Мы на связи в Telegram

Информация о квалификации

Образование

Самарский государственный медицинский университет (СамГМУ), г. Самара
Диплом № 106324 42415115
Специальность Врач-стоматолог

Повышение квалификации

Диплом об окончании ординатуры №106304 00430, специальность «Врач-ортодонт», Самарский государственный медицинский университет.

Свидетельство об аккредитации специалиста №770400271160, специальности «Стоматология общей практики» и «Ортодонтия».

Дополнительное обучение

  • Диплом 2 степени за проект «Лекторий по здоровью АПТЕКА» в направлении «Наука и образование» Молодежного форума Приволжского федерального округа «iВолга» 31 июля 2019, Самарская область.
  • Патент на полезную модель №155041 «Стоматологический тренажер для освоения техники пломбирования каналов корней однокорневых зубов».
  • Патент на полезную модель №161072 «Светодиодное устройство для лечения тканей пародонта».
  • Сертификат за участие в симпозиуме «Современные аспекты стоматологии» в рамках конференции «Актуальные вопросы стоматологии», 13.05.2022, г. Москва.
  • Диплом за лучший доклад, признанный студенческим жюри на секции «проблемы стоматологии» 86 Итоговой студенческой научной конференции СНО СамГМУ с международным участием.
  • Сертификат участника с докладом на конференции «Исследования молодых ученых 21 века в рамках приоритетных направлений стратегии научно-технологического развития страны» по специальности «Стоматология», 2017 г.
  • Диплом за 3 место участника олимпиады «3 Всероссийская олимпиада по определению света и отбеливанию зубов», 25.05.2018, Сеченовский университет, г. Москва
  • Сертификат участника с докладом на конференции «Мечниковские чтения — 2019» в секции «стоматология», 25.04.2019, г. Санкт-Петербург
  • Участие в типодонт-курсе «Ортодонтическая биомеханика», 23-24.03.2020, компания «Пумпа», г. Санкт-Петербург.
  • Прохождение обучения по 4 модулям Ортодонтической школы «Пумпа», ноябрь 2020 — май 2021 (128 ч.), г. Санкт-Петербург.
  • Практический курс «Ортодонт+артикулятор: основы работы», компания «Пумпа», 13-14.11.2020, г. Санкт-Петербург.
  • Сертификат участника семинара «Ортодонтия для начинающих. мастер-класс по непрямой фиксации», лектор — Александра Денисова, 15.01.2021, г. Самара.
  • Семинар С.А. Попова «Ортодонтия с большой буквы. Передовые технологии и профессионализм», 2021, г. Москва.
  • Пройдена сертификация по работе с элайнерами Flexilighner №77-300122-5916, 30.01.2022, г. Москва.
  • Семинар «Основы пародонтологии для ортодонтов», лектор — Марина Прямпольская, 6.08.2022, г. Самара.
  • Сертификат участника семинара «Дефицит места. Алгоритм принятия решения», лектор — Юрий Кулаев, 11.11.2022, г. Москва.
  • Сертификат участника Рождественских встреч «Дети и брекеты», 9.12.2022, г. Москва.
  • Сертификат за участие в семинаре «Ортодонт-эксперт»: «1 уровень. Как грамотно начать лечение пациента», лектор — Сергей Тихонов, 17-20.02.2022, г. Санкт-Петербург.
  • Участие в весеннем съезде Ассоциации молодых стоматологов, 31.03 — 2.04.2023, г. Санкт-Петербург
  • Повышение квалификации «Новая ступень в работе с элайн-системой Flexilighner», 23.03.2023, г. Санкт-Петербург.
  • Семинар «Ортодонт Эксперт», спикер Тихонов Андрей Викторович, тема «Минивинты в ортодонтии: сплав металла и интеллекта»
  • Семинар ORMCO, спикер Денисова Александра Алексеевна, тема «Подготовка к ЧЛХ»
  • Семинар ORMCO, спикер Мешалкина Ирина Викторовна, тема «Роль ортодонта в комбинированном ортодонтическом лечении пациентов»
  • Семинар ORMCO, спикеры Зерницкая Е.А и Пази Д.Б, тема «Ортодонт+Хирург»
  • Семинар спикера Лобановой А.А, тема «Ортодонтическая подготовка к ортогнатическим операциям»
  • Семинар OZZ School, спикеры Лисицына А.В и Богатырьков Д.В, тема «Второй класс без прикрас»
  • Семинар Stom-e, спикеры Комолов И.С, Захаров Т.Н, тема «Патология ВНЧС в современной функциональной стоматологии»
  • Практический мастер-класс Академии аддитивных технологий в рамках конгресса Аддитивных технологий, спикер Курдюмов Павел, тема «SLA-печать»
  • Семинар «Лечение вертикальных и сагиттальных аномалий у взрослых» Продвинутый курс в рамках «Школы Ортодонтии» Тихонов А.В. Москва, 2025
  • Конференция «Ранняя диагностика детей: междисциплинарный подход к профилактике серьёзных нарушений», Санкт-Петербург, 2025

