Удаление зубов мудрости
Простое удаление зубов
Удаление ретенированных зубов
Удаление кист и гранулём
Пластика уздечки
Герметизация фиссур
Лечение кариеса без боли
Адаптация к кабинету
Ортодонтический аппарат Марко-Росса
Ортодонтический аппарат MARPE
Лицевая маска
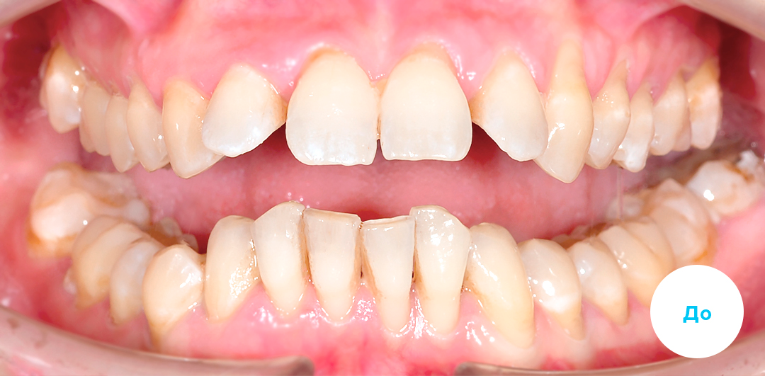
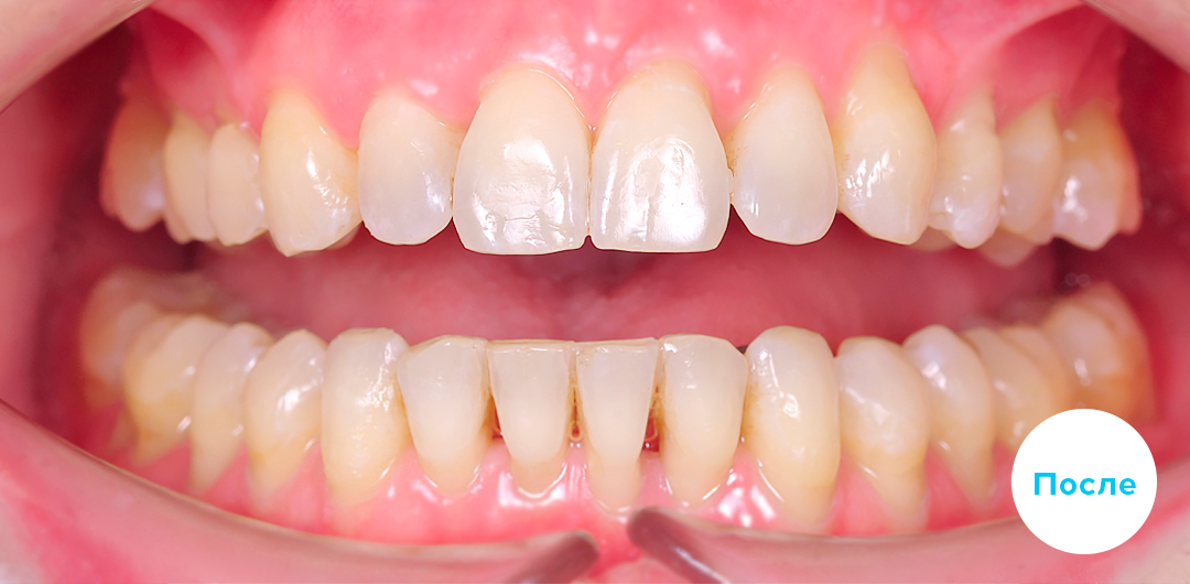
Здоровая улыбка — это ключ к уверенности и счастью
Читать далее
Повышение квалификации по курсу «Избранные вопросы хирургической стоматологии», УрГМА, 2002г.
Повышение квалификации по циклу «Клиника,диагностика и лечение в терапевтической стоматологии». ГОУ ДПО СПб МАПО, 2008г.
Лечим у Алевтины Васильевны вместе с мужем кариес. Перед отпуском в мае удаляла восьмерку. Всё прошло хорошо. После удаления ничего не болело, и быстро зажило! Рекомендую Алевтину Васильевну как грамотного, внимательного и ответственного доктора.
06.09.2025
Одна из лучших стоматологических клиник в Санкт-Петербурге, я уже пять лет являюсь поциентом данной клиники. Грамотные и опытные врачи-стоматологи, самая замечательная в городе команда ортодонтов во главе с И Дмитрием Канпиновичем! Здесь я исправила прикус, поставила имплант, лечила кариес и решила проблемы с дёснами, регулярно делаю гигиену полости рта. Спасибо врачам Ачкан А. А., Госьковой…
13.07.2025
Мне повезло познакомиться с невероятно талантливой стоматологом, Госьковой Алевтиной Васильевной. Она просто самый лучший врач в мире, у нее золотые руки. От всего сердца желаю ей всего самого хорошего в жизни и в семье. Очень благодарна судьбе за то, что мне посчастливилось стать знакомой с ее умениями и профессионализмом.
26.08.2023
Я недавно проходил лечение парадонтита у стоматолога Госьковой Алевтины Васильевны и был приятно удивлен ее тщательным подходом к работе. После этого я также сделал чистку зубов, и сейчас нахожусь на ортодонтическом лечении у Курганниковой Юлии Владимировны. Мне импонируют такие достоинства клиники, как высокое качество материалов, отличное оборудование и внимательность персонала. Здесь всегда можно обсудить любые…
05.08.2023Доброго времени суток!Хочу выразить благодарность Алевтине Васильевне Госьковой. Вежливый и аккуратный врач. Пролечила мне уже несколько зубов. Проблем с ними никаких, ничего не болит. Алевтина Васильевна — мастер своего дела.Лечиться и дальше буду у нее, а также буду рекомендовать её родственникам и друзьям
13.11.2022