Удаление зубов мудрости
Простое удаление зубов
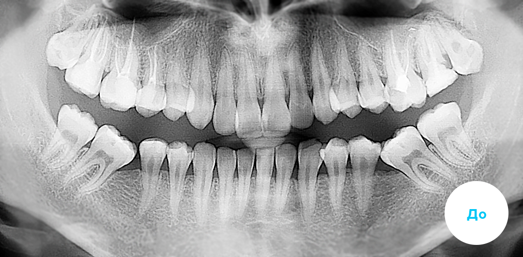
Удаление ретенированных зубов
Удаление кист и гранулём
Пластика уздечки
Герметизация фиссур
Лечение кариеса без боли
Адаптация к кабинету
Ортодонтический аппарат Марко-Росса
Ортодонтический аппарат MARPE
Лицевая маска
Подробнее о лечении:
Индивидуальная брекет-система INSIGNIA (Инсигния) — это уникальная цифровая система от Ormco. Она моделируется при помощи CAD/CAM технологий на базе самолигирующих брекетов Damon. Эта опция возможна для двух разновидностей таких брекетов: керамических Damon Clear и металлических Damon Q. Изготавливаются индивидуально для каждого пациента по его “мерке” при этом, каждый брекет может быть как уникален, так и выбран из имеющейся серийной линейки. Компьютерное моделирование процесса ортодонтического лечения позволяет добиться прогнозированного и безукоризненно точного исправления прикуса и выравнивания зубов. Внешний вид системы INSIGNIA не отличается от обычных брекетов Damon – керамических или металлических, как и стоимость лечения на такой системе в клинике «Полный порядок».
Damon Clear - это самолигирующиеся брекеты из гиппоалергенной прозрачной керамики, использующиеся для коррекции прикуса и выравнивания зубов. Эта брекет-система почти сливается с тоном эмали и практически незаметна на зубах. То, что система самолигирующая подразумевает, что она не имеет обычных лигатур, подверженных окрашиванию. Дуга удерживается в пазе брекета специальным замком-крышкой, что делает ее одной из самых незаметных в линейке Damon. Если вы внимательно посмотрите на собеседника, то скорее всего заметите их только вблизи, из-за ортодонтических дуг. Издалека никто даже не догадается, что у вас есть брекеты. Брекеты Damon Clear можно назвать идеальными, как с точки зрения эстетики, так и их воздействия на зубной ряд.
Damon Q - самолигирующие металлические брекеты миниатюрного размера, выполненные из медицинской стали. Каждый брекет работает как полноценный ортодонтический механизм, в котором заложены определенные параметры и надежное устройство закрытия и фиксации. Самые маленькие и эстетичные среди металлических систем для исправления прикуса и выравнивания зубов. По сравнению с лигатурными брекет-системами сокращают срок лечения на 4-5 месяцев обеспечивая безупречный результат. Прочные: даже если скоба вдруг отклеится, то с 98% вероятностью ее можно будет вернуть на место без замены.
«Полный Порядок» - это стоматология для взрослых и детей, одним из ведущих направлений которой - экспертная ортодонтия. Клиника оснащена всем необходимым оборудованием для проведения полной диагностики прямо после консультации у профильного врача. Таким образом на первом приеме пациент получает честный и объективный анализ ситуации и индивидуальный план лечения.