Работы специалиста

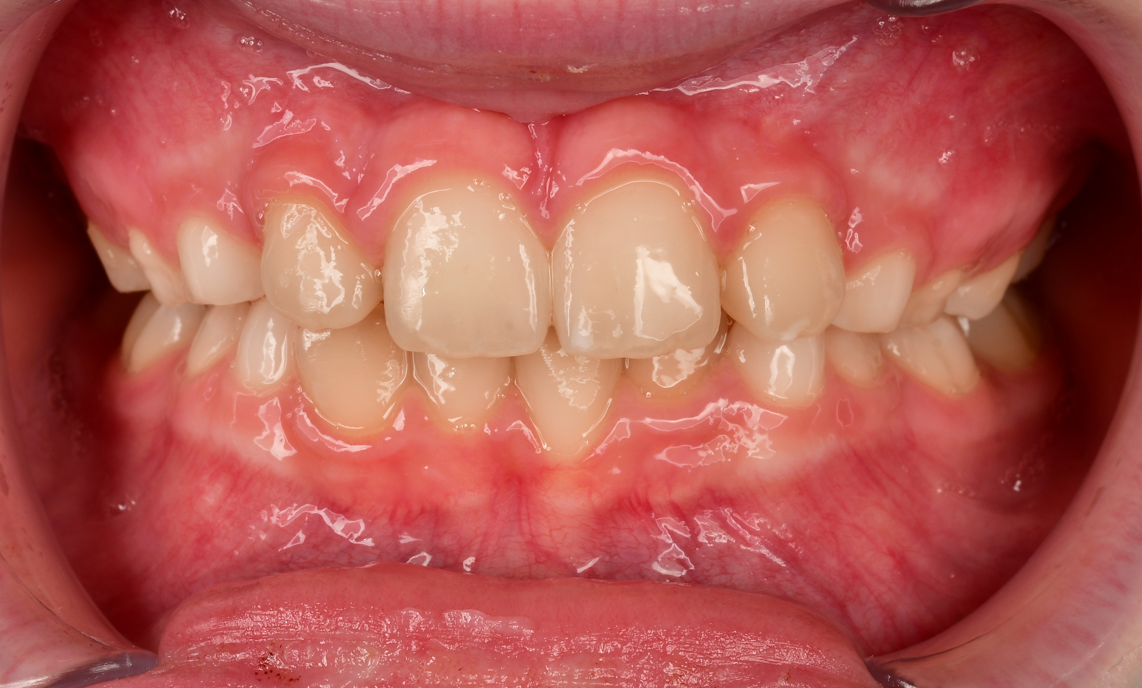
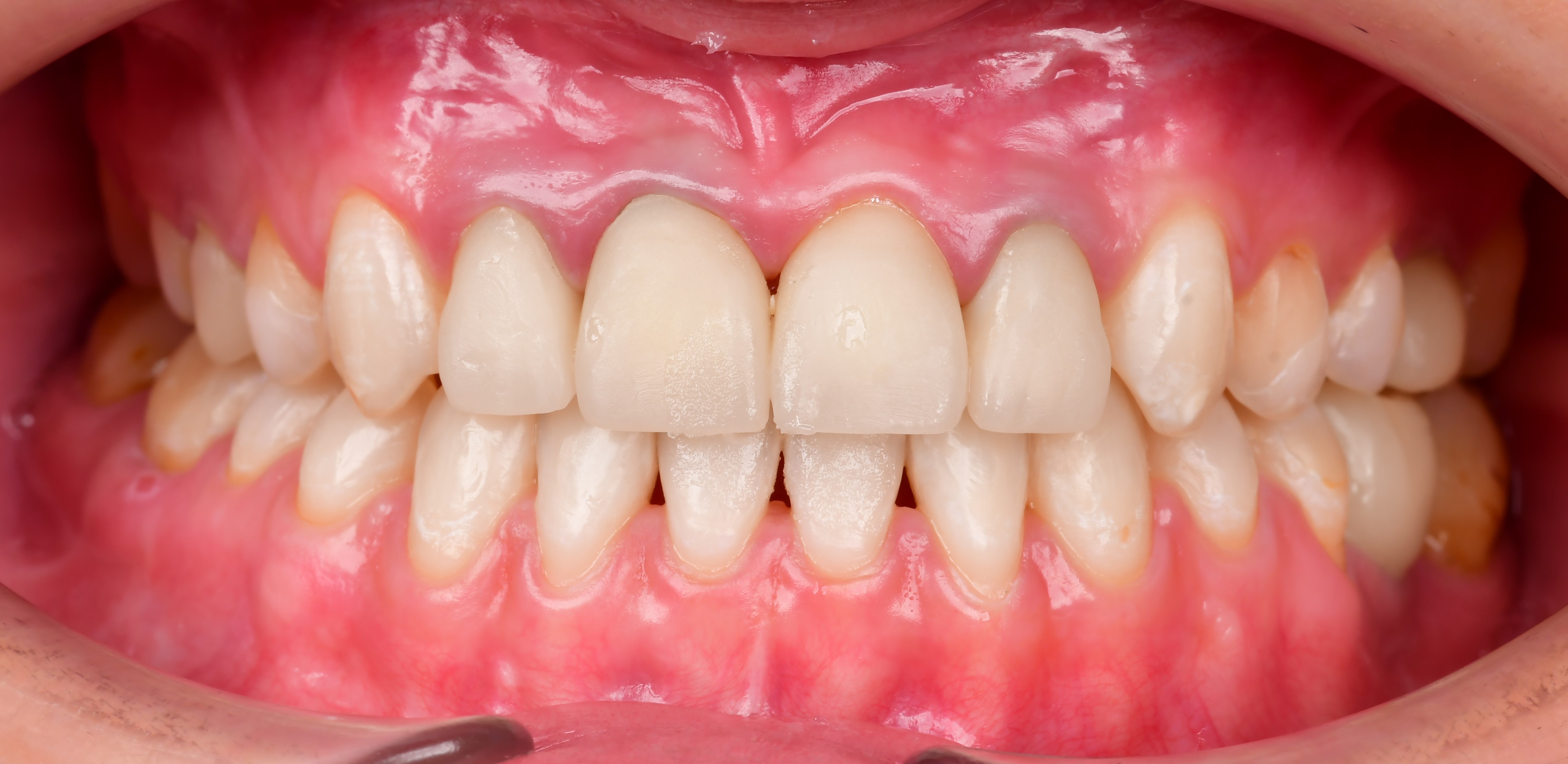
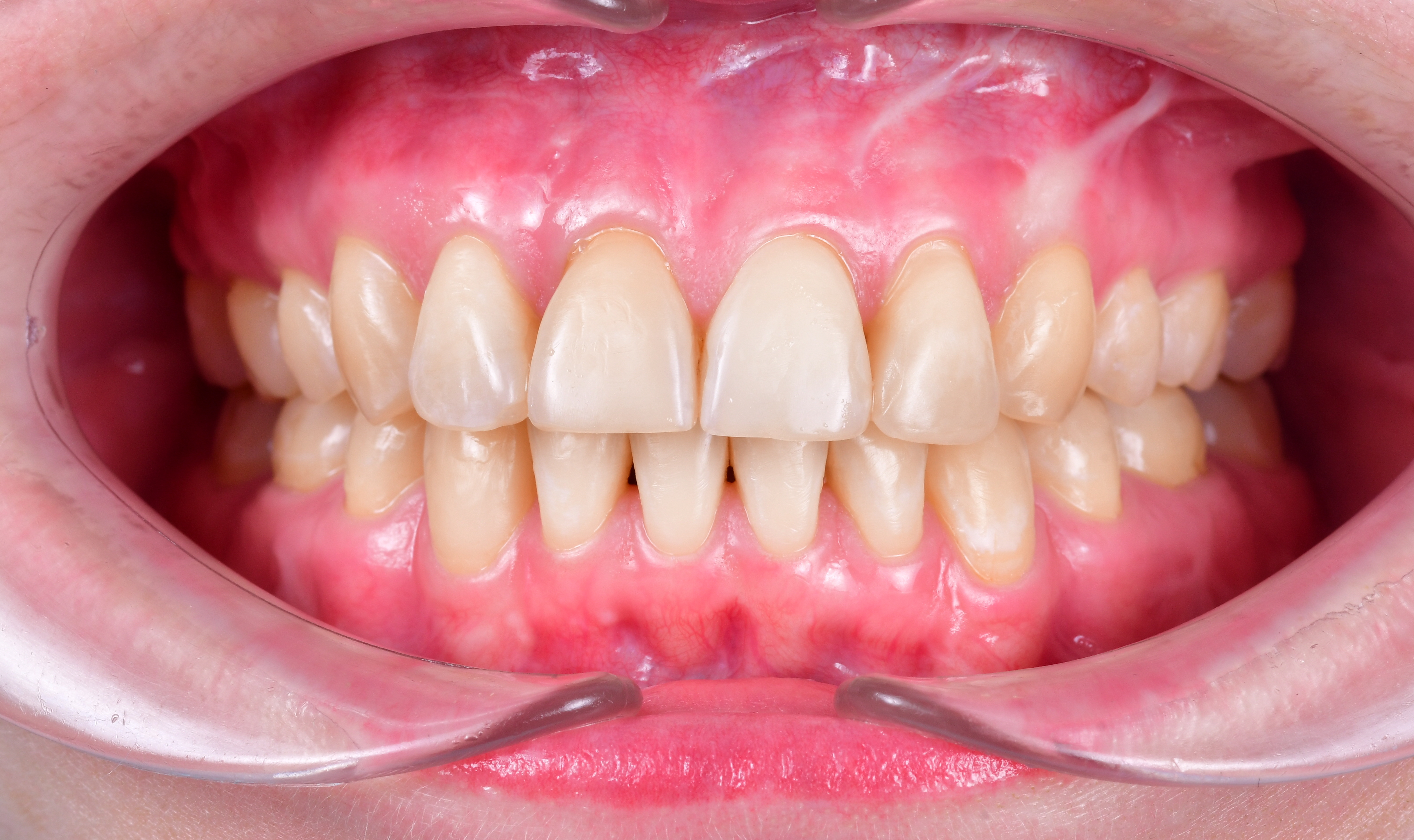
До После до
после
