Удаление зубов мудрости
Простое удаление зубов
Удаление ретенированных зубов
Удаление кист и гранулём
Пластика уздечки
Герметизация фиссур
Лечение кариеса без боли
Адаптация к кабинету
Ортодонтический аппарат Марко-Росса
Ортодонтический аппарат MARPE
Лицевая маска
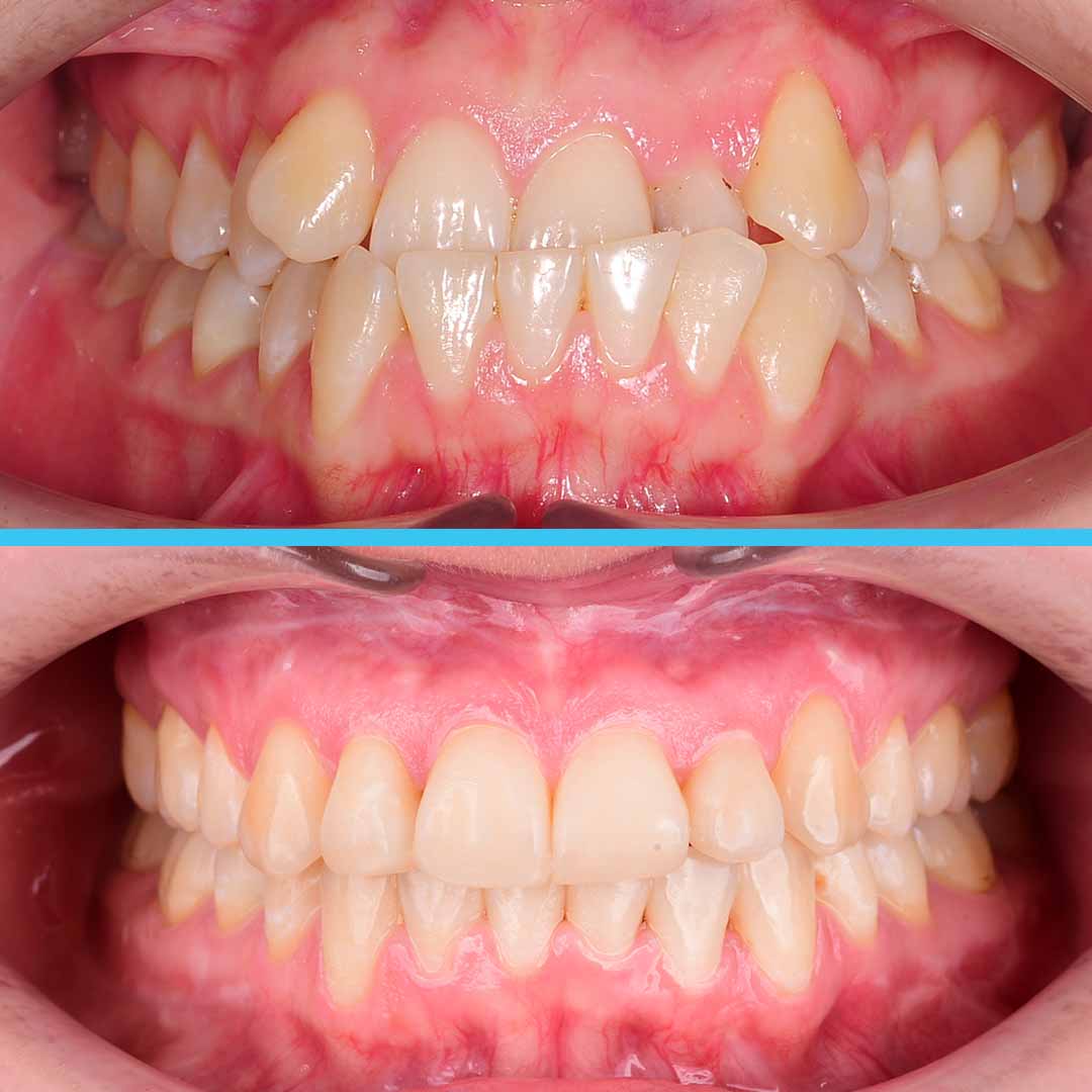
Пациентка обратилась жалобами на обратное перекрытие в области передних зубов. Но ситуация оказалась более сложной. Скученность зубов на верхней челюсти в переднем отделе была экстремальной. Без удаления такой дефицит места решить не представлялось возможным. А несоответствие размеров челюстей говорило нам о том, что наилучшим способом решения такого сложного клинического случая будет комбинированное лечение.
Таким образом, проблема дефицита места на верхней челюсти решалась удалением зубов 1.4 и 2.4, а скелетный мезиальный прикус при помощи челюстно-лицевой хирургической операцией.
Благо, пациентка, будучи медиком, ничего не боялась.
Пациент принял решение лечиться на эстетической системе.
Брекет-система Damon Q/Q
Стоимость лечения на 2021 год 277 тыс.руб
Челюстно-лицевой хирург: Койстрик А.С
Пациенту 23 года
Срок лечения: 28 мес
