Удаление зубов мудрости
Простое удаление зубов
Удаление ретенированных зубов
Удаление кист и гранулём
Пластика уздечки
Герметизация фиссур
Лечение кариеса без боли
Адаптация к кабинету
Ортодонтический аппарат Марко-Росса
Ортодонтический аппарат MARPE
Лицевая маска
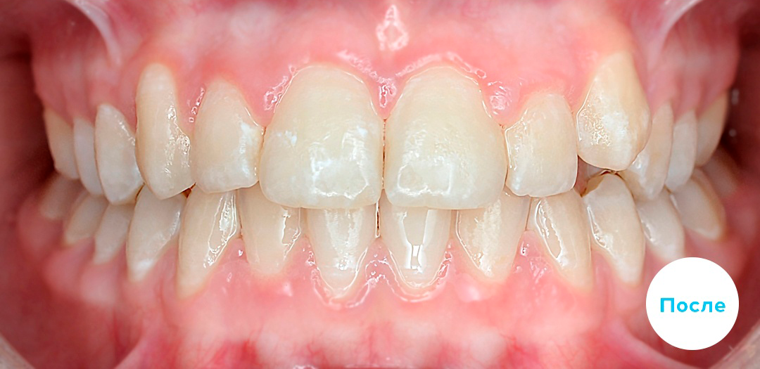
Вот так выглядит формирование мезиального прикуса с обратным перекрытием. На момент диагностики этому пациенту было всего 13 лет. При помощи частичной брекет-системы все встало на свои месте за 6 месяцев. Рост челюстей теперь идет уже в правильном русле, а лечение продолжается.
Узнать больше
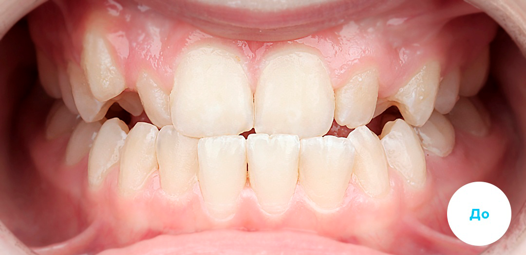
Выраженное обратное перекрытие, и места для прорезывания вторых резцов и клыков не хватает. Если все оставить так, как есть, то получим скелетно сформированный мезиальный обратный прикус, избавиться от которого будет сложно без комбинированного лечения, и уже — скорее всего, с хирургией.
Частичная брекет-система на базе металлических самолигирующих брекетов Damon Q2 на ВЧ.
Стоимость лечения — 69 тыс. руб. (на 2023 год).
Пациенту 11 лет на момент диагностики
Срок лечения: 15 месяцев: от диагностики до завершения
