Удаление зубов мудрости
Простое удаление зубов
Удаление ретенированных зубов
Удаление кист и гранулём
Пластика уздечки
Герметизация фиссур
Лечение кариеса без боли
Адаптация к кабинету
Ортодонтический аппарат Марко-Росса
Ортодонтический аппарат MARPE
Лицевая маска
Установка ретейнеров - важный этап в лечении прикуса. Часто пациенты переживают из-за необходимости носить новую конструкцию. Однако, большинсттво опасений вызваны мифами, которые не имеют ничего общего с реальностью
Зубочелюстная система адаптируется к неправильному прикусу и перестраивается под него. Мышцы челюстей приучаются к неправильным паттернам работы, коллагеновые связки. Установка невидимых брекетов, классических брекет-систем или других ортодонтических аппаратов помогают вернуть зубам и челюстям физиологичное положение. Коллагеновые связки, которые фиксируют зуб, при этом разрушаются.
На то, чтобы сформировались новые связки, а зубочелюстная система перестроилась, требуется время. Этот период «переучивания» называется ретенционным периодом. Он занимает от 6 месяцев до 3-4 лет.
Ортодонтическое лечение может проводиться с использованием самых разных аппаратов на зубы для исправления прикуса. Если пациент хочет надолго сохранить результаты лечения, без периода ретенции не обойтись. Нельзя просто снять аппарат и вернуться к привычной жизни. В этом случае зубы постепенно снова сместятся, а мышцы челюсти и лица вернутся к привычному нефизиологичному режиму работы.
Ортодонтический аппарат, который помогает удерживать зубы в новом для них положении, называется ретейнером. Врач может порекомендовать применение как несъемного ретейнера, так и съемных конструкций (капы для выравнивания зубов) – в Санкт-Петербурге врачи делают выбор, исходя из клинической ситуации и показаний.
Пациентам важно следовать рекомендациям специалистов – только в этом случае ортодонт может гарантировать сохранение результата.
Выделяют следующие виды съемных ретенционных аппаратов:
Двухчелюстные аппараты применяют для того, чтобы зафиксировать результат после исправления глубокого прикуса у взрослых. Применяется он и в других случаях, когда основной проблемой была несоразмерность челюстей.
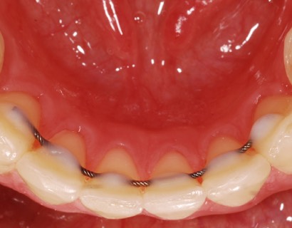
Несъемная ретенционная конструкция представляет собой тонкую, почти незаметную проволоку из специального сплава. Ее крепят на язычную (внутреннюю) сторону зубов. Проволока изготавливается из биологически инертного сплава, не вызывающего аллергических реакций.
Не всегда пациенты готовы дисциплинированно носить ретейнеры. Есть ряд страхов и мифов, которые озвучивают пациенты Санкт-Петербурга на консультации ортодонта. Попробуем разобраться в самых распространенных мифах.
Удивительно, что некоторые пациенты, потратив на исправление мезиального прикуса много месяцев, в последний момент отступают. Они считают, что ношение ретейнера ухудшает состояние зубов, что это дорого неудобно. Но так ли это? Разоблачим мифы!
Часто пациенты боятся, что ретенционный аппарат может испортить зубы или вызвать воспаление десен. Но этот страх не имеет реальных оснований. Кариес может вызвать длительный контакт зубного налета с эмалью – в мягких отложениях разрушаются бактерии, которые действительно могут разрушить эмаль. Чтобы этого не происходило, пациентам нужно чистить зубы 2-3 раза в день, и раз в полгода приходить на профессиональную гигиену. Врач удалит отложения в тех зонах, которые невозможно очистить самостоятельно.
Однако ни несъемный ретейнер, ни, тем более, съемный не мешают чистить зубы. Установку несъемного аппарата рекомендуется производить после гигиены. Между ретейнером и эмалью не остается бактериального налета, который мог бы вызвать кариес или воспаление. А потому его установка абсолютно безопасна для эмали.
Этот миф возник из-за путаницы. Существуют ортодонтические капы (прозрачные брекеты), которые используются для исправления прикуса, а также ретенционные капы. Стоимость прозрачных брекетов действительно относительно высока – они изготавливаются индивидуально, на заказ, и доставляются из-за границы. А вот цена ретенционных кап вполне доступна. Невысока и стоимость установки постоянного ретейнера.
В продаже можно найти готовые ретейнеры. Но применять их для фиксации положения зубов после ортодонтического лечения не стоит. В отличие от аппарата, подобранного врачом, готовый ретейнер не будет так плотно прилегать к зубам, а потому в лучшем случае эффекта от их ношения не будет. В худшем же готовый аппарат будет оказывать давление на отдельные зубы, ухудшая прикус.
Несъемные аппараты изготавливаются из тонкой проволоки и плотно прилегают к зубам. Вот почему на привыкание почти не требуется времени – уже через день пациент забывает об аппарате. Чуть больше времени требуется на привыкание к съемным двухчелюстным аппаратам для дневного ношения. Однако и к нему пациенты привыкают буквально за несколько дней.
Несъемный аппарат не требует изменения образа жизни и соблюдения специальной диеты. Единственное, чего стоит избегать – откусывать жесткое мясо, овощи, фрукты. Из-за этого прочность фиксации может нарушиться. Но, в целом, ношение ретенционных аппаратов требует значительно меньших ограничений, чем ношение брекетов. Поэтому обычно оно переносится проще психологически, даже если аппарат приходится носить долго.
Особых затруднений те, кто носят ретейнеры, не испытывают. При ношении несъемного аппарата зубы чистятся так же, как обычно. Однако тем, кто их носит, рекомендуется применять ирригатор. Он нужен, чтобы удалить частички пищи, которые могут задерживаться между зубов. Использовать зубную нить при ношении несъемного ретейнера может быть затруднительно. Несъемные аппараты нужно хранить в специальном кейсе, периодически промывать под водой, а также раз в сутки помещать в антисептический раствор.
Если ретейнер носится долго, его фиксация действительно может нарушаться. Но даже если он отклеится – его не потребуется менять на другой. Врач просто приклеит ретейнер обратно. Впрочем, случаи, когда несъемный аппарат отклеивается полностью, крайне редки.
Ретенционный период – такая же важная часть ортодонтического лечения, как собственно исправление прикуса. Вот почему так важно не отказываться от ношения аппарата, который выберет врач. Это делается для того, чтобы красивая улыбка, которую удалось приобрести в процессе лечения, осталась с пациентом надолго.
В этот период важно четко соблюдать рекомендации врача. Не нужно самостоятельно сокращать сроки ношения съемных аппаратов. Также важно соблюдать правила гигиены, чтобы сохранить здоровье десен и зубов.
В стоматологиях «Полный порядок» г. Санкт-Петербург у врачей-ортодонтов огромный практический опыт по исправлению самых разных патологий прикуса. Мы знаем, как сохранить результат лечения надолго, и даем десятилетнюю гарантию сохранения результата (при условии выполнения рекомендаций). Ортодонты клиник «Полный порядок» работают, чтобы вы чаще улыбались!
