Мы на связи в Telegram

Информация о квалификации

Образование

Стоматологический факультет СПбГМУ им. акад. И.П. Павлова
Диплом 107824 5214197 от 2020
Ординатура ФГБОУ ВО СЗГМУ им. И.И. Мечникова
Специальность Ортодонтия
Диплом № 107827 012391

Повышение квалификации

Сертификат специалиста 772300318855, регистрационный номер 2602 от 17.12.2020

Сведения о прохождении аккредитации специалиста уникальный номер реестровой записи 2022.4171259 от 24.10.2022

Дополнительное обучение

  • «Первый уровень. Как грамотно начать лечение», Школа ортодонтии, 07-10.10.2021;
  • «Второй уровень. Брекеты и элайнеры - рабочие инструменты ортодонта», Школа ортодонтии, 18-21.11.2021; Сертификация «Флексы, как прогрессивный метод лечения в современной ортодонтии», Flexi Ligner, 03.10.2021
  • «Шинотерапия в ортодонтии и дисфункция ВНЧС», Фролов А.О., 2022 г.
  • «Damon System. финансово обоснованные решения для эффективной клинической практики.» ORMCO, 2021
  • 2023 г. Ormco, Дьячкова Я.Ю. Полная диагностика дисфункций ВНЧС в ортодонтической практике. Модуль 1
  • Лечение и профилактика дисфункций ВНЧС. Модуль 2, 2023, Я.Ю.Дьячкова
  • Лечение вертикальных и саггитальных аномалий у взрослых 2023 Школа ортодонтии
  • Решение главных задач: центр, дефицит, первый класс. 2024 Школа ортодонтии
  • Минивинты в ортодонтии. Сплав металла и интеллекта. 2023 Школа ортодонтии
  • Ошибки и осложнения в ортодонтии. Как не допускать и как исправлять? 2024 Школа ортодонтии
  • Лечение детей. Все о вертикальных проблемах и 2 классе. 2023 г.

Работы специалиста

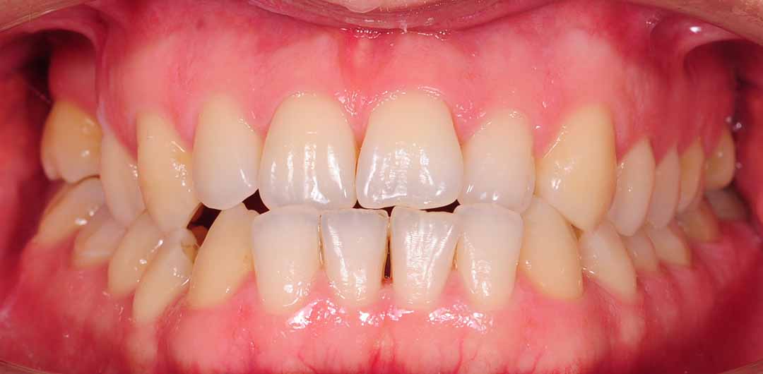
До После до
после
Коррекция мезиального прикуса с ЧЛХ
Срок лечения 28 мес
Подробнее
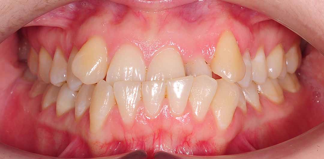
До После до
после
Коррекция мезиального прикуса и создание места для протезирования в области зубов 1.6 и 1.5
Срок лечения 2 года 11 мес
Подробнее
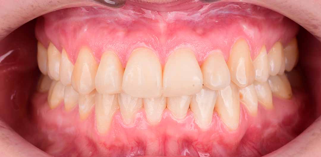
До После до
после
Исправление скученности на элайнерах
Срок лечения 1,5 года
Подробнее
До После до
после
Лечение дистальной окклюзии
Срок лечения 3 года
Связанные услуги
Подробнее
До После до
после
Лечение 3 класса с удалением 4х премоляров
Срок лечения 32 мес
Связанные услуги
Подробнее
До После до
после
ЛЕЧЕНИЕ СКУЧЕННОСТИ ЗУБОВ НА БРЕКЕТ СИСТЕМЕ INSIGNIA CLEAR/Q
Срок лечения 16 месяцев
Подробнее
До После до
после
ЛЕЧЕНИЕ ПОЛНОГО 2 КЛАССА С ИСПОЛЬЗОВАНИЕМ МИКРО-ИМПЛАНТАТОВ.
Срок лечения 3 года
Связанные услуги
Подробнее

Отзывы пациентов

Лечусь уже давно в этой клинике , давольно результатом ❤️❤️❤️

08.10.2025

Были с дочкой у ортодонта. Специалисты на высшем уровне. Очень понравилось обслуживание. Персонал улыбчивый, отзывчивый. Всё объяснили, показали. Да ещё и чай, кофе бесплатно. Вышли из поликлиники в хорошем настроении.

16.08.2025

Я Белоусов Василий. Большая благодарность врачам Алексею Анатольевичу и Элине Николаевне, исправили прикус, был сложный случай. Другие клинике в моем городе отказались работать, т.к. было сложно, но тут помогли. От себя рекомендую.

15.05.2025

Проходила лечение на брекет-системе у Иванова Алексея Анатольевича совместно с Якубовской Элиной Николаевной с 2022 по 2024 год. Очень довольна результатом лечения! Приемы начинались всегда вовремя, врач рассказывала об этапах лечения и о том, чего стоит ожидать, охотно отвечала на все заданные вопросы. Всегда очень аккуратно проводила осмотры и манипуляции в полости рта, никогда не…

04.02.2024
Все отзывы

Лицензии и сертификаты

+7 812 214 99 00 Пн-Вс: 09:00–21:00
Выберите клинику
г. Санкт-Петербург ул. Турку, д. 11, корпус 2
ул. Петрозаводская, д. 13
г. Гатчина ул. Коли Подрядчикова д. 22
Свяжитесь с клиникой
г. Санкт-Петербург, ул. Турку, д. 11, к. 2
Написать в WhatsApp
Сканируйте код для перехода в WhatsApp с телефона
Написать в Telegram
Сканируйте код для перехода в Telegram с телефона
Сменить клинику
Свяжитесь с клиникой
г. Гатчина, ул. Коли Подрядчикова д. 22
Написать в WhatsApp
Сканируйте код для перехода в WhatsApp с телефона
Написать в Telegram
Сканируйте код для перехода в Telegram с телефона
Сменить клинику