Удаление зубов мудрости
Простое удаление зубов
Удаление ретенированных зубов
Удаление кист и гранулём
Пластика уздечки
Герметизация фиссур
Лечение кариеса без боли
Адаптация к кабинету
Ортодонтический аппарат Марко-Росса
Ортодонтический аппарат MARPE
Лицевая маска
Добрый день, дорогие наши читатели) Сегодня наш пост от врача-ортодонта — Анны Карленовны МАРТИРОСЯН (@drs.martirosyan) посвящён теме кооперации пациента с врачом и роли пациента в достижении результата лечения.
Узнать большеДобрый день, дорогие наши читатели)
Сегодня наш пост от врача-ортодонта — Анны Карленовны МАРТИРОСЯН (@drs.martirosyan) посвящён теме кооперации пациента с врачом и роли пациента в достижении результата лечения.
Ортодонтическое лечение, которое по срокам всегда дольше любого иного стоматологического вмешательства, требует не только высокой квалификации врача, но и отличной кооперации со стороны пациента. И не только ортодонтическое, конечно.
Гигиена (ох, уж эта чистка зубов)
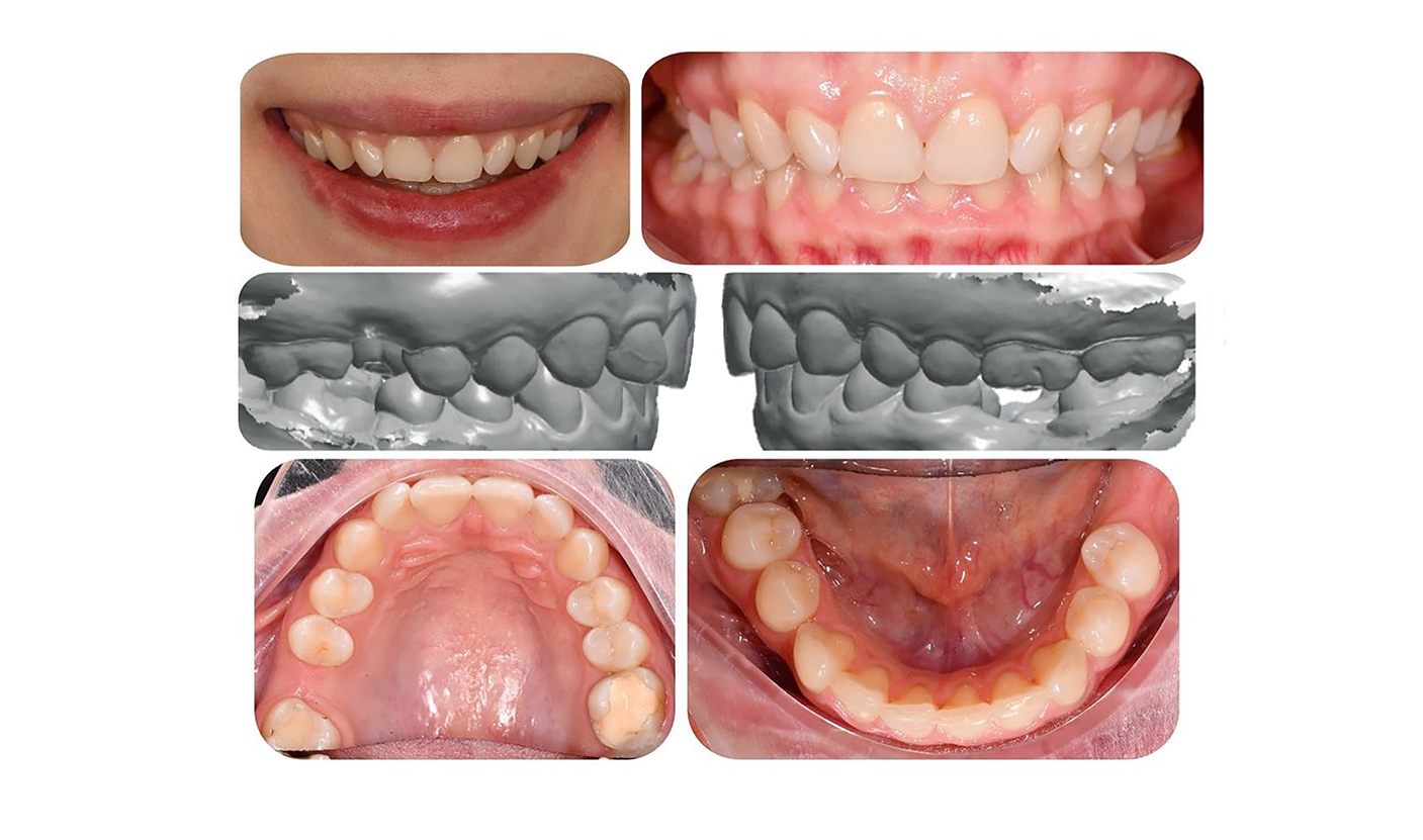
Наличие несъёмной аппаратуры в полости рта (брекеты — у взрослого или пластинка — у ребёнка) предполагает, если не безупречный, то хотя бы хороший уход за ней. Когда мы видим, что пациент начинает лениться и плохо чистит зубы (а такой этап выгорания рано или поздно наступает у большинства), мы вооружаемся неоспоримым фактом — фотографиями зубов пациента. Фотопротоколируем мы абсолютно на каждом приеме и, таким образом, имеем возможность проследить и сравнить чистоту зубов.
Камнем преткновения в таких обсуждениях иногда является непонимание пациентом, для чего нужна хорошая гигиена?
Вот основные причины:
