Удаление зубов мудрости
Простое удаление зубов
Удаление ретенированных зубов
Удаление кист и гранулём
Пластика уздечки
Герметизация фиссур
Лечение кариеса без боли
Адаптация к кабинету
Ортодонтический аппарат Марко-Росса
Ортодонтический аппарат MARPE
Лицевая маска
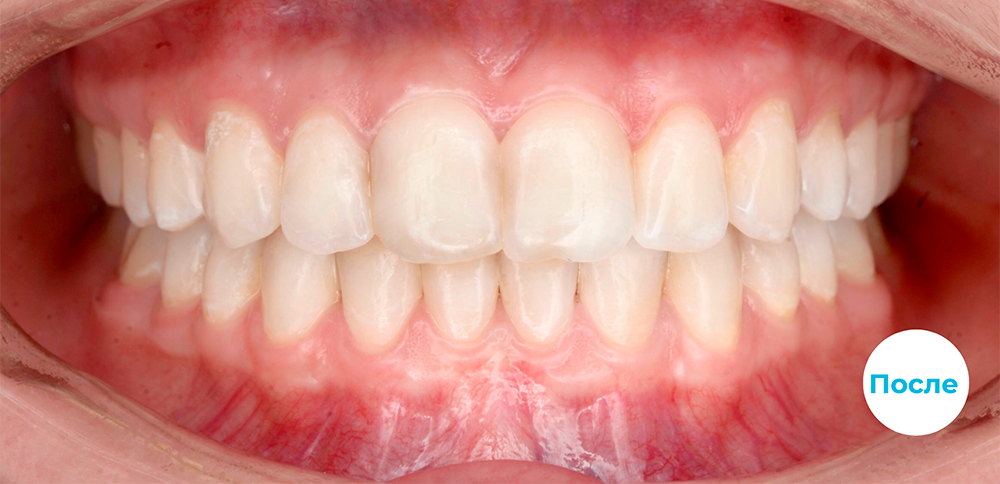
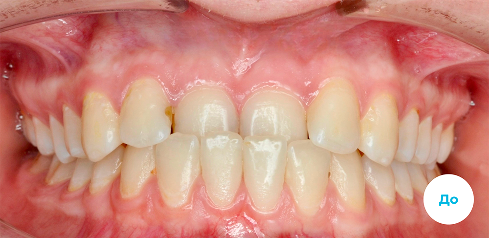
Стоимость лечения — 309 000 (на 2023 год)
Аппаратура — элайнеры Spark
Пациенту 16 лет
Срок лечения: 12 месяцев
