Удаление зубов мудрости
Простое удаление зубов
Удаление ретенированных зубов
Удаление кист и гранулём
Пластика уздечки
Герметизация фиссур
Лечение кариеса без боли
Адаптация к кабинету
Ортодонтический аппарат Марко-Росса
Ортодонтический аппарат MARPE
Лицевая маска
Аппаратура — твин блок для коррекции дистального прикуса, далее лм активатор для закрепления результата
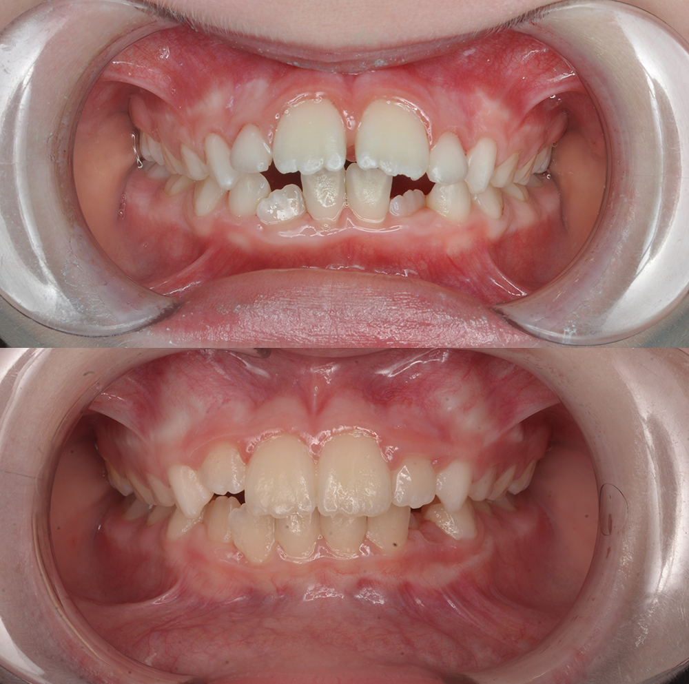
Направлена логопедом для коррекции прикуса
1 этап 12 месяцев на съемной пластинке твин блоке.
Достигли уменьшения сагиттальной щели
2 этап 12 месяцев лм активатор
Пациенту 6 лет
Срок лечения: 12 месяцев — твин блок, 12 месяцев ЛМ активатор
