Мы на связи в Telegram

Что такое базальная имплантация зубов?

Базальная или моментальная имплантация зубов — это процедура, которая позволяет всего за 2-3 посещения стоматологической клиники восстановить внешний вид и функциональность зубного ряда.

fon

Помимо базальной имплантации в современной стоматологии распространены классическая и мини-имплантация зубов. Моментальная имплантация - самый неоднозначный из этих методов. Чтобы понять, почему, стоит обратиться к истории применения метода и его особенностям.

История возникновения базальной имплантации

Несмотря на то, что многие стоматологические клиники позиционируют процедуру базальной имплантации как новый метод, на самом деле, это не совсем так. Процедура появилась еще в 1982 году. В то время уже существовали зубные импланты, которые назывались корневидными. Однако перед стоматологами стояла проблема — такие конструкции не удавалось установить при недостатке костной ткани у пациентов.

Тогда французский ученый Жан-Марк Жулье предложил новую технологию установки имплантатов в глубинные слои костной ткани. На тот момент это стало единственным способом восстановить зубы людям с атрофированной челюстной костью.

Со временем выяснилось, что базальные имплантаты имеют небольшой срок службы по сравнению с корневидными. К тому же стали появляться методики по восстановлению костной ткани, сделавшие имплантацию доступнее. После их проведения удавалось успешно проводить классическую двухэтапную процедуру имплантации. Постепенно популярность базальной имплантации уменьшилась.

Ближе к 1990-ым годам Европейская ассоциация стоматологии перестала рассматривать этот метод восстановления зубов, как действенный. В это время в странах СНГ базальная имплантация, наоборот, только появилась и начала набирать популярность. Сейчас среди российских стоматологов можно встретить, как сторонников, так и противников этой процедуры.⁠

Плюсы базальной имплантации зубов

Проведение любого вида имплантации зубов, включая базальную, имеет ряд преимуществ:

Эстетика. На зубные имплантаты можно установить коронки, которые будут неотличимы от настоящих зубов;
Комфорт. После проведения имплантации и установки коронок человек чувствует себя так же, как и со своими зубами. Он может полноценно кусать и жевать любые продукты, и при этом не ощущает ни физического дискомфорта, ни посторонних привкусов, как иногда бывает при использовании протезов;
Физиологичность. Нормальное пережевывание пищи снижает риск возникновения проблем в работе желудочно-кишечного тракта. Также после установки имплантатов в процессе жевания нагрузка будет равномерно распределяться по всей челюсти. Благодаря этому челюстная кость не атрофируется. Если же вовремя не провести имплантацию, то убыль кости может повлиять на форму лица и привести к проблемам с дикцией;
Долговечность. Имплантаты для зубов имеют гарантийный срок от 15 лет и более (некоторые производители дают пожизненную гарантию). Извлекают имплантаты только в том случае, если они не прижились и началось воспаление – но риск этого крайне мал, в целом не более 5% случаев.

Базальная имплантация имеет список дополнительных плюсов, которые отличают её от классической двухэтапной процедуры:

  • Наращивание кости для имплантации зубов в большинстве случаев не потребуется, даже, если у пациента имеется атрофии костной ткани;
  • Зубной ряд можно восстановить быстро. Удаление зуба и установка импланта происходят в один день. А уже через 1-3 дня имплантаты можно постепенно нагружать. При этом пациент становится обладателем красивой улыбки. Именно поэтому популярна процедура базальной имплантации передних верхних зубов;
  • Для проведения операции не нужно делать разрез, достаточно небольшого прокола. Это избавляет от необходимости накладывать швы, снижает риск инфицирования из-за уменьшения раневой поверхности и ускоряет заживление тканей;
  • Доступная цена, которая обусловлена меньшим расходом материалов.
  • Универсальность метода — можно поставить базальные импланты на жевательные зубы, а также на передние;
  • Возможность провести имплантацию сразу же после устранения пародонтита (в случае с классической имплантацией так делать нельзя).

Имплантация позволяет вести полноценную жизнь даже тем, у кого отсутствуют все зубы. Несмотря на это, некоторые пациенты всё же откладывают операцию, опасаясь её высокой стоимости. В сети клиник «Полный порядок» мы не завышаем цены на услуги. У специалистов клиники – большой опыт восстановления зубного ряда даже в сложных случаях. Стоматологи клиник «Полный порядок» проведут имплантацию зубов под ключ недорого и профессионально.⁠

Минусы базальной имплантации

Казалось бы, базальная имплантация обладает рядом неоспоримых преимуществ. Тогда почему врачи далеко не всегда рекомендуют эту процедуру? На то есть несколько причин.

Вероятность приживления базальных имплантатов ниже и составляет 70-85%, в то время как классическая конструкция не отторгается организмом в 98-99% случаев;
Долгий и более болезненный период восстановления — две недели, а иногда и дольше;
Если нужно восстановить сразу много зубов, то из-за формы базальных имплантатов контур десны будет смотреться не совсем ровно и естественно;
Поскольку установка базальных имплантатов связана с образованием больших объемов фиброзной ткани, повышается риск их расшатывания и выпадения.
fon
Читайте также

Мини-импланты зубов: что это, виды и цены

Читать статью

Показания и противопоказания к проведению базальной имплантации

Базальная имплантация проводится по назначению лечащего врача после тщательного обследования пациента, ведь эта процедура имеет больше рисков, чем классическая двухэтапная. Стоматолог-имплантолог может предложить моментальную имплантацию в следующих случаях:

  • Отсутствие возможности восстановления костной ткани;
  • Наличие пародонтита или пародонтоза;
  • Необходимость быстро восстановить сразу 3 и более зубов.

