Мы на связи в Telegram

Информация о квалификации

Образование

Федеральное государственное бюджетное военное образовательное учреждение высшего образования «Военно-медицинская академия имени С.М.Кирова» Министерства обороны Российской Федерации, г. Санкт-Петербург
Диплом № 107827 0008221
Регистрационный № 7/159 от 30.06.2020
Специальность Стоматология
Федеральное государственное бюджетное военное образовательное учреждение высшего образования «Военно-медицинская академия имени С.М.Кирова» Министерства обороны Российской Федерации, г. Санкт-Петербург
Диплом № 107827 011087
Регистрационный № 7/103 от 10.06.2022
Специальность Ортодонтия

Повышение квалификации

Федеральное государственное бюджетное военное образовательное учреждение высшего образования «Военно-медицинская академия имени С.М.Кирова» Министерства обороны Российской Федерации, г. Санкт-Петербург. Первичная специализированная аккредитация по специальности ортодонтия от 17.06.2022г.

Дополнительное обучение

  • Форум «Ортодонт эксперт 2019», г. Москва, 5-6 апреля 2019г.
  • Семинар «Первые шаги к успешному лечению: диагностика, планирование, выбор прописи, позиционирование. Первый уровень». Тихонов С.В. «Школа ортодонтии», г. Москва, 16-19 мая
  • Семинар «Этапы лечения самолигирующей брекет-системой: от первой дуги до завершения. Второй уровень». Тихонов С.В. «Школа ортодонтии», г. Санкт-Петербург, 20-23 марта
  • «Несъемное протезирование на имплантах, ортодонтическая подготовка к протезированию», г. Томск
  • Семинар «Углубленное понимание принципов работы самолигирующей брекет-системы. Третий уровень». Тихонов А.В. «Школа ортодонтии», г. Санкт-Петербург, 19-22 февраля
  • «Имплантация. Цифровой протокол»,г. Санкт-Петербург
  • Семинар «Лечение различных аномалий прикуса с использованием самолигирующей брекет-системы. Четвертый уровень». Тихонов А.В. «Школа ортодонтии», г. Москва, 15-18 апреля
  • Курс сертификации «Флексы как прогрессивный метод лечения в современной ортодонтии». Иванова Е.Л. Flexiligner, 19 ноября
  • Семинар «Ортодонтическое лечение детей и подростков». Ортодонт-эксперт. Тихонов С.В., г. Санкт-Петербург, 29-31 июля
  • Семинар «Лечение различных аномалий прикуса с использованием самолигирующей брекет-системы. Четвертый уровень». Тихонов А.В. «Школа ортодонтии», г. Москва, 15-18 апреля
  • Семинар «Ортодонтическое лечение детей и подростков». Ортодонт-эксперт. Тихонов С.В., г. Санкт-Петербург, 29-31 июля
  • Семинар «Лечение различных аномалий прикуса с использованием самолигирующей брекет-системы. Четвертый уровень». Тихонов А.В. «Школа ортодонтии», г. Москва, 15-18 апреля
  • Обучение «Работа со сканером Medit. Базовые принципы создания 3D модели. Работа с ПО. Мануальные навыки сканирования.» Учебный центр «АПЕКС». Кутуев Р.А.
  • Семинар «Ошибки и осложнения в ортодонтии. Как не допускать и как исправлять?». Ортодонт-эксперт. Тихонов А.В., г. Санкт-Петербург, 9-11 ноября 2024 г.

