Удаление зубов мудрости
Простое удаление зубов
Удаление ретенированных зубов
Удаление кист и гранулём
Пластика уздечки
Герметизация фиссур
Лечение кариеса без боли
Адаптация к кабинету
Ортодонтический аппарат Марко-Росса
Ортодонтический аппарат MARPE
Лицевая маска
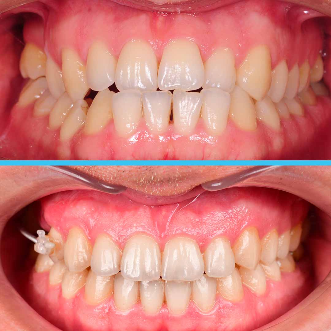
Пациент обратился жалобами на отсутствие зубов и необходимость протезирвоания. Но как это бывает если после удаления долго не замещался дефект в области отсутствующего зуба, перед протезированием потребовалось ортодонтичсекое лечение.
А также пациент обладал неправильным мезиальным прикусом, поэтому было принято решение заняться им и привести в порядок всё, потому что, как говорится, хорошая ортодонтия должна быть 1 раз в жизни. Профиль пациента не беспокоил, поэтому действовали только на уровне зубов.
В ходе лечения было создано правильное перекрытие зубов в переднем отделе, пациент подготовлен к протезированию - создано место для имплантации в позиции зубов 1.6 и 1.5.
Пациент принял решение лечиться на эстетической системе.
Система элайнеры Insignia Clear/Q
Стоимость лечения на 2022 год 320 тыс.руб
Пациенту 36 лет
Срок лечения: 2 года 11 мес
