Удаление зубов мудрости
Простое удаление зубов
Удаление ретенированных зубов
Удаление кист и гранулём
Пластика уздечки
Герметизация фиссур
Лечение кариеса без боли
Адаптация к кабинету
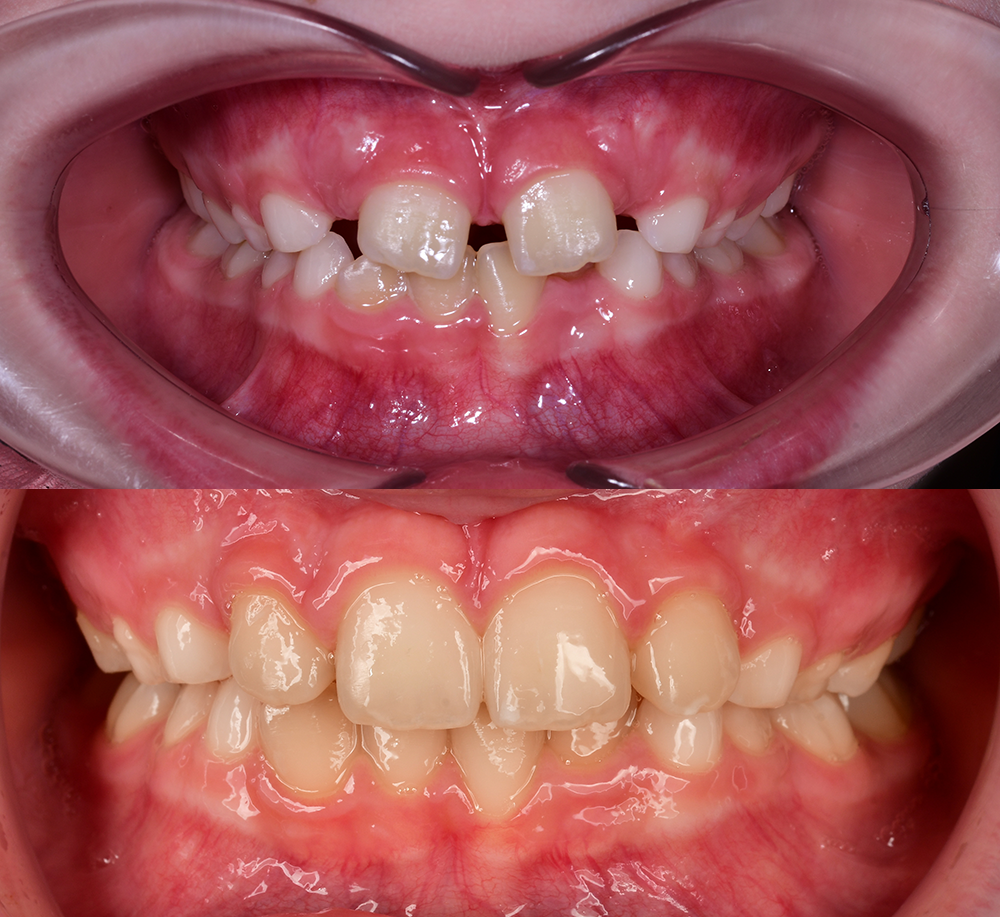
Ортодонтический аппарат Марко-Росса
Ортодонтический аппарат MARPE
Лицевая маска