Лечение скелетной формы дистального смыкания с проведением ортогнатической двучелюстной хирургической операции
Срок лечения 34 месяца (2 года 10 месяцев)
Подробнее
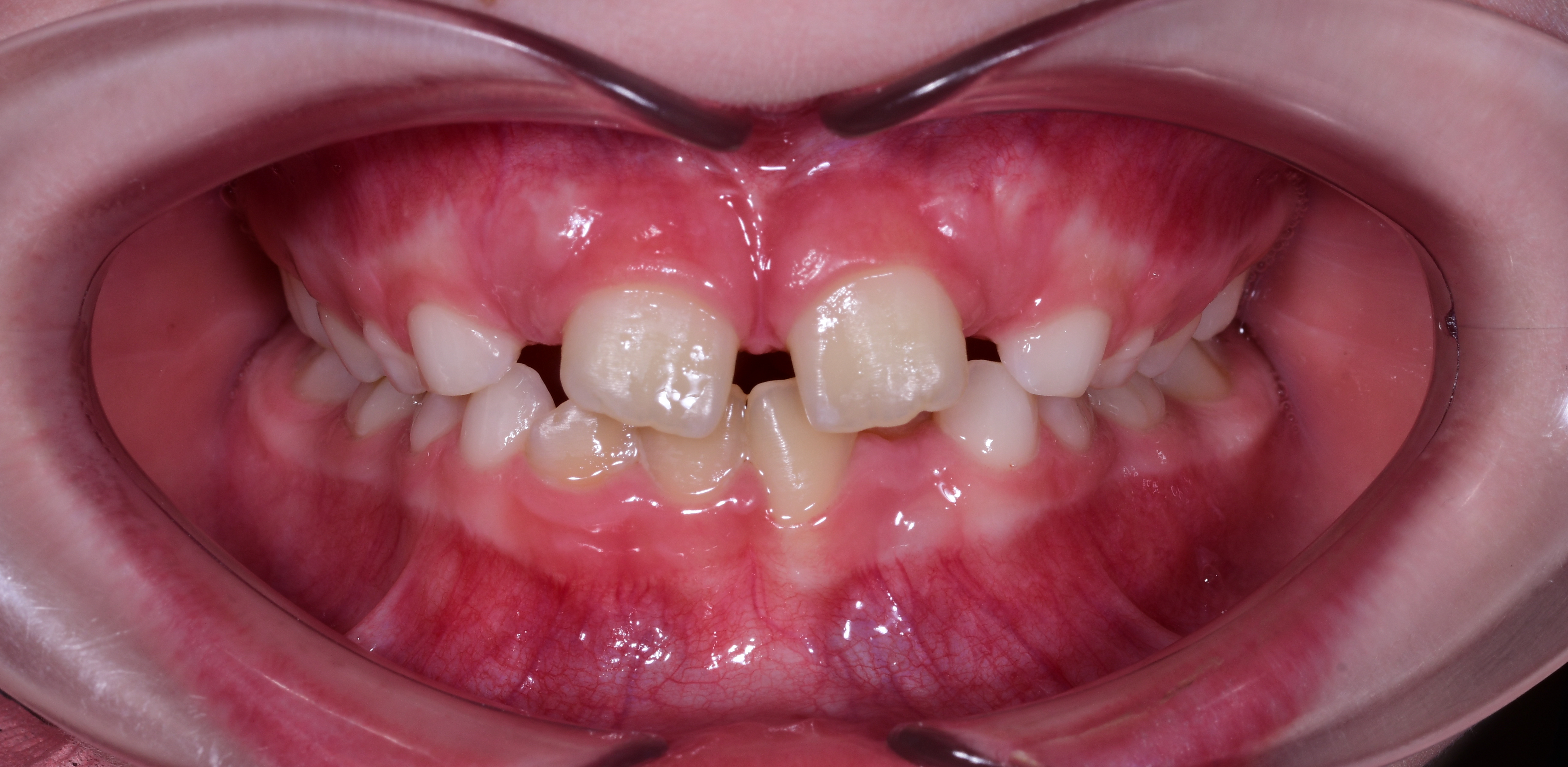
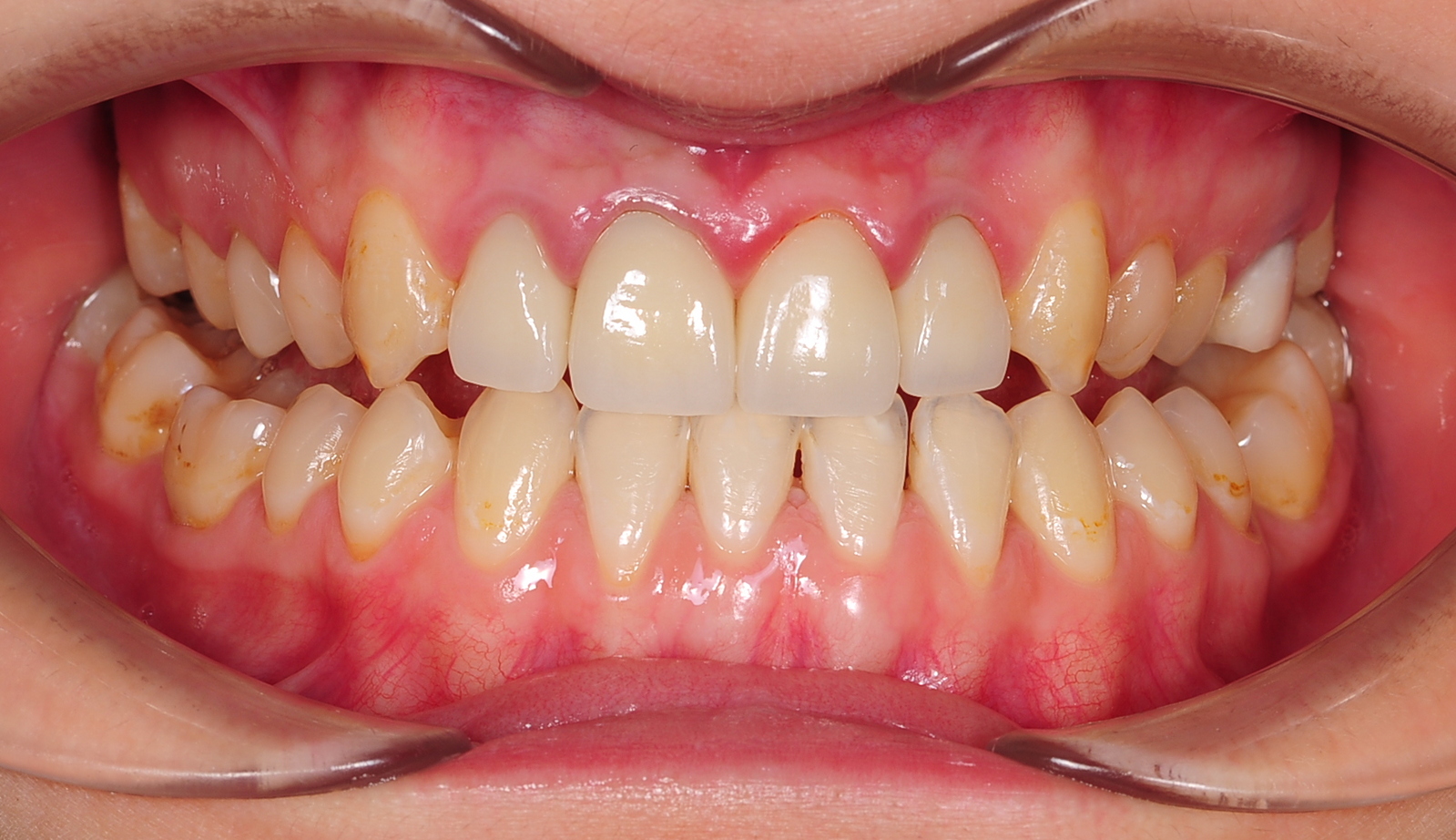
До После до
после
Частичное лечение на брекет-системе в детском возрасте для снижения риска травматизации