Удаление зубов мудрости
Простое удаление зубов
Удаление ретенированных зубов
Удаление кист и гранулём
Пластика уздечки
Герметизация фиссур
Лечение кариеса без боли
Адаптация к кабинету
Ортодонтический аппарат Марко-Росса
Ортодонтический аппарат MARPE
Лицевая маска
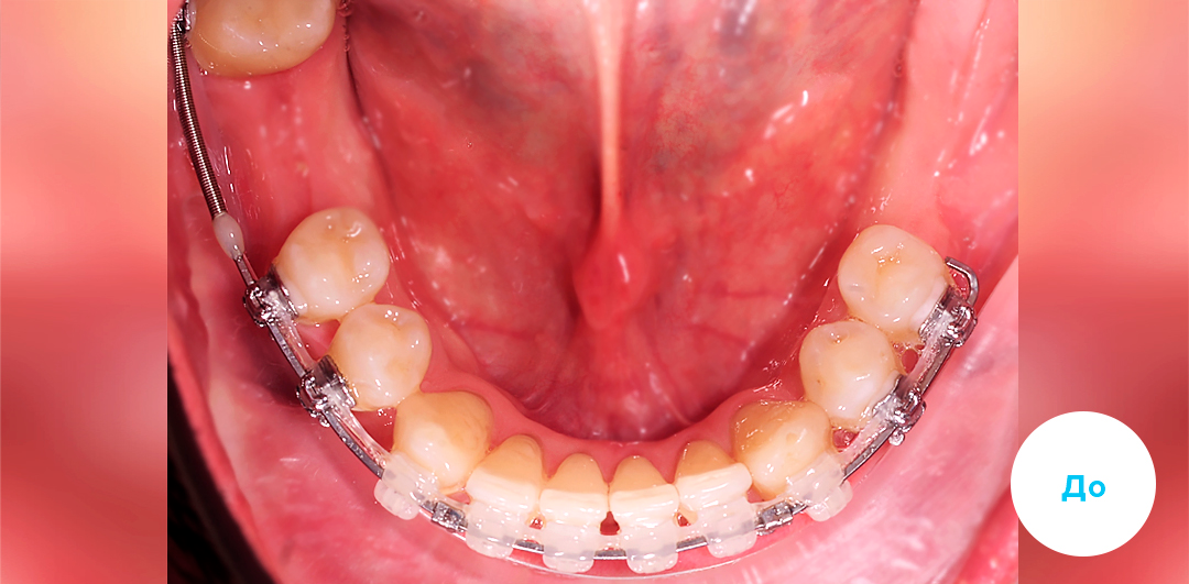
В приведенном клиническом случае ортодонты использовали комбинированная самолигирующая брекет-система Damon Clear/Q.
Узнать больше
Подробнее о лечении:
«Полный Порядок» - стоматология для взрослых и детей, одним из ведущих направлений которой является экспертная ортодонтия. Клиника оснащена всем необходимым оборудованием для проведения полной стоматологической диагностики прямо после консультации у профильного врача. Таким образом на первом приеме пациент получает объективный и честный анализ ситуации и план лечения
Комбинированная брекет-система - это сочетание различных видов брекетов на верхней и нижней челюсти пациента. Керамические брекеты, повторяющие оттенок эмали зубов пациента и почти незаметные, устанавливаются на верхний зубной ряд полностью или только в зону улыбки. На жевательные и нижние зубы устанавливают металлические - надежные и более экономичные, которые все равно никто не увидит благодаря расположению. Такой подход обеспечивает превосходные показатели скорости, эстетики, удобства пациента в процессе коррекции прикуса и выравнивания зубов. Еще одно преимущество комбинированной брекет-системы: ее цена. Это лучший компромисс между доступными металлическими брекетами, и незаметными керамическими.
