ул. Турку, д. 11, к. 2
Написать в WhatsApp
Сканируйте код для перехода в WhatsApp с телефона
Написать в Telegram
Сканируйте код для перехода в Telegram с телефона
Сменить клинику
Свяжитесь с клиникой
г. Гатчина, ул. Коли Подрядчикова д. 22
Написать в WhatsApp
Сканируйте код для перехода в WhatsApp с телефона
Написать в Telegram
Сканируйте код для перехода в Telegram с телефона
Сменить клинику