постоянных зубов и решения дефицита места для их прорезывания
Срок лечения 1 год 10 месяцев
Подробнее
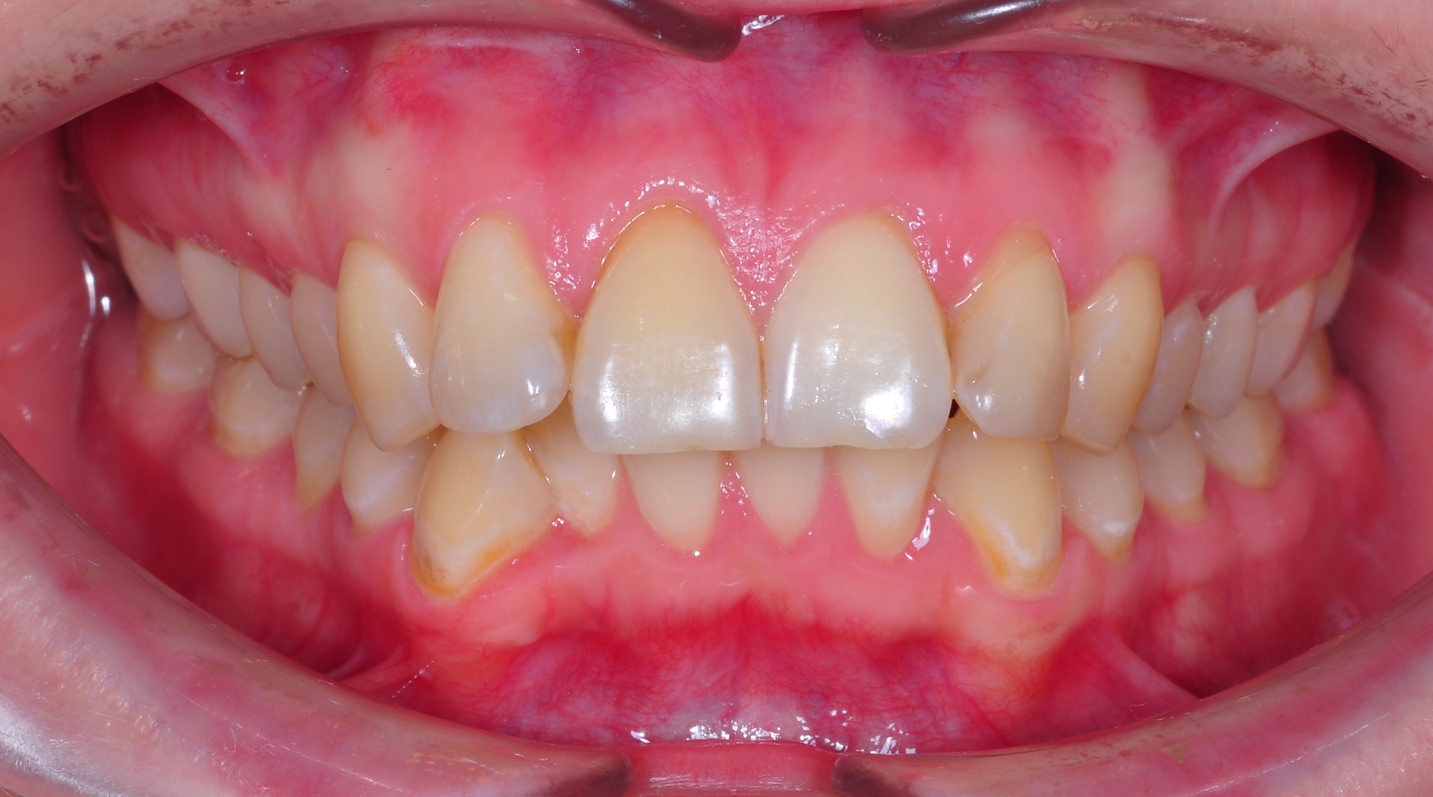
До После до
после
Лечение скелетной формы мезиального смыкания с проведением ортогнатической двучелюстной хирургической операции с гениопластикой
Срок лечения 36 месяцев (3 года)
Подробнее

