Удаление зубов мудрости
Простое удаление зубов
Удаление ретенированных зубов
Удаление кист и гранулём
Пластика уздечки
Герметизация фиссур
Лечение кариеса без боли
Адаптация к кабинету
Ортодонтический аппарат Марко-Росса
Ортодонтический аппарат MARPE
Лицевая маска
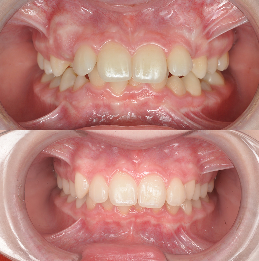
Произведено расширение верхней челюсти, создание места для 23 зуба
Аппаратура — частичная брекет- система для создания места для клыков на верхней челюсти
Жалобы - дефицит места для постоянного клыка слева
Пациенту 10 лет на момент лечения
Срок лечения: 10 месяцев