Противопоказания к проведению базальной имплантации:

  • Наличие заболеваний, которые могут вызвать отторжение имплантатов (ВИЧ, диабет, туберкулез и некоторые другие);
  • Беременность и кормление грудью;
  • Ширина альвеолярного гребня менее 5 мм;
  • Некоторые заболевания полости рта (гранулема, пульпит, кисты, стоматит и др.)

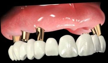
Как проводится базальная имплантация

Любая имплантация зубов – это вживление в челюстную кость имплантата, который заменяет корень зуба. Сделан такой корень из прочного материала с высокой биологической совместимостью.. Чаще всего используются титановые, чуть реже — циркониевые импланты для зубов.

Процесс вживления искусственных корней и восстановления самих зубов происходит в несколько этапов. В случае с базальной имплантацией их всего три. Обычно пациенты проходят их за 3 посещения стоматологической клиники в течение примерно одной недели.

Первый этап — это подготовка к операции. Она включает такие мероприятия:
  • Диагностика — осмотр, беседа врача с пациентом, рентгенодиагностика челюсти.
  • Профессиональная гигиена и, при необходимости, лечение зубов и полости рта. Эти процедуры необходимы, чтобы уничтожить все потенциальные источники бактерий и избежать инфицирования во время хирургического вмешательства.
  • Создание модели расположения будущих имплантатов - хирургического шаблона.
На следующем этапе проводится операция. Она проходит следующим образом:
  • Пациенту вводится анестезия.
  • Врач делает небольшой прокол в десне и аккуратно фиксирует имплантат. Как правило, этот этап длится около 1-1,5 часов.
Через 1-3 дня после операции начинается этап протезирования. Сначала врач поставит временные зубные протезы. Они прослужат пациенту 3-6 месяцев. Спустя это время произойдет полное приживление искусственных корней, и доктор установит постоянные коронки.

Виды базальных имплантатов

Базальные импланты могут иметь разную конструкцию. Выбор одной из таких конструкций зависит от конкретного клинического случая.

Дисковые базальные конструкции в современной стоматологической практике не используются, поскольку уже устарели. Они получили свое название из-за формы, напоминающей диск.
Длинные титановые стержни с резьбой. Такие имплантаты предназначены для установки в самые глубокие слои кости и подходят даже пациентам с сильной атрофией костной ткани. Благодаря выраженной резьбе конструкция надежно фиксируется в твердых тканях.
Скуловые верхние зубные импланты. Они вживляются в скуловую кость и часто используются при проведении операций по протоколу All-on-4 и All-on-6.
Компрессионные имплантаты. Обычно они устанавливаются в узкие зубные промежутки при одиночном протезировании. Имплантат вживляется одновременно в губчатую и кортикальную кость. Губчатая кость находится выше, чем кортикальная, а потому она более подвержена атрофии. Из-за этой особенности конструкция используется только при умеренном уменьшении объема челюстной кости.

Срок службы базальных имплантатов и правила ухода за ними

При правильном уходе и отсутствии осложнений срок службы базальных конструкций составляет от 20 лет, но вполне они могут простоять и всю жизнь.Уход за имплантатами начинается с первого дня их установки. В этот день необходимо следовать таким рекомендациям:

  • не есть и не пить 1-2 часа после операции;
  • в течение 1 суток после процедуры не принимать горячую ванну, избегать физических нагрузок, посещения бассейна и сауны.

В дальнейшем важно соблюдать простые правила:

  • полоскать полость рта после еды теплой водой или специальными растворами, которые порекомендует лечащий врач;
  • чистить зубы утром и вечером, используя мягкую зубную щетку;
  • проводить профессиональную гигиену полости рта, как минимум 1 раз в полгода;
  • регулярно посещать стоматолога, который сможет вовремя заметить и скорректировать изменения в области восстановленных зубов, если они возникнут.

Какие имплантаты выбрать — базальные или классические?

Итак, с одной стороны, классическая двухэтапная процедура — это наиболее распространенный и признанный во всём мире вариант восстановления зубов. С другой стороны, в некоторых клинических ситуациях более целесообразно провести именно базальную имплантацию.

Среди современных методов имплантации нельзя выделить однозначно хорошие или плохие. Только врач может подобрать технологии, которые подходят для конкретного пациента и его клинического случая. Опытные стоматологи-имплантологи клиник «Полный порядок» подберут подходящий метод восстановления зубов даже в сложных случаях.

Не стоит откладывать визит к врачу! Всего несколько посещений клиники могут вернуть здоровье и возможность свободно улыбаться.

Автор
Чернявский Александр Николаевич

Врач-стоматолог-хирург, имплантолог

Записаться
Чернявский Александр Николаевич
Акция
Бесплатная онлайн-консультация ортодонта для пациентов
Записаться на прием
Полный прайс-лист всех услуг в нашем разделе цены Или позвоните нам по телефону +7 (812) 416-95-04 и наши специалисты проконсультируют о стоимости всех услуг клиники!
+7 812 214 99 00 Пн-Вс: 09:00–21:00
Выберите клинику
г. Санкт-Петербург ул. Турку, д. 11, корпус 2
ул. Петрозаводская, д. 13
г. Гатчина ул. Коли Подрядчикова д. 22
Свяжитесь с клиникой
г. Санкт-Петербург, ул. Турку, д. 11, к. 2
Написать в WhatsApp
Сканируйте код для перехода в WhatsApp с телефона
Написать в Telegram
Сканируйте код для перехода в Telegram с телефона
Сменить клинику
Свяжитесь с клиникой
г. Гатчина, ул. Коли Подрядчикова д. 22
Написать в WhatsApp
Сканируйте код для перехода в WhatsApp с телефона
Написать в Telegram
Сканируйте код для перехода в Telegram с телефона
Сменить клинику