Удаление зубов мудрости
Простое удаление зубов
Удаление ретенированных зубов
Удаление кист и гранулём
Пластика уздечки
Герметизация фиссур
Лечение кариеса без боли
Адаптация к кабинету
Ортодонтический аппарат Марко-Росса
Ортодонтический аппарат MARPE
Лицевая маска
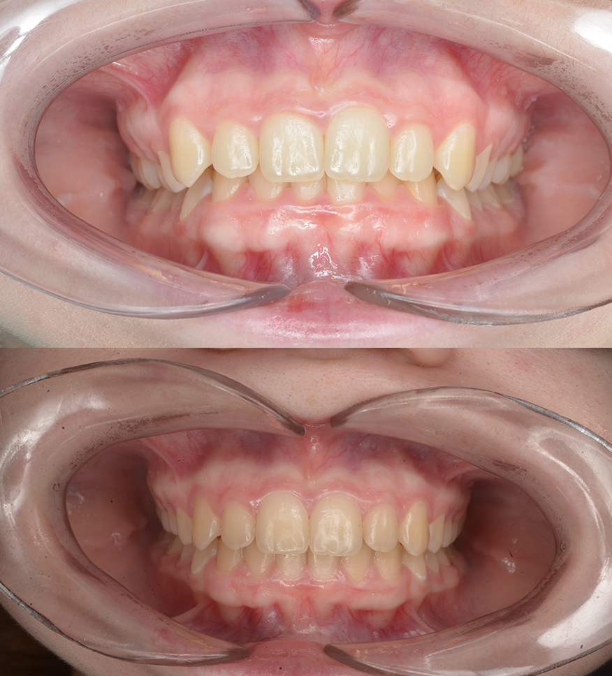
Аппаратура — брекет-система Damon Q2
Жалобы - неровные зубы, неправильный прикус
Пациенту 14лет
Срок лечения: 22 месяца