Отзывы пациентов

Я наблюдалась у Анастасии Олеговны при проведении ортодонтического лечения. За почти 2 года работы с ней у меня не возникло никаких проблем. Анастасия Олеговна очень тщательно и аккуратно выполняла всю работу, из-за чего я осталась полностью довольна результатами лечения. При появлении вопросов врач все подробно объясняла, а при возникновении внеплановых ситуаций она всегда шла навстречу.

09.12.2025

Очень внимательный персонал. Гостеприимный администратор. Врач -ортодонт провел осмотр, консультацию и дал подробные рекомендации

27.07.2025

Теплый прием врача и девочек в регистратуре. Подробно рассказывают о состоянии зубов, предлагают способы устранения дефектов. Если требуется ортодонт — рекомендую «Полный порядок».

29.04.2025

Анастасия Олеговна подробно объясняла каждую стадию лечения, и я чувствовала себя в надежных руках. Процедура была безболезненной, а качество работы на высшем уровне. Пломба не мешает, и за время лечения всё прошло быстро и четко. Я довольна результатом и хочу сказать большое спасибо Анастасии Олеговне! Рекомендую её всем!

21.04.2025

Была у Анастасии Олеговны 16.02.23. Нужно было подклеить ретейнер на одном зубе, так как брекеты​ я ставила и снимала в другом городе 7 лет назад. За это время успела побывать у разных ортодонтов и наслушалась разных мнений. Еще никто мне так подробно, четко и понятно все не объяснял. 🙂 Ретейнер подклеили, дискомфорт устранили, обсудили дальнейшее…

18.02.2023
Все отзывы

Лицензии и сертификаты

+7 812 214 99 00 Пн-Вс: 09:00–21:00
Выберите клинику
г. Санкт-Петербург ул. Турку, д. 11, корпус 2
ул. Петрозаводская, д. 13
г. Гатчина ул. Коли Подрядчикова д. 22
Свяжитесь с клиникой
г. Санкт-Петербург, ул. Турку, д. 11, к. 2
Написать в WhatsApp
Сканируйте код для перехода в WhatsApp с телефона
Написать в Telegram
Сканируйте код для перехода в Telegram с телефона
Сменить клинику
Свяжитесь с клиникой
г. Гатчина, ул. Коли Подрядчикова д. 22
Написать в WhatsApp
Сканируйте код для перехода в WhatsApp с телефона
Написать в Telegram
Сканируйте код для перехода в Telegram с телефона
Сменить клинику