Работы специалиста

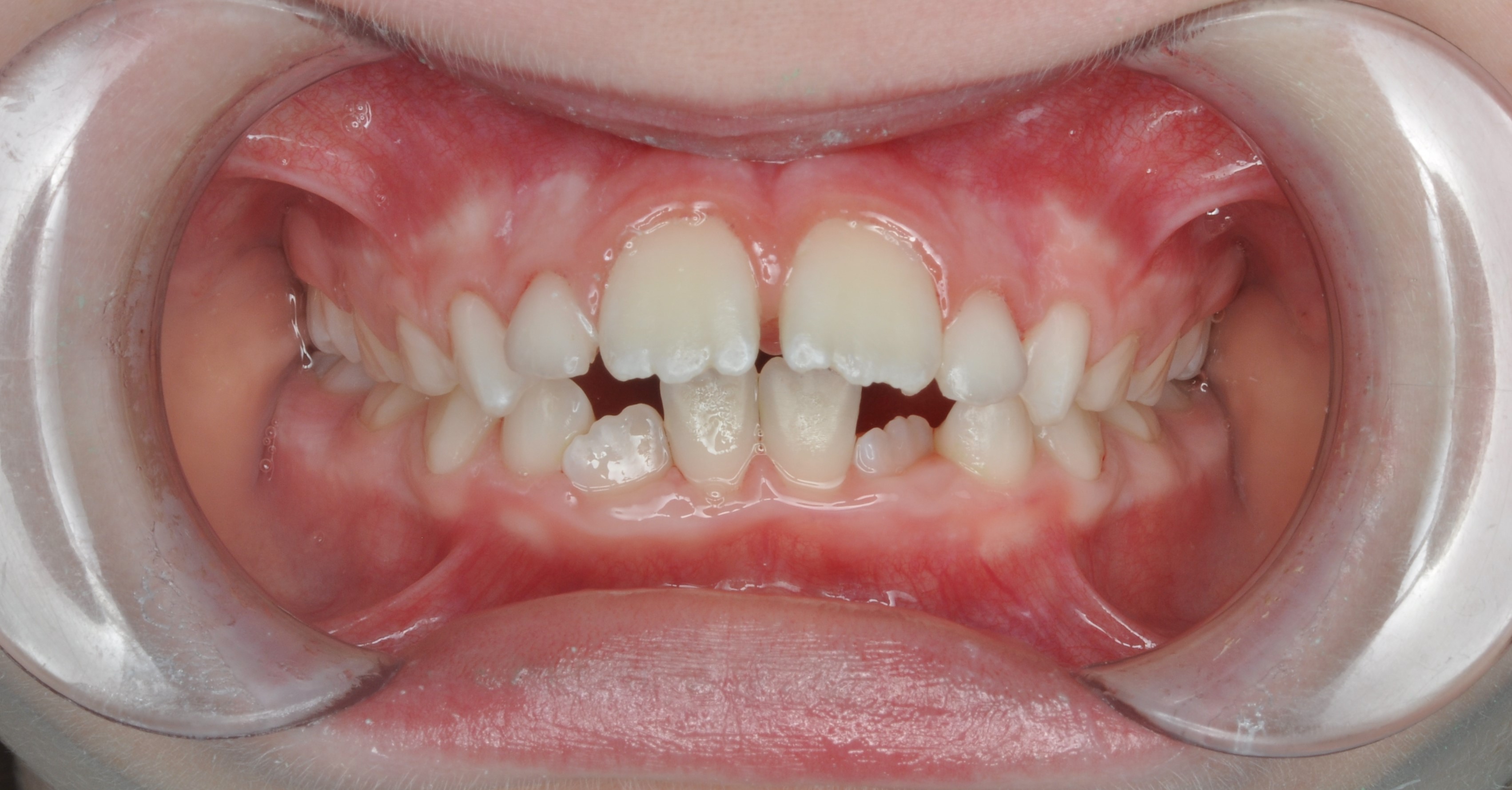
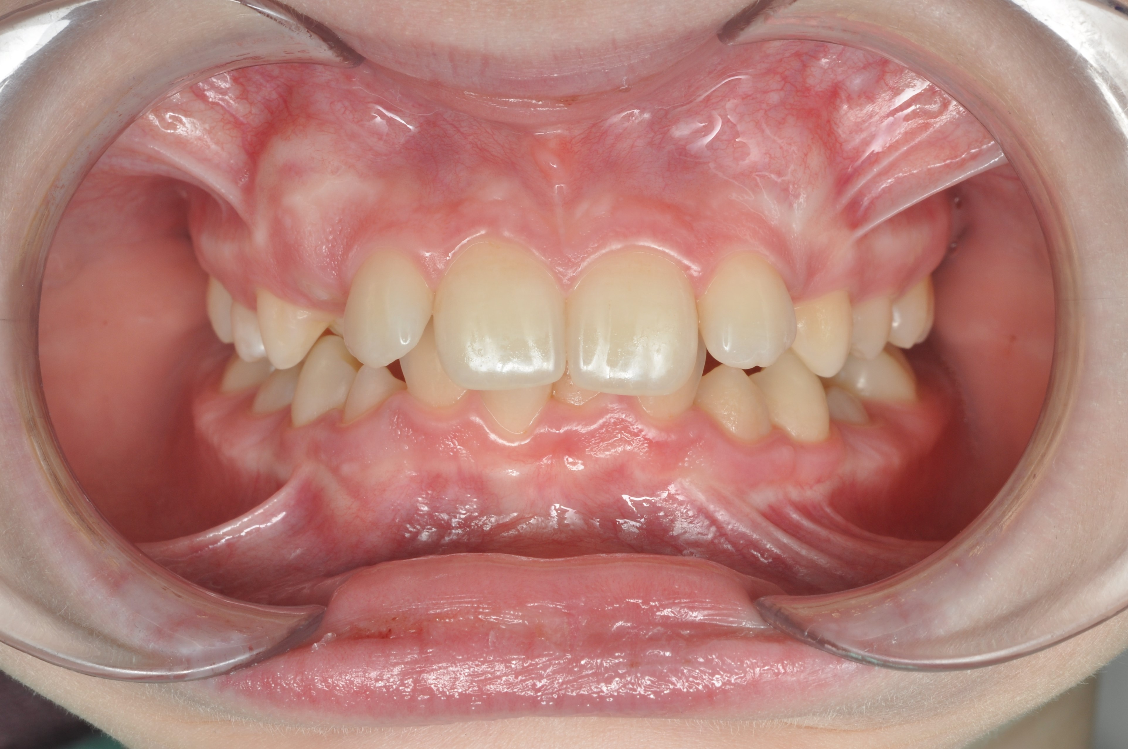
До После до
после
Произведено расширение верхней челюсти, создание места для 23 зуба
Срок лечения 10 месяцев
Связанные услуги
Подробнее
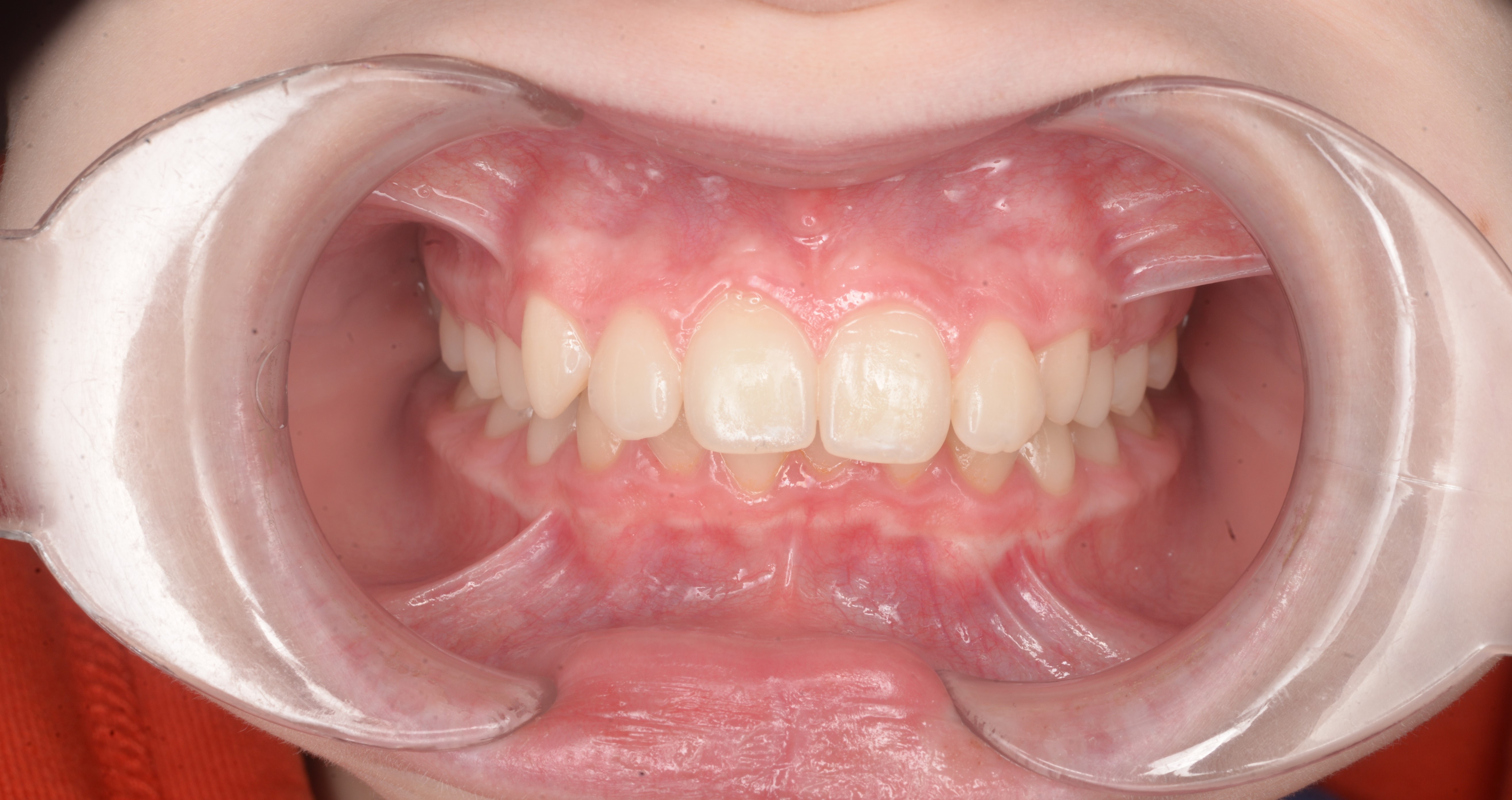
До После до
после
Произведена коррекция глубокого, дистального прикуса
Срок лечения 22 месяца
Связанные услуги
Подробнее
До После до
после
Коррекция открытого прикуса, закрепление результата
Срок лечения 12 месяцев — твин блок, 12 месяцев ЛМ активатор
Подробнее
До После до
после
Ортодонтическое лечение подростка металлическими брекетами на 1 челюсти и аппаратом Гербста
Срок лечения лечение продолжается в настоящий момент
Подробнее
До После до
после
Глубокий прикус
Срок лечения 21 месяц
Связанные услуги
Подробнее
До После до
после
Лечение обратного перекрытия
Срок лечения 15 месяцев: от диагностики до завершения
Связанные услуги
Подробнее
До После до
после
Мезиальный прикус с обратным перекрытием
Срок лечения 6 месяцев на момент фото После, продолжается
Подробнее

Отзывы пациентов

Очень отличные специалисты! Качество лечение на высшем уровне, даже сложный случай их не испугал и было предложено несколько вариантов ортодонтического лечение! Дочь очень счастлива видеть уже красивую улыбку в зеркале и на фотографиях улыбается а не сжимает губы как было раньше. Спасибо огромное нашему ортадонту Кисляковой И.В за ее труд и умение делать красивые улыбки

11.10.2025

Приходил с дочерью к доктору ортодонту Кисляковой, всё подробно объяснила, ответила на все вопросы. Однозначно будем ставить брекеты в этой клинике

04.11.2024

Спасибо большое за чуткость и внимание к пациентам всему персоналу клиники и, в частности, доктору Кисляковой И. В. Во время процедуры комментирует каждое свое действие, чтобы пациент не испытывал дискомфорт. Все на высоком профессиональном уровне.

07.10.2024
Все отзывы

Лицензии и сертификаты

+7 812 214 99 00 Пн-Вс: 09:00–21:00
Выберите клинику
г. Санкт-Петербург ул. Турку, д. 11, корпус 2
ул. Петрозаводская, д. 13
г. Гатчина ул. Коли Подрядчикова д. 22
Свяжитесь с клиникой
г. Санкт-Петербург, ул. Турку, д. 11, к. 2
Написать в WhatsApp
Сканируйте код для перехода в WhatsApp с телефона
Написать в Telegram
Сканируйте код для перехода в Telegram с телефона
Сменить клинику
Свяжитесь с клиникой
г. Гатчина, ул. Коли Подрядчикова д. 22
Написать в WhatsApp
Сканируйте код для перехода в WhatsApp с телефона
Написать в Telegram
Сканируйте код для перехода в Telegram с телефона
Сменить клинику