Удаление зубов мудрости
Простое удаление зубов
Удаление ретенированных зубов
Удаление кист и гранулём
Пластика уздечки
Герметизация фиссур
Лечение кариеса без боли
Адаптация к кабинету
Ортодонтический аппарат Марко-Росса
Ортодонтический аппарат MARPE
Лицевая маска
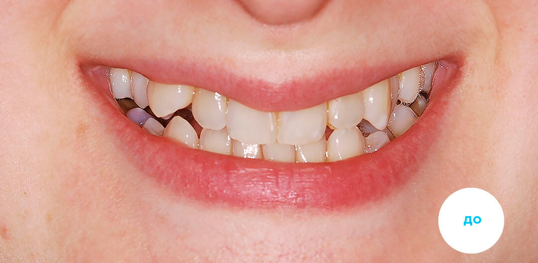
В приведенном клиническом случае ортодонты использовали цифровую брекет-систему INSIGNIA на базе самолигирующих брекетов Damon Q/Q.
Узнать больше
Подробнее о лечении:
Индивидуальная брекет-система INSIGNIA (Инсигния) — это уникальная цифровая система от Ormco. Она моделируется при помощи CAD/CAM технологий на базе самолигирующих брекетов Damon. Опция доступна для 2-х видов таких брекетов - керамических Damon Clear и металлических Damon Q. Изготавливаются индивидуально для каждого пациента по его “мерке” при этом, каждый брекет может быть как уникален, так и выбран из имеющейся серийной линейки. Компьютерная модель процесса ортодонтического лечения позволяет достичь прогнозированного и безупречного результата коррекции прикуса и выравнивания зубов. Внешний вид системы INSIGNIA не отличается от обычных брекетов Damon – керамических или металлических, как и стоимость лечения на такой системе в клинике «Полный порядок».
«Полный Порядок» - стоматология для детей и взрослых, одним из ведущих направлений которой - экспертная ортодонтия. Клиника оснащена всем необходимым оборудованием для проведения стоматологической диагностики прямо после консультации у профильного врача. Таким образом на первом приеме пациент получает объективный и честный анализ проблемы и индивидуальный план лечения.
