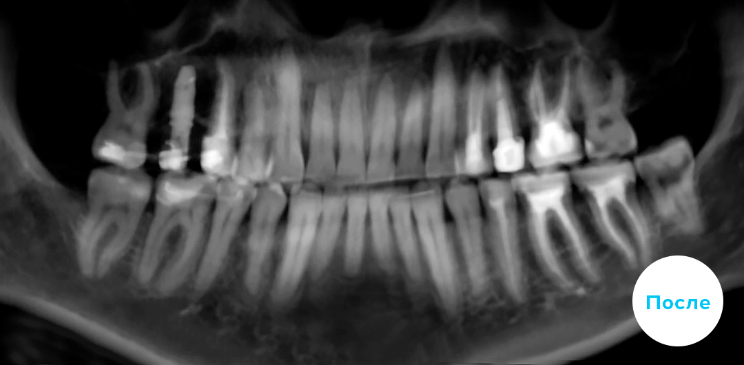
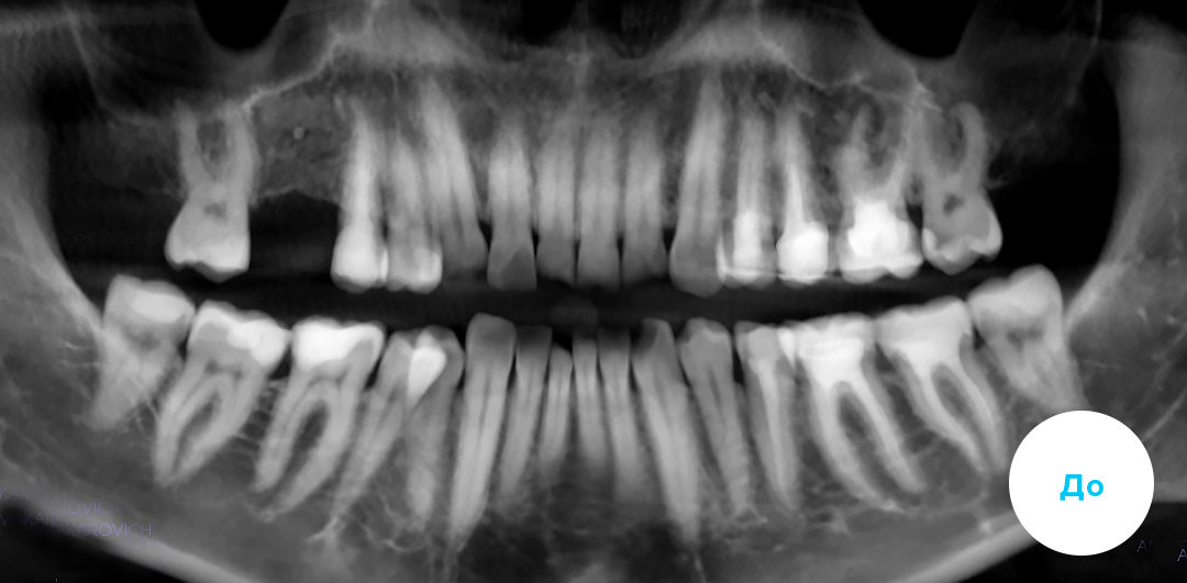
В приведенном клиническом случае ортодонты использовали цифровую брекет-систему INSIGNIA на базе самолигирующих брекетов Damon Q/Q.
Узнать больше
Подробнее о лечении:
Лечение скученности с последующим протезированием.
Помимо ортодонтии проведено комплексное лечение. Установлен имплантат справа на верхней челюсти. Также пациенту требовался большой объем терапевтического лечения, чтобы привести зубы в порядок.
Пациенту 45 лет
Срок лечения: 21 мес
«Полный Порядок» - стоматология для взрослых и детей, одним из ведущих направлений которой является экспертная ортодонтия. Клиника оснащена всем необходимым оборудованием для проведения стоматологической диагностики прямо после консультации у профильного врача. Таким образом на первом приеме пациент получает честный и объективный анализ проблемы и индивидуальный план лечения.
Индивидуальная брекет-система INSIGNIA (Инсигния) — это уникальная цифровая система от Ormco. Она моделируется при помощи CAD/CAM технологий на базе самолигирующих брекетов Damon. Эта опция возможна для двух разновидностей таких брекетов: керамических Damon Clear и металлических Damon Q. Они изготавливаются индивидуально под каждого пациента, при этом каждый брекет может быть уникальным или выбран из имеющейся серийной линейки. Компьютерная модель процесса ортодонтического лечения позволяет достичь прогнозированного и безупречного результата коррекции прикуса и выравнивания зубов. Внешний вид системы INSIGNIA не отличается от обычных брекетов Damon – керамических или металлических, как и стоимость лечения на такой системе в клинике «Полный порядок